정의: 췌장 효소, 혈액와 괴사된 조직 등이 포함된 액체가 들어있는 캡슐로 싸여있는 낭. interstitial edematous pancreatitis의 합병증으로 발생한다.
급성 이자염의 10-20%에서 1-4주 뒤에 발생
증상: 무증상 / 복통, 소화불량, 구토, 조기 포만감, 체중감소, 황달 등
합병증 : 파열, 감염, 출혈, 담관이나 위 출구 폐쇄 등
치료
증상이나 합병증이 없으면 경과관찰 (대부분 spontaneous resolution)
증상이 있거나 합병증이 발생한 경우 배액술 시행
증상: 지속되는 복통, 오심, 구토, 식이불량, 황달, 체중감소 등
합병증: 감염, 출혈, 폐색 (위, 십이지장, 담도계)
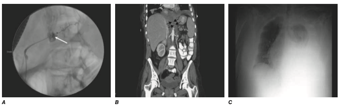
내시경낭종배액술 - TOC
피부경유낭종배액술 - 내시경낭종배액술이 실패하거나 불가능할때
[1] Approach to walled-off pancreatic fluid collections in adults - uptodate
[2] 개정된 대한췌장담도학회 급성췌장염 임상진료지침 2022: 국소 합병증 및 괴사성 췌장염의 치료
정의:급성 괴사성 췌장염 발생 후 4주 이상이 지난 시점에 주변 괴사가 융합되어 섬유화 조직으로 둘러싸인 상태
치료
중재술의 적응증이 아니라면 경과관찰
중재술의 적응증: 감염이 확인된 WON, 위/장/담관의 폐색이 있는 경우, 통증이 유발되는 경우, 복부의 구획증후군이 발생한 경우
중재술: Step up approach (내시경 배액술/피부경유 배액술 → 내시경적/수술적 괴사제거술)
[infected pancreatic walled-off necrosis]
[1] Harrison 22e, pg. 2743-2750
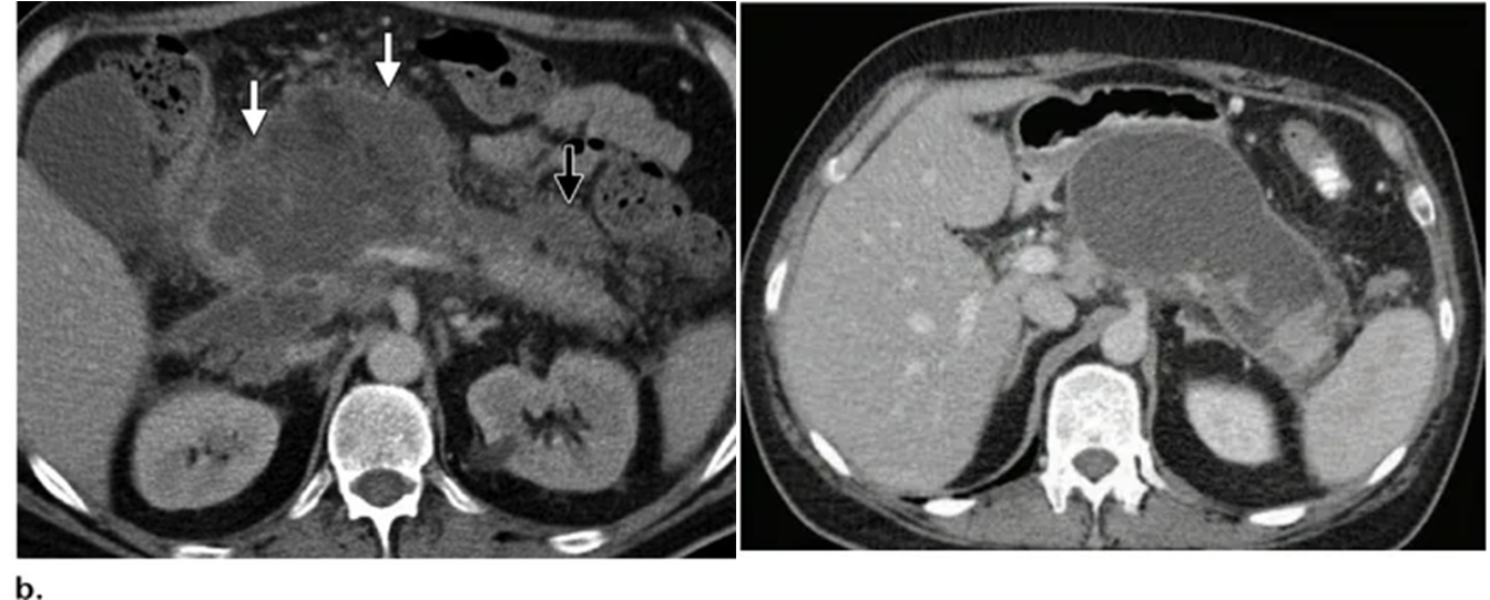
영상소견만으로 pseudocyst와 walled-off necrosis를 구분하는 것이 쉽지 않을 수 있다.
pseudocyst는 IEP의 합병증으로 발생하고, WON 은 acute necrotizing pancreatitis의 합병증으로 발생하기 때문에 질환 초기에 괴사여부를 잘 확인하는 것이 중요하다.
Pseudocyst는 췌장 효소로 구성되며, 정상 췌장 조직에 붙어있는 형태로 관찰된다. homogenous fluid를 보이며 비교적 regular 한 모양의 capsule을 갖는다.
WON의 경우 췌장조직과 주변 지방조직의 necrotic debris로 구성되어 heterogenous fluid를 보인다. WON은 괴사된 췌장 조직을 대체하여 형성되며 주변으로 remaining enhancing pancreas가 보이게 된다.
시기: 급성 괴사성 이자염 1-2주 후 발생
증상: 급성 괴사성 이자염 호전 중 새로 생긴 발열, 심한 백혈구증가증, 혈액배양 (+), 패혈증 등이 있을 때 반드시 의심
진단
임상증상과 영상 소견 (CT상 acute necrotic collection 내부의 공기음영)으로 진단

치료 : 경험적 항생제 (Carbapenem 등) 사용 후 반응에 따라 중재술 시행
항생제 치료로 호전 → 4주 정도 보존적 치료를 하고 필요시 배액술이나 괴사조직 절제술
항생제 치료로 호전 X → 조기 배액술 또는 괴사조직 절제술
[1] Management of acute pancreatitis - uptodate
[2] 개정된 대한췌장담도학회 급성췌장염 임상진료지침: 국소 합병증 및 괴사성 췌장염의 치료
췌관 파열
임상양상: 점점 심해지는 복통, 흉수/복수
진단
pleural/ascitic fluid 의 high amylase level
MRCP 또는 ERCP
치료: bridging pancreatic stent
주변혈관 합병증
splenic vein thrombosis
portal v/ smv thrombosis
gastric varices
pseudoaneurysm
[1] Harrison 22e, pg. 2748
연습문제 12문제
0/12 완료
** 제목만 보더라도 어떤 내용인지 알 수 있도록 완성된 문장으로 작성해주세요.
예시) 초음파 (X) → 초음파 사진에서 PDA 소견을 어떻게 알 수 있나요? (O)