원인: Rhinovirus (m/c), Respiratory syncytial virus (RSV), metapneumovirus, Parainfluenza virus, Coronavirus, Influenza virus, Adenovirus 등
임상양상
주요 증상: 기침, 코막힘, 콧물, 인후통, 미열 등
경과: 대부분 1-3주 이내에 자연적으로 호전
진단: 주로 임상 증상을 바탕으로 진단, 필요 시 PCR 검사
치료: 보존적 치료 및 대증요법. 항생제는 사용하지 않음
발병 초기부터 39도 이상의 발열, 화농성 콧물, 안면 통증 동반, 10일 이상 경과해도 감기 증상이 임상적으로 호전되지 않는 경우, 또는 호전되던 중 악화될 경우엔 항생제 사용 고려
합병증: 중이염, 부비동염, 천식악화 등
정의: 편도염 및 인두편도염을 포함한 인두의 감염 질환
원인
바이러스 (Adenovirus, EBV, HSV, Influenza virus 등).
세균: A군 베타용혈성 연쇄구균 (m/c), mycoplasma, N.gonorrhea, C. diphtheriae.
임상 양상
주요 증상: 인후통, 발열, 두통, 기침
사슬알균 인두염을 시사하는 소견: 편도 삼출물, 경부 림프절 비대, 기침 없음, 고열 등
scarlet fever: strawberry tongue, pastia’s lines, sandpaper rash
Infectious mononucleosis: 삼출이 있는 편도 비대, 경부 림프절염, 간비장종대, 발진, 전신피로 등
진단 및 평가 (modified CENTOR score)
score 3-4점 이상 또는 GAS 감염 의심** 소견 존재: 신속항원검사 → 음성시 배양검사 확인
**만 3-15세 소아가 38도 이상의 발열이 있고 다음 5가지중 3가지 이상 동반 (인후통, 두통, 인두발적/삼출물, 경부림프절/동통, 성홍영 모양의 발적)
score 0-2점: 추가 검사 시행하지 않음
치료
GAS pharyngitis: 경구 amoxicillin (TOC)
다른 세균성 / 바이러스성 : 대증요법
합병증
화농성 합병증: 편도주위농양, 후인두농양, 경부림프절염.
비화농성 합병증: 급성 류마티스열, 사구체신염
3대 원인균: Streptococcus pneumoniae, Haemophilus influenzae, Moraxella catarrhalis
임상 양상
주요 증상: 이통(otalgia), 발열, 보챔, 청력 감소.
영아는 특징적으로 귀를 잡아당기는 행동을 보일 수 있음.
이경 검사 소견: 고막의 팽창(bulging), 발적, 투명도 소실
진단: 이경검사로 다음 소견 중 1개 이상을 확인
중등증~중증 고막 팽윤
경증의 고막 팽윤이 있으면서 48시간 이내의 이통 또는 고막 발적
외이도염 없이 새로 발생한 이루가 있는 경우
중증 급성 중이염: 심한 이통 또는 보챔이 있거나 38.5도 이상의 고열을 동반하는 경우

A Normal TM; B TM with mild bulging; C TM with moderate bulging; D TM with severe bulging.
치료
항생제 치료
적응증: 중증 급성 중이염, 6개월 이내 연령, 24개월 이내 연령이면서 급성 중이염 확진
급성 고막 천공 혹은 이루가 발생한 경우, 동반 질환에서 항생제가 필요한 경우, 타 병원에서 경과관찰을 시행한 경우, 2-3일 후 추적 관찰이 불가능한 경우
1차 선택약: 고용량 Amoxicillin (80-90 mg/kg/일)
연령이 24개월 이상이면서, 최근에 항생제를 투여받은 병력이 없고 보육시설에 다니지 않음: Amoxicillin 표준용량 (40-50mg/kg/day)
중증 중이염: amoxicillin-clavulanate 를 1차 선택 항생제로 투여
최근 30일 내 항생제 사용력, 화농성 결막염 동반, Amoxicillin 치료 실패: Amoxicillin-clavulanate
관찰 요법: 2세 이상의 경증 AOM 환자에서 48-72시간 동안 항생제 없이 증상 조절하며 관찰
**감별진단
삼출 중이염 (OME)
이통이나 발열 없이 중이 내에 삼출액이 고이는 중이염으로 청력이상의 주요 원인이 됨.
급성 중이염 이후 발생하며, 대부분 3개월 내 소실됨
항생제 치료를 권고되지 않음
3-6개월 관찰 후에도 양측성이거나 청력소실이 있다면 고막 절개술 또는 환기관 삽입 시행
원인
급성 중이염의 원인균과 유사(S. pneumoniae, H. influenzae, M. catarrhalis).
상기도 감염 후 부비동의 자연공(ostiomeatal complex)이 막혀 발생
임상양상 (다음 중 1가지 이상을 보일 경우 급성 세균성 부비동염 시사)
지속성 증상: 10일 이상 지속되는 콧물 및 낮시간 기침
중증 증상: 39℃ 이상의 고열과 화농성 콧물, 안면 통증이 3-4일 연속 발생 지속.
악화되는 경과: 증상이 더욱 악화되거나 초기에 보였던 전형적인 바이러스 감염 증상이 호전추세를 보이던 중 새로 발병되는 발열, 두통, 기침, 콧물
진단
주로 임상 증상에 근거하여 진단
진단이 불확실하거나 합병증이 의심될 경우, 부비동 X-ray (Waters view) 또는 CT 촬영등을 고려
치료
1차 선택 항생제: amoxicillin 또는 표준용량 Amoxicillin-clavulanate (경구 amoxicillin 40-50 mg/kg/일)
다음의 경우 고용량 amoxicillin-clavulanate (경구 amoxicillin 90 mg/kg/일) 투여
① 심한 감염(39℃ 이상의 발열과 화농성 합병증의 위험이 있는 경우)
② 어린이 집에 다니는 경우
③ 2세 미만
④ 최근에 입원한 병력
⑤ 최근 3개월 이내에 항생제 사용력이 있는 경우
⑥ 면역저하자
합병증
안와 합병증 (연조직염), 경막외/경막하 농양, 수막염, cavernous sinus thrombosis, 뇌농양 등
원인: Parainfluenza virus (m/c)
임상양상: 개 짖는 듯한 기침 (barking cough), 흡기성 천명(inspiratory stridor), 쉰 목소리(hoarseness)
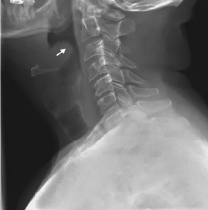
진단: 특징적인 임상증상 및 경부 전면/측면 X선 촬영
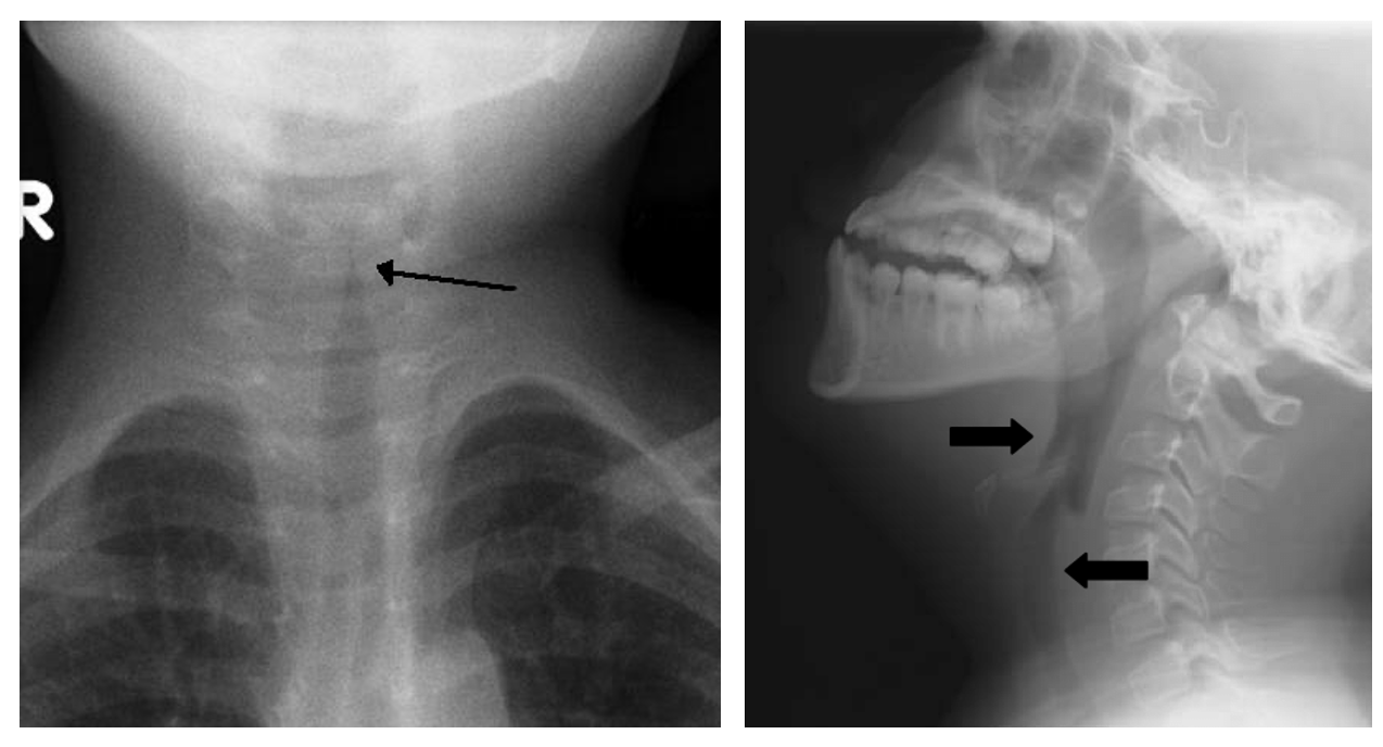
경부 AP X-ray 촬영: 성문하 부위가 좁아져 보이는 '첨탑 징후'(steeple sign)가 특징
lateral Xray: distended hypopharynx, subglottic edema
치료
스테로이드(Corticosteroid): PO or IM or Inhaled, 모든 중증도의 크룹 환자에게 효과적
분무형 에피네프린(nebulized epinephrine): 중등도-중증 환자에서 사용하여 상기도 부종을 빠르게 감소
의학적 응급상황: 즉각적인 기도 확보가 가장 중요
원인: 과거엔 Haemophilus influenzae type b (Hib)가 주 원인이었으나, 백신 접종으로 발생률 급감. S. pneumoniae, S. aureus, GABHS 등이 원인이 될 수 있음
임상양상
급격하게 발생하는 고열, 심한 인후통, 삼킴 곤란, 침 흘림
호흡곤란이 심해지면 환자는 숨을 쉬기 위해 상체를 앞으로 숙이고 목을 빼는 '삼각대 자세'(tripod position)를 취함
기침은 거의 없음.
진단 (Diagnosis)
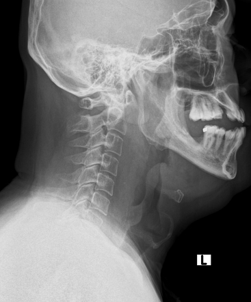
측면 경부 X-ray: 부어오른 후두개를 나타내는 '엄지손가락 징후'(thumb sign) 확인
확진: 수술방과 같이 기도 확보가 준비된 환경에서 직접 후두경 검사로 부어오른 후두개를 확인
치료
가장 중요한 치료는 즉각적인 기도 확보(기관 삽관, 기관절개술 등)
항생제: Ceftriaxone 또는 Cefotaxime과 같은 3세대 Cephalosporin을 정맥 투여
인두후부 농양 (Retrophargyngeal abscess)
임상양상
3-4세 남아, 최근 귀/코/인두 감염 병력
고열, 과신전, 인두벽 종창 및 화농, 연하곤란, 흡기시 협착음, 침흘림, neck stiffness
진단: 들숨 시 경부 측면 X선 → retropharyngeal space widening ± air fluid level
**정상 retropharyngeal space:
C2-C4 level에서는 vertebral body 두께의 1/3이하, 그 이하 level 에서는 vertebral body 두께와 같거나 얇아야 정상소견

치료
흡인배농 및 항생제 투여: 3세대 Cephalosporin + (ampicillin-sulbactam/clindamycin)
편도주위농양 (peritonsillar abscess)
임상양상
급성 인두편도염의 최근 병력이 있는 청소년
인두통, 고열, 입벌림장애 (trismus), 연하곤란, 편도 크기 비대칭, 목젖은 병변 반대측으로 밀림
진단: 경부 측면 Xray, CT
치료: 흡인배농 및 항생제 투여
[1] 홍창의 12e. pg. 743-756
연습문제 23문제
0/23 완료
by
백산수
·
2025년 12월 13일
R/o 급성 중이염으로 왔을 때
6개월 미만 : 확진 안돼도 고용량 아목시실린
6~24개월 : 명백하게 이통, 고막 중등도 이상 팽윤, 삼출 있어 확진 되는 경우 고용량 아목시실린
24개월 이후: 확진 되더라도 2-3일 대증치료 하며 경과관찰 해보고 그래도 증상 계속되면 →
최근 1개월 내 항생제 사용력 없고 어린이집 안다니면 : 저용량 아목시실린
어린이집 다니거나...
by
파도도파
·
2025년 10월 1일
관찰 요법: 2세 이상의 경증 AOM 환자에서 48-72시간 동안 항생제 없이 증상 조절하며 관찰
연령이 24개월 이상이면서, 최근에 항생제를 투여받은 병력이 없고 보육시설에 다니지 않음: Amoxicillin 표준용량 (40-50mg/kg/day)
개념서의 위 두 설명 둘 다 2세이상에서의 치료인데 어떤 경우 관찰요법이고 , 아목시 표준용량 치료일까요?
그리고...
** 제목만 보더라도 어떤 내용인지 알 수 있도록 완성된 문장으로 작성해주세요.
예시) 초음파 (X) → 초음파 사진에서 PDA 소견을 어떻게 알 수 있나요? (O)