후비공 폐쇄
정의
선천적으로 코의 뒤쪽 통로인 후비공이 막혀있는 질환
임상양상
양측성인 경우 출생 직후 심각한 호흡곤란, 수유 시 코로 숨을 쉴 수 없어 청색증이 발생
비강 호흡이 불가하여 구강 호흡을 함
진단 및 검사
비강으로 카테터 삽입 시 3-4cm 이상으로 통과되지 않음
비강 내시경 검사, CT
후두 연화증(Laryngomalacia)
정의
영아에서 가장 흔한 선천성 후두 질환
후두 연골의 미성숙으로 인해 후두 구조가 연화된 상태로 흡기 시 후두개 및 피열후두개 주름이 안쪽으로 무너짐
임상양상 및 특징
흡기성 천명음(inspiratory stridor)이 특징적인 증상
보통 생후 2개월경 시작되어 6개월경에 가장 심해짐
수유 곤란, 성장 지연, 역류, 기침 등
울거나 흥분할 때, 수유할때, 바로 누운 자세에서 증상이 악화
15-60%가 기도 기형이 동반되므로 기관지 내시경이 필요
진단 및 검사
굴곡성 후두내시경(flexible laryngoscopy): 표준 진단법
전형적 소견: 흡기성 피열연골 상부조직의 탈출
오메가형 후두개, 후두개 후굴, 후두후방의 부종
후두인두 역류(laryngopharyngeal reflux)와의 연관성을 평가
치료
경증: 대부분 자연적으로 호전되므로 보존적 치료 및 경과 관찰
중증: 심한 호흡곤란, 성장 부전 시 성대 상부 성형술(supraglottoplasty) 등 수술적 치료를 고려
동반된 위식도 역류 적극적 치료
선천 성문 하부 협착(Congenital Subglottic Stenosis)
정의: 성대 아래 부위(성문하)가 선천적으로 좁아져 있는 질환으로 주로 윤상연골의 기형으로 인해 기도 협착이 발생
임상양상
호흡곤란, 흡기와 호기에서 모두 들리는 양방향성 천명음
상기도 감염 시 크룹(croup)과 유사한 증상이 반복
진단 및 검사: 후두내시경 및 기관지내시경
좌: normal
우: subglottic stenosis. 성대 너머로 성문하부가 좁아진 모습
치료
경증: 보존적 치료 및 경과 관찰
중증(50%이상의 협착): 내시경 레이저 수술, 연골 이식 등.
호흡곤란이 있어도 되도록 기관절개는 피함
성대마비 (Vocal Cord Paralysis)

정의: 성대 움직임에 마비가 온 상태, 선천성의 경우 50%는 원인불명
임상양상
쉰 목소리(hoarseness)
양측성 마비의 경우 심한 호흡곤란이 발생
음식물 흡인의 위험성이 증가
미주신경/RLN 을 압박한느 종양 등의 감별 필요
진단 및 검사: 굴곡 후두내시경을 통해 성대의 움직임 관찰
치료
일측성: 자연 회복을 기다리며 음성치료 등 보존적 치료를 시행함
양측성: 호흡곤란이 심할 경우 기관절개술필요, 수술적 치료 고려
기관연화증, 기관지연화증 (Tracheomalacia / Tracheobronchomalacia)
정의: 기관 또는 기관지 연골이 약해서 호기 시 기도가 허탈되는 질환, 연골 자체의 발달 이상 또는 외부 구조물에 의한 압박으로 발생
임상양상
영아기의 지속적인 호기성 천명음
반복적인 호흡기 감염, 만성 barking cough, 반복적 호흡기 감염, 운동 시 호흡곤란
진단 및 검사: 기관지내시경 (tracheal ring의 소실부위, 호기 시 collapse되는 기도 확인)
정상 trachea: O-shaped cartilage가 잘 보임
tracheomalacia: cartilage의 일부의 결손, 호기때 collapse되는 소견
치료
보존적 치료: 체위 배액술, 항콜린제(itratropium) 흡입. 성장하면서 대부분 증상 호전
(천식이 없다면 beta agonist는 사용하지 않음)
중증: 기도 허탈이 심한 경우 기관 스텐트 삽입, 지속적 양압환기, 수술적 요법 등 시행
폐 무발생증, 폐 무형성증 (Pulmonary Agenesis / Aplasia)
정의
폐무발생(Agenesis): 폐와 기관지가 완전히 없는 상태
폐발육부전(Aplasia): 기초 기관지는 있으나 폐 실질 조직이 없는 상태
임상양상
호흡곤란, 반복적 폐렴, 환측 흉곽이 작아지는 기형, 척추/심기형 등 동반 가능
VACTERL 증후군, 근골격계, 중추신경계, 심혈관계 기형과 흔히 동반
진단 및 검사
CXR,CT: 폐야 음영 소실, 종격동이 편측으로 편위
전신 MRI (동반 기형 평가)
치료: 대부분 보존적 치료
폐형성저하증
정의: 폐포의 숫자나 기도의 분지수의 감소, 양측 또는 편측으로 발생
원인: 일반적으로 자궁 내 질환에 의해 정상 폐발달에 방해를 받으면서 발생
(ex. 선천 폐기도 기형, 선천 횡격막 탈장, 신장이상으로 인한 양수과소증 등)
임상양상
경한 경우 호흡기 감염 시 발견
신생아기 호흡곤란이나 PPHN 발생 가능
진단: MRI, 초음파
치료: 필요시 기계환기, PPHN 치료 등
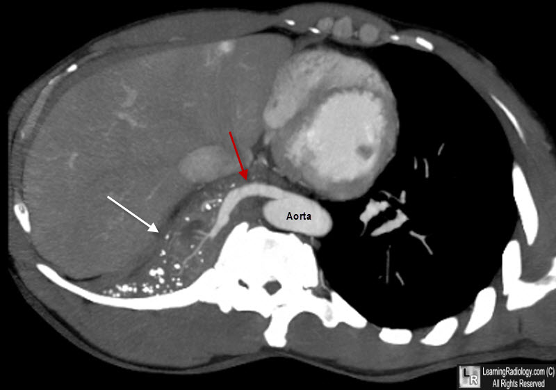
폐분리 (pulmonary sequestration)
정의: 정상 bronchial tree와 연결되지 않은 폐조직 덩어리의 존재, 대동맥 등 체순환계에서 비정상적인 혈액 공급을 받음
분류
폐내형: 정상 폐 조직 내부에 위치하며, 정상 폐와 visceral pleura을 공유함
폐외형: visceral pleura 밖에 ㅈ존재
임상양상
타진상 둔탁음, 호흡음 감소
폐내형: 반복적인 폐렴이 특징적, 객혈 발생 가능
폐외형: 무증상 발견이 흔함
진단 및 검사
CXR, CT
MRA/혈관조영술: 비정상 혈액 공급 확인
치료
수술적 절제 (표준 치료), 비정상 혈관 공급에 대한 코일 색전술 시행
크기가 작고 무증상인 폐외형의 경우 경과관찰 가능
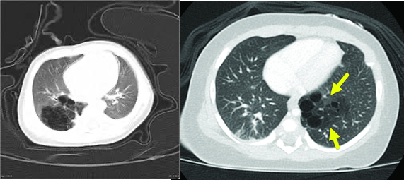
선천 폐기관 기형 (CAM,CPAM)
정의: 폐의 선천적 낭성 기형으로, 폐포 발달 과정의 이상으로 발생함, 신생아 선천성 폐질환의 약 35%를 차지
임상양상
신생아기 호흡곤란, 반복적 폐렴, 기흉
성인까지 무증상일 수 있음
진단 및 검사
흉부 X-ray: 여러 개의 낭성 음영 또는 공기-액체층을 보임
CT 스캔: 확진 및 유형 분류에 가장 중요한 검사
산전 초음파로 조기 진단 가능
치료: 치료적/예방적 수술적 절제
기관지원성 낭종
정의: 태아기 기관지 발생 과정의 이상으로 형성된 낭종
임상양상
낭종의 크기와 위치에 따라 증상이 다양함 → 기도 압박시 호흡곤란, 천명, 기침을 유발
감염되면 발열, 기침, 흉통이 발생
진단 및 검사
흉부 X-ray: 주로 종격동에 경계가 명확한 원형의 종괴로 보임
CT 스캔: middle mediastinal compartment 의 cystic mass
치료: 수술적 절제
[1] 홍창의 12e, pg. 727-733
연습문제 16문제
0/16 완료
by
낙지조기비빔밥
·
2025년 12월 8일
Stridor라고 잘 적혀있는데 한글은 천명음이라고 적혀있네요 수정 부탁드립니다
흡기성 천명음(inspiratory stridor)
** 제목만 보더라도 어떤 내용인지 알 수 있도록 완성된 문장으로 작성해주세요.
예시) 초음파 (X) → 초음파 사진에서 PDA 소견을 어떻게 알 수 있나요? (O)