학습하기

커뮤니티

구입하기

내분비 (new) > 저혈당 질환

저혈당 질환

기본 개념

저혈당

  • 정의: Whipple's Triad

    • 저혈당과 일치하는 증상 및 징후

    • 증상이 있을 때 낮은 혈장 포도당 농도 (<55 mg/dL [<3.0 mmol/L])

    • 혈당 상승 후 증상 소실


  • 원인

    • 아프거나 약물 복용 중인 경우 (Ill or Medicated Individual)

      • 약물: 인슐린, 인슐린 분비 촉진제(Sulfonylurea, Glinide), 알코올

      • 중증 질환: 간부전, 신부전, 심부전, 패혈증, 영양실조(Inanition)

      • 호르몬 결핍: 코르티솔, 성장호르몬, 글루카곤/에피네프린 결핍

      • Non-islet cell tumor: IGF-II 생성 종양

    • 외관상 건강한 경우 (Seemingly Well Individual)

      • 내인성 고인슐린혈증: 인슐린종(Insulinoma), 췌장 베타세포 질환(Nesidioblastosis), 인슐린 자가면역 저혈당

      • 의인성 저혈당: 약물 오남용


  • 진단

    • 저혈당 발생 시(증상 있거나 공복 시) 혈액 검사 시행

    • 측정 항목: 혈장 포도당, 인슐린, C-peptide, Proinsulin, β-hydroxybutyrate, 경구 혈당강하제 스크리닝

    • 해석

      • C-peptide 감소: 인슐린 외인성 투여 (Factitious hypoglycemia)

      • C-peptide 증가: 인슐린종, Sulfonylurea/Glinide 복용, 인슐린 자가면역 증후군


  • 치료

    • 의식 있을 때: 경구 포도당 15~20g (주스, 사탕 등)

    • 의식 없을 때 (병원): 50% Glucose IV (25g) 후 Glucose infusion

    • IV 확보 불가 시: Glucagon 1.0 mg IM or SC (단, glycogen 고갈된 알코올 중독이나 기아 상태에서는 효과 미미)


[1] Harrison 22e, pg.3231-3236

추가 개념

인슐린종 진단기준 (ESCPG)

1. 임상적 특징

  • 전형적인 Whipple's triad 만족

  • 증상 발생 시 혈액 검사로 진단 (자연 발생 저혈당 포착이 어려우면 72시간 공복 검사 시행)

  • 대부분(>90%) 양성, 단발성(solitary), 췌장 내 위치 (<2.0 cm)

  • MEN1 증후군의 일환으로 발생 가능 (이 경우 다발성일 확률 높음)


2. 진단 기준 (Endogenous Hyperinsulinism)

  • 혈장 포도당 <55 mg/dL (<3.0 mmol/L) 이면서 동시에:

    • 혈장 인슐린 ≥3.0 µU/mL (≥18 pmol/L)

    • 혈장 C-peptide ≥0.6 ng/mL (≥0.2 nmol/L)

    • 혈장 Proinsulin ≥5.0 pmol/L

  • Plasma Beta-hydroxybutyrate ≤2.7 mmol/L (인슐린 작용으로 케톤 생성 억제)

  • Glucagon (1.0 mg IV) 투여 후 혈당 상승 >25 mg/dL (>1.4 mmol/L) (간 글리코겐 저장 및 당신생 억제 확인)

  • 경구 혈당강하제(Sulfonylurea, Glinide) 스크리닝: Negative

  • 인슐린 자가항체(Insulin antibodies): Negative


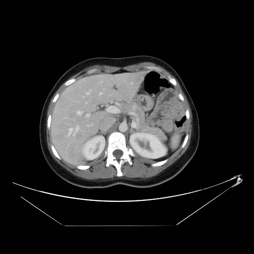
3. 영상 진단 (Localization)

  • CT / MRI: 약 70~80% 발견 (hyperdense pancreatic mass)

  • Endoscopic US (EUS): 민감도 ~90%, 췌장 내 위치 확인에 유용

  • Somatostatin receptor scintigraphy: 약 50%에서 발견

  • Selective pancreatic arterial calcium injection: 간정맥에서 인슐린 농도 급상승 확인 (Highly sensitive, 수술 전 국소화에 유용)


4. 치료

  • 수술적 절제 (TOC): 단발성 양성 종양의 경우 완치 가능

  • 약물 치료 (수술 불가하거나 다발성인 경우):

    • Diazoxide: 인슐린 분비 억제

    • Somatostatin analogues (Octreotide, Lanreotide)

    • Everolimus (mTOR inhibitor): 다른 치료 실패 시 고려


[1] Harrison 22e, pg.3235-3236

연습문제 10문제

0/10 완료

1개의 글


by

삼파장

·

2026년 2월 15일

인슐린종일때 c peptide와 인슐린이 반드시 정상범위보다 높아야하는지 궁금합니다


글 작성

** 제목만 보더라도 어떤 내용인지 알 수 있도록 완성된 문장으로 작성해주세요.
예시) 초음파 (X) → 초음파 사진에서 PDA 소견을 어떻게 알 수 있나요? (O)