학습하기

커뮤니티

구입하기

류마티스 (new) > 혈관염

결절성 다발 동맥염 (PAN)

기본 개념

결절성 다발 동맥염 (Polyarteritis nodosa, PAN)

  • 정의: ANCA 음성중간 크기 동맥을 침범하는 전신 괴사성 혈관염. 폐 침범, 사구체신염 없음.

  • 핵심 병인

    • 특발성 (대부분), HBV 연관성 (현재 드묾), 기타 (HCV, hairy cell leukemia, DADA2)

  • 주요 임상 특징

    • 비특이 전신 증상 (m/c): 발열, 체중감소, 근육통 등

    • 신장 (60%): 신동맥 침범 → 고혈압, 신부전. (사구체신염 X)

    • 신경 (50%): 단일신경염 다발 (Mononeuritis multiplex) → 족하수 (Foot drop)

    • 소화기 (44%): 식후 복통 (장간막 허혈)

    • 피부 (43%): 만져지는 자반, 결절, 망상울혈반.

    • 심장 (36%): 울혈성 심부전, 허혈성 심질환, 심막염

  • 진단

    • 확진: 조직 생검 (중간 크기 동맥의 괴사성 혈관염).

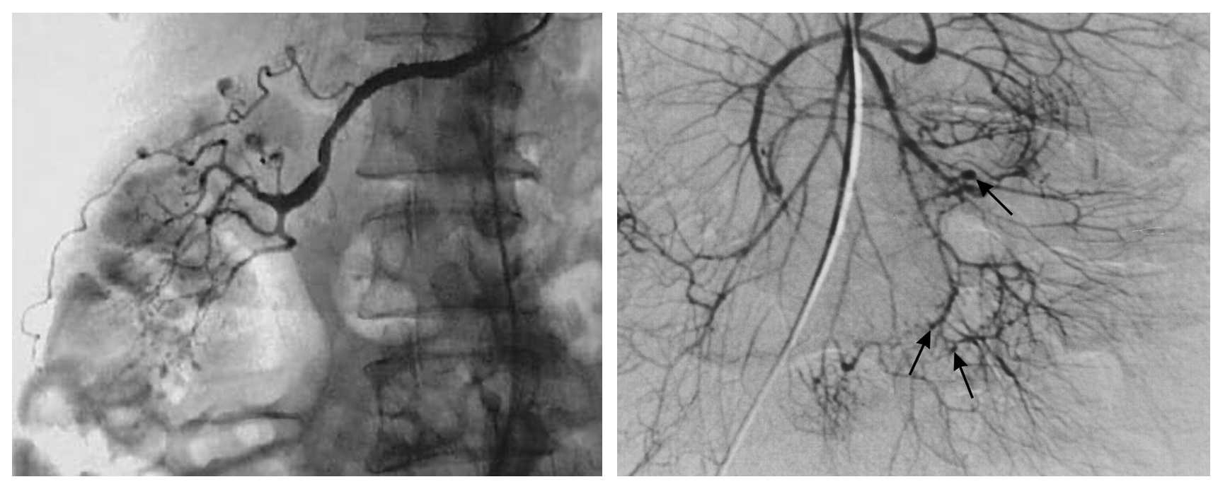
    • 혈관 조영술: 신장/장간막 동맥작은 동맥류 (microaneurysms, bead on a string), 폐혈관은 정상

    • 기타 검사: WBC 증가, ESR/CRP 증가, ANCA (-)

    • PAN 진단시 반드시 HBV, HCV workup 시행

  • 치료

    • 특발성 (중증): glucocorticoid + cyclophosphamide

    • HBV, HCV 연관: 항바이러스제 치료 병행


[1] Harrison's 22e, pg. 2901-2902

연습문제 5문제

0/5 완료

0개의 글


글 작성

** 제목만 보더라도 어떤 내용인지 알 수 있도록 완성된 문장으로 작성해주세요.
예시) 초음파 (X) → 초음파 사진에서 PDA 소견을 어떻게 알 수 있나요? (O)