학습하기

커뮤니티

구입하기

소아과 각론 (new) > 소아 감염질환

바이러스 감염 (2)

기본 개념

거대세포바이러스 (Cytomegalovirus, CMV)

  • 감염 형태

    • 선천성 감염: 태아가 자궁 내에서 감염. 신생아 감염의 가장 흔한 원인 (0.2-2.2%).

    • 주산기 감염: 분만 중 또는 모유 수유를 통해 감염 (6-12% ~ 40%).

    • 후천성 감염: 출생 후 감염. 면역 정상인에서는 대부분 무증상

  • 임상양상

    • 선천성 감염: 소두증, 간비대, 혈소판 감소증, 뇌내 석회화, 감각신경성 난청 등 심각한 후유증 유발 가능.

    • 주산기/후천성 감염: 면역 정상 소아는 대부분 무증상이나 일부에서 감염단핵구증 유사 증상(발열, 간염)을 보임.

    • 면역저하자 감염: 폐렴, 망막염, 위장관염 등 심각한 기회감염을 일으킴

  • 진단 및 검사

    • 혈청학적 검사: 혈액 또는 소변에서 CMV IgM 항체 검출 시 급성 감염 시사.

    • 바이러스 검출: 소변, 타액, 혈액 PCR

  • 치료

    • 면역약화자: 치명적인 CMV 감염이 있는 경우 IV ganciclovir + CMV-specivic IVIG 투여

    • 선천 감염: 증상이 있는 선천감염의 경우 valganciclovir / ganciclovir 투여
      (증상이 없는 경우 치료하지 않음)

Epstein-Barr 바이러스 (EBV)

  • 주요 질환

    • 감염성 단핵구증 (Infectious Mononucleosis)

    • 버킷 림프종, 비인두암 등과 관련

  • 임상 양상

    • Triad: 발열 (90%), 인후통 및 편도 비대 (kissing tonsils, 회백색 삼출물 동반) , 전신 림프절 종대 (주로 경부 침범)

    • 심한 피로감, 간/비장비대, 간수치 상승, 안검 부종, 구개 점상출혈

    • Ampicillin, Amoxicillin 투여 시 80% 이상에서 전신성 반점구진성 발진 발생

  • 진단 및 검사

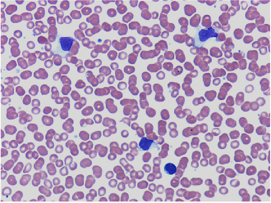
    • 말초혈액 도말검사: 비정형 림프구(Atypical lymphocyte)가 10% 이상 증가

    • 이종친화항체 검사: 간편한 선별 검사이나 4세이하 소아에서는 양성률 50%

    • EBV 특이 항체 검사: 가장 정확한 진단법. 감염 시기에 따라 항체 반응이 다름


  • 합병증: 비장 파열(0.1-0.5%), 인두부/기도폐쇄, 뇌수막염, 용혈빈혈/ 혈소판감소증/중성구감소증, 심근염, 사이질 폐렴, 췌장염/귀밑샘염. 혈구탐식성 림프조직구증

  • 치료 및 합병증

    • 치료: 대부분 대증요법. 충분한 휴식과 수분 공급이 중요함

    • 스테로이드 적응증 : 기도폐쇄, 혈소판 감소증, 용혈성 빈혈, 경련 등

인간 헤르페스 바이러스 6형 및 7형 (HHV-6, HHV-7)

  • 주요 질환: 영아 돌발진 (Exanthem Subitum, Roseola Infantum), 주로 HHV-6에 의해 발생

  • 임상양상

    • 3-5일간의 고열(39-40°C) 후, 열이 내리면서 몸통에서부터 얼굴, 팔다리로 퍼지는 장미빛 반점 또는 반점구진성 발진이 나타남

  • 진단: 병력 및 임상양상으로 진단

  • 치료: 해열제 및 대증요법

  • 합병증: 열성 경련이 가장 흔한 합병증

호흡기 세포융합 바이러스 (Respiratory Syncytial Virus, RSV)

  • 역학: 매년 겨울철에 유행하며, 2세까지 거의 모든 소아가 감염됨

  • 임상양상

    • 초기 증상: 콧물, 기침 등 상기도 감염 증상으로 시작

    • 진행 시: 쌕쌕거림(wheezing), 호흡 곤란, 빈호흡, 흉부 함몰 등 하기도 감염 증상 발현.

    • 고위험군: 미숙아, 선천성 심장질환, 만성 폐질환, 면역저하 소아에서 중증으로 진행될 위험이 높음

    • 천식, chlamydia 폐렴 등과의 감별 필요

  • 진단: 임상적 진단, 비인두 흡인물에서 신속 항원 검사/RT-PCR

  • 치료

    • 보존적치료 (수액공급, 가습 산소투여)가 원칙

    • ribavirin: 선천 심질환, BPD 환아에서 고려 가능하나 효과 불분명

  • 예방: nirsevimab, palivizumab

    ** nirsevimab이 최근 모든 영유아를 대상으로 도입되었음. 소아예방접종 단원 참고

기타 주요 호흡기 바이러스

  • 파라인플루엔자 바이러스 (Parainfluenza Virus)

    • 영유아 급성 폐쇄성 후두염(크룹, Croup)의 가장 흔한 원인

    • '개 짖는 듯한' 기침(barking cough), 쉰 목소리, 흡기성 천명(stridor)이 특징

    • 치료: 흡입용 스테로이드(Budesonide) 또는 전신 스테로이드(IM/PO), 중증 시 에피네프린 분무 요법


  • 아데노바이러스 (Adenovirus)

    • 다양한 혈청형이 존재하여 여러 임상 증후군을 유발

    • 인두결막열(Pharyngoconjunctival fever), 급성 출혈성 방광염, 폐렴, 위장관염

    • 치료: 대부분 대증요법. 면역저하자에서 중증 감염 시 Cidofovir 고려

    • 합병증

      • 아데노바이러스 폐렴: 기계 호흡이 필요한 호흡부전으로 진행 (특히 면역약화환자 위험)

        • 심한 폐렴 후에 만성 폐질환, bronchiolitis obliterans 등의 후유증 흔함

        • 영유아에게 매우 심각한 괴사성 폐렴(Necrotizing pneumonia) 유발 가능

      • 유행성 각막 결막염에 의한 시력 상실 위험

      • 이식 환자: 파종성 감염 또는 폐렴 발생 시 치사율 60~80% 육박



[1] 홍창의 12e, pg. 502-516

연습문제 17문제

0/17 완료

0개의 글


글 작성

** 제목만 보더라도 어떤 내용인지 알 수 있도록 완성된 문장으로 작성해주세요.
예시) 초음파 (X) → 초음파 사진에서 PDA 소견을 어떻게 알 수 있나요? (O)