학습하기

커뮤니티

구입하기

신장 (new) > 사구체 질환

신염 증후군 (Nephritic syndrome)

기본 개념

급성 신염증후군 (Acute nephritic syndrome)

정의 및 특징

  • 사구체 염증으로 인한 급격한 신기능 저하

  • 특징적 소견:

    • 혈뇨 (Hematuria): 이형 적혈구(dysmorphic RBC), 적혈구 원주 (RBC cast)

    • 고혈압 (Hypertension)

    • 질소혈증 (Azotemia): GFR 감소

    • 단백뇨 (Proteinuria): 대개 < 3.5 g/day (신증후군 범위 미만, 단 심한 경우 동반 가능)


주요 원인

  • 연쇄상구균 감염 후 사구체신염 (PSGN)

  • IgA 신병증 (IgA nephropathy)

  • 전신 홍반 루푸스 (SLE)

  • 혈관염 (ANCA-associated vasculitis)

  • 급속 진행성 사구체신염 (RPGN)


[1] Harrison's Principles of Internal Medicine, 22e

PSGN

1. 개요 및 병태생리

  • 급성 신염증후군의 가장 전형적인 형태

  • 원인: 신염 유발 균주(nephritogenic strain)의 Group A Beta-hemolytic Streptococcus (GAS) 감염

  • 기전: 순환 면역복합체 침착 또는 in-situ 면역복합체 형성에 의한 보체 활성화


2. 임상 양상

  • 호발 연령: 2~14세 소아 (남 > 여)

  • 잠복기 (Latency):

    • 인두염 (Pharyngitis) 후: 1~2주

    • 농가진 (Impetigo, 피부감염) 후: 3~6주

  • 증상: 갑작스러운 혈뇨(콜라색 소변), 부종, 고혈압


3. 진단 소견

  • 혈청 보체: C3 감소 (90% 이상), C4 정상 (vs 루푸스 신염: C3, C4 모두 감소)

    • C3는 대개 8주 이내 정상화 (8주 이후에도 저보체혈증 지속 시 MPGN, SLE 등 다른 질환 의심)

  • 혈청학적 검사 (Streptozyme test):

    • 인두염 후: ASO titer 증가 (가장 흔함)

    • 피부감염 후: Anti-DNAse B, Anti-hyaluronidase 증가 (ASO는 위음성 가능성 높음)

  • 배양 검사: 인후/피부 배양 (양성률 낮음)



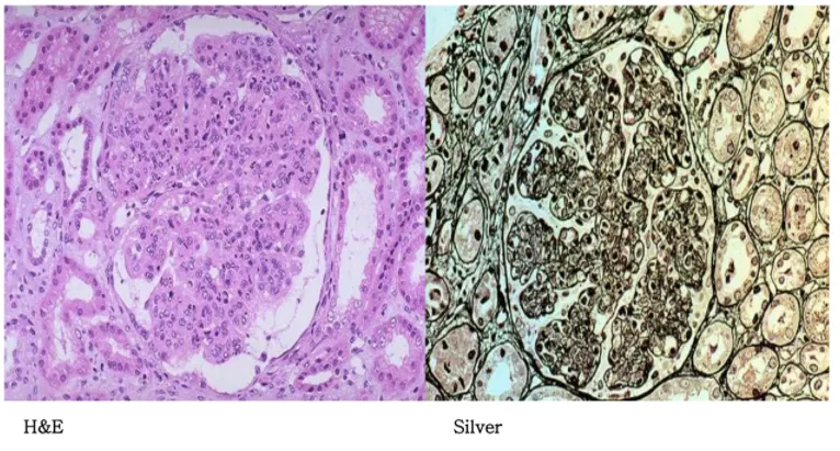
4. 신장 조직검사 (Biopsy)

  • LM (광학현미경): 미만성 증식성 사구체신염 (Diffuse proliferative GN), 호중구 침윤

  • IF (면역형광현미경): IgG, C3의 과립성 침착 (Starry sky pattern)

  • EM (전자현미경): Subepithelial humps (상피하 침착, 특징적 소견)


5. 치료 및 예후

  • 치료: 보존적 치료 (대증 요법)

    • 부종: 수분/염분 제한, 이뇨제

    • 고혈압: 항고혈압제 (CCB / ACEi는 고칼륨혈증 주의)

    • 항생제: 급성기 감염이 남아있는 경우에만 사용 (신염 경과 자체에는 영향 없음)

  • 예후: 소아는 95% 이상 완전 회복 (성인은 예후가 상대적으로 나쁨)


[1] Harrison's Principles of Internal Medicine, 22e

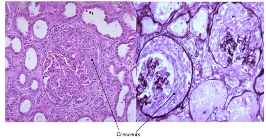
RPGN

1. 정의 및 병태생리

  • 정의: 수 주~수 개월 내에 급격히 신기능이 악화되는 임상 증후군

  • 병리: 반월상 형성 (Crescents) > 50% → Crescenteric GN이라고도 부름

    • Bowman's space 내에 parietal epithelial cell 증식 및 macrophage 침윤

    • 섬유화(fibrotic) 진행 시 비가역적 손상


2. 분류 및 감별진단

면역형광현미경(IF) 소견에 따른 분류가 가장 중요함

Type 1: Anti-GBM Antibody Disease (10~20%)

  • IF 소견: IgG의 선형 침착 (Linear deposition)

  • 혈청: Anti-GBM Ab 양성

  • 임상: Goodpasture syndrome (객혈 + 혈뇨)

    • 젊은 남성 흡연자 호발

    • 폐-신장 증후군 (Pulmonary-Renal Syndrome)

  • 치료: 혈장 교환술 (Plasmapheresis) + Steroid + Cyclophosphamide


Type 2: Immune Complex Mediated (20~30%)

  • IF 소견: 과립성 침착 (Granular deposition)

  • 원인 질환:

    • SLE (Lupus nephritis class IV)

    • IgA 신병증 (HSP 포함)

    • 감염 후 사구체신염 (PSGN)의 심한 형태

    • Cryoglobulinemia (HCV 연관)

  • 혈청: C3, C4 감소 (질환에 따라 다름)


Type 3: Pauci-immune (50~60%)

  • IF 소견: 침착 없음 (Negative/Pauci-immune)

  • 혈청: ANCA 양성

  • 원인 질환 (ANCA-associated vasculitis):

    • Granulomatosis with polyangiitis (Wegener's): c-ANCA (PR3)

    • Microscopic polyangiitis (MPA): p-ANCA (MPO)

    • Eosinophilic granulomatosis with polyangiitis (Churg-Strauss): p-ANCA, 호산구 증가, 천식


3. 치료 원칙

  • 조기 진단 및 치료가 신기능 보존에 필수적

  • 기본: 고용량 Steroid (Pulse therapy) + Cyclophosphamide (또는 Rituximab)

  • Type 1 (Goodpasture): 항체 제거를 위해 혈장 교환술 필수 병행


[1] Harrison's Principles of Internal Medicine, 22e

연습문제 11문제

0/11 완료

0개의 글


글 작성

** 제목만 보더라도 어떤 내용인지 알 수 있도록 완성된 문장으로 작성해주세요.
예시) 초음파 (X) → 초음파 사진에서 PDA 소견을 어떻게 알 수 있나요? (O)