원인 질환
Fibromuscular dysplasia (FMD, 섬유근이형성증)

주로 15~50세 여성
신동맥의 원위부 2/3 침범, "String of beads" 모양
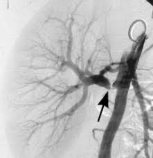
Atherosclerotic renal artery stenosis (ARAS, 죽상경화성 신동맥 협착)
가장 흔함 (>80%)
고령, 죽상경화증 위험인자 보유
신동맥의 근위부 1/3 (ostial lesion) 침범
임상양상 및 특징
발병 연령: 30세 이전(FMD 시사) 또는 55세 이후(ARAS 시사)에 시작된 심한 고혈압
복부 잡음 (Abdominal bruit): 수축기-이완기 잡음(Systolic-diastolic bruit) 청진 시 특이도 높음
저항성 고혈압: 3가지 이상의 약제(이뇨제 포함)로 조절되지 않는 경우
Flash pulmonary edema (Pickering syndrome): LV systolic dysfunction 없이 발생하는 반복적인 급성 폐부종
ACEi 또는 ARB 투여 후 급격한 신기능 악화: 투여 후 Serum Creatinine >30% 상승 시 양측성 협착 또는 단일 신장의 협착 의심
원인 불명의 신장 위축: 양쪽 콩팥 크기 차이 >1.5cm
진단
CT angiography (CTA): DOC, 높은 해상도, 스텐트 시술 전 해부학적 구조 파악 용이
주의: 요오드 조영제 신독성 (CIN) 위험
듀플렉스 신장초음파 (Duplex Doppler US): 신기능 저하자에게 안전하며 반복 검사 가능
진단 기준: Peak systolic velocity >200 cm/s (60% 이상의 협착 시사)
단점: 검사자 의존적, 비만 환자나 장 가스가 많은 경우 제한적
MR angiography (MRA): 조영제 알레르기나 신기능 저하 시 고려할수 있으나 부작용으로 사용이 적음
주의: GFR <30 mL/min인 경우 Gadolinium 조영제에 의한 신원성 전신 섬유증(NSF) 위험
Catheter Angiography (DSA): large vessel disease의 확진에 gold standard, 진단 및 치료 동시 계획시 시행
주의: 조영제 독성, 시술 관련 합병증(동맥 박리 등)
Captopril enhanced renography: 정상인 경우 높은 음성예측도
치료
섬유근이형성증 (Fibromuscular Dysplasia, FMD)
경피적 신동맥 성형술 (PTRA, balloon angioplasty): TOC
스텐트 삽입은 일반적으로 필요하지 않음 (박리 등의 합병증 발생 시 제한적 사용)
성공률 높음, 고혈압 완치 가능성 있음
죽상경화성 신동맥 협착
내과적 약물 치료 (Medical Therapy): 1차 치료
생활습관 교정 + 고지혈증 치료 (Statin) + 항혈소판제
혈압 조절: ACEi or ARB (편측 협착 시 효과적, 양측 협착 시에도 SCr/K+ 모니터링하며 주의 깊게 사용 권장)
혈관 재개통술 (Revascularization) : 내과적 치료 실패 시 스텐트 삽입술 (PTRA + Stent) 고려
적응증:
적절한 약물 치료에도 조절되지 않는 저항성 고혈압
적절한 고혈압 치료에도 신기능 저하 / 빠르게 신기능이 저하되거나 반복적으로 저하되는 경우/ ACEi or ARB 치료에도 신기능 저하되는 경우
LV dysfunction만으로는 설명되지 않는 반복적인 울혈성 심부전
수술적 치료: 대동맥 수술 등 다른 혈관 수술과 병행하거나 중재술 실패 시, 복잡한 해부학적 구조일 때 고려
** 양측 신동맥 협착에서도 ACEi or ARB는 생존율을 향상시키므로 절대 금기는 아니나, 투여 초기 SCr 상승(30% 이상)이나 고칼륨혈증 발생 여부를 매우 주의 깊게 관찰해야 한다. 단, 단일 신장의 협착이나 양측성 협착에서 급격한 신기능 저하가 발생하면 중단해야 한다.
[1] Harrison 22e, pg.2150-2153
정의: 심한 고혈압이 있으면서 뇌, 망막, 신장 세동맥의 fibrinoid necrosis가 발생하는 임상증후군
임상양상
눈: 유두부종, 망막 출혈
신장: AKI, arteriolar fibrinoid necrosis/onion skin lesion
뇌: 급성 뇌병증
치료 : 항고혈압약제
연습문제 11문제
0/11 완료
** 제목만 보더라도 어떤 내용인지 알 수 있도록 완성된 문장으로 작성해주세요.
예시) 초음파 (X) → 초음파 사진에서 PDA 소견을 어떻게 알 수 있나요? (O)