학습하기

커뮤니티

구입하기

종양 (new) > 종양 합병증

고점도 증후군 (hyper viscosity syndrome)

기본 개념

고점도 증후군 (hyper viscosity syndrome)

  • 병태 생리

    • 혈액 내 특정 성분(단백질, 혈액세포)의 과도한 증가 → 혈액의 점도(끈적임)가 비정상적으로 높아짐 → 미세혈관 순환 장애 및 혈류 저하 유발

    • 종양학적 응급 질환에 해당

  • 주요 원인

    • Paraproteinemia

      • Waldenström's macroglobulinemia, IgM 증가

      • 다발성 골수종 (Multiple Myeloma, IgA, IgG3 증가)

    • 과세포증 (Hypercellularity)

      • 급성 골수성 백혈병 (AML) 등 백혈구 증가증: WBC >100,000/ul

      • 진성 적혈구증가증 (Polycythemia vera): Hct > 60%

    • 적혈구의 deformity: Sickle cell disease, Hereditary spherocytosis 등


  • 대표 증상 (3대 증상)

    • 출혈 경향: 코피, 잇몸 출혈 (점막 출혈이 흔함)

    • 신경학적 증상: 두통, 어지럼증, 흐린 시야, 이명, 보행 장애, 드물게 의식 혼미/혼수

    • 시력 장애: 망막 혈관 확장 및 출혈, 시력 저하

  • 진단

    • 혈액 점도 측정 : Serum/plasma viscosity test, PBS rouleaux formation

    • 혈액 검사: 혈구 수, 단백질 전기영동

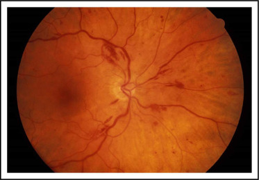
    • 안저 검사: “sausage link” retinal venous engorgement, papilledema, exudate, hemorrhage

  • 치료

    • 응급 치료

      • 수액공급 및 원인 물질 제거

        • 혈장분리교환술 (Plasmapheresis): paraprotein 제거에 가장 효과적인 응급 처치

        • 백혈구성분채집술 (Leukapheresis): 백혈구 수치가 원인일 경우

        • 혈소판 증가증은 plateletpheresis, 적혈구 증가는 phlebotomy를 시행

      • Hydroxyurea: 과세포증이 원인일 때 cytoreduction을 위해 시행

      • CNS irradiation: 뇌의 백혈구 정체로 심각한 신경 증상 발생시 응급 국소 치료

    • 근본 치료 (원인 질환 치료)

      • 항암화학요법, 표적 치료 등 원인 질환에 맞는 치료 시행

연습문제 8문제

0/8 완료

0개의 글


글 작성

** 제목만 보더라도 어떤 내용인지 알 수 있도록 완성된 문장으로 작성해주세요.
예시) 초음파 (X) → 초음파 사진에서 PDA 소견을 어떻게 알 수 있나요? (O)