학습하기

커뮤니티

구입하기

혈액 (new) > 림프종

비호지킨 림프종

기본 개념

비호지킨 림프종

  • 정의

    • 림프구(B, T, NK 세포)에서 기원하는 림프계의 악성 종양으로, 호지킨 림프종을 제외한 모든 림프종을 포함

  • 검사 및 평가

    • 신체진찰, B 증상 확인

    • CBC, LFT, 요산, 칼슘, 혈청 단백질 전기영동 검사, 혈청 B2 microglobulin

    • 영상검사: CXR, CT

    • CSF 검사: ALL, Burkitt’s lymphoma, DLBCL

    • SPECT/PET-CT : large cell lymphoma

    • 조직검사

  • 진단 및 병기

    • 필수 검사: 조직 생검, 면역표현형 검사, FDG-PET/CT(공격성)

    • 병기: Ann Arbor Staging System (I-IV기)

      • 병기설정

    • 예후 예측: IPI (International Prognostic Index)

      - 연령(>60), LDH(증가), 수행상태(≥2), 병기(III/IV), 림프절 외 침범(>1)



    • 말초 T세포 림프종 (PTCL)

      • B세포 NHL보다 드물고 예후 불량

      • 1차 치료: CHOP 기반 요법. CD30+인 경우 Brentuximab vedotin 포함 요법

[1] Harrison 22e, pg. 857-868

Mature B-cell Lymphoma

[Indolent types]

  • CLL/SLLCLL 단원 참고

    • 면역조직화학염색

      • 양성: CD5, CD19, CD20(dim), CD23


  • Follicular lymphoma (FL)

    • 면역조직화학염색

      • 양성: CD19, CD20, CD10, BCL6

      • 음성: CD5, CD23

      • t(14;18)의 존재, BCL2의 비정상 발현 시 확진

    • 조직소견 : 정상 nodal architecture가 종양세포로 인해 넓어진 모습

    • 치료

      • 무증상: 경과관찰

      • 유증상: 치료 시작 (Rituximab ± Bendamustine/CHOP/CVP/lenalidomide)

      • Grade 3 or DLBCL 로의 전환

        • treatment naive: R-CHOP (DLBCL에 준하여 치료)

        • previously treated: extensive combination CTx → autologous HSCT


  • Marginal Zone lymphoma (MZL)

    • Nodal MZL

      • CD 19+ , CD 20+, CD 79a + / CD 10 -, CD 5 -

      • 치료: FL과 유사, BTK inhibitor (Ibrutinib, zanubrutinib) 효과적

    • Splenic MZL

      • Rituximab 기반 치료, splenectomy

    • Extranodal MZL of MALT (MALToma)

      • 만성 염증성 자극에 의해 발생 (위, 침샘, 결막, 갑상샘 등)

      • CD 19+ , CD 20+, CD 79a + / CD 10 -, CD 5 -

      • t(11;18), t(14;18), t(1;14), t(3;14), trisomy 8 과 연관

      • 대부분 무증상, 원인이 치료되는 경우 자연 호전

      • Stage I/II 의 경우 RT 가 효과적


  • Mantle cell lymphoma (MCL)

    • 특징 면역화학염색: t(11;14) → Cyclin D1 overexpression

    • CD5+, cyclin D1 +, CD19+, CD20+ / CD 23-, CD 10-

    • 치료

      • 무증상/진행느린 변이형: 증상 발현/장기기능장애 시점까지 경과관찰

      • 국소성 질환: 복합항암요법 → 방사선 치료

      • 전신성 질환(m/c): 복합항암화학요법 치료 관련 연구가 현재진행형

        • 고강도요법 (R-CHOP + HD cytarabine ± Autologous HSCT)

        • BR (Bendamustine + Rituximab) ± cytarabine/Ibrutinib 등


  • Lymphoplasmacytic lymphoma (LPL)

    • 림프형질세포(Lymphoplasmacytic) 분화를 보이는 B세포 NHL, paraproteinemia 동반

    • 핵심 유전학: MYD88 활성 돌연변이

    • 치료 적응증: 증상/장기기능 장애 유발시

      • hyper viscosity syndrome: plasmapheresis

      • Low-volume: Rituximab 단독

      • Active: BR, / Highly active: Rituximab + Ibrutinib/Zanubrutinib


[Agressive types]

  • Burkitt’s lymphoma (BL)

    • 특징

      • 소아 NHL 의 30% 차지

      • 매우 빠르게 성장 (종양 doubling time <24hr)

      • 35세 미만, 남성에서 호발

    • 임상양상

      • 풍토병형(Endemic/아프리카형): 턱 또는 안면골 종양으로 발생, EBV 양성

      • 비풍토병형 (Nonendemic): 복부 종괴로 발현, EBV 대부분 음성

      • 면역결핍 연관형: 주로 림프절 침범

    • 조직소견: 고전적인 “Starry sky” appearance

    • 면역표현형: CD 19 +, CD 20 +, CD 10 +, BCL 6 + / BCL2 -

    • 유전자: MYC translocation (>95%)

    • 치료: 즉각적인 치료 시작, 고강도 복합화학요법 (EPOCH-R), CNS 예방 요법


  • Diffuse Large B-cell lymphoma (DLBCL)

    • 가장 흔한 NHL 아형

    • 표준 치료: R-CHOP / Polatuzumab + R-CHP (IPI 2점 이상)

    • 재발/불응성: 2차 치료로 CAR-T 세포 치료 또는 ASCT

Mature T-cell Lymphoma

[Non cutaneous]

  • Peripheral T-cell lymphoma (PTCL)

    • 임상양상

      • 진단 시 병기: 대부분 진행성 병기 (Advanced-stage)

      • 주요 침범 부위: 골수, 간, 비장, 피부 (흔함)

      • 주요 증상: "B" 증상, 가려움증 (Pruritis)

      • 동반 소견:

        • 반응성 호산구증가증 (Reactive eosinophilia)

        • 혈구탐식증후군 (Hemophagocytic syndrome)

    • 면역표현형

      • CD3+ (T세포)

      • 대부분 CD4+ (CD8- 보다) / 일부는 CD4-/CD8- (Double negative)

      • 예후 불량 인자: 성숙 T세포 표지자(CD5, CD7) 소실

    • 유전학:

      • TCR 유전자 관련 재발성 전위 (t(7;14), inv(14) 등)

    • 치료

      • 1차치료: CHOP 기반 치료 ± etoposide, brentuximab (CD30+)

      • 공고요법: ASCT


  • Angioimmunoblastic T-cell lymphoma (AITL)

    • 주요 증상: 림프절병증, 간비장비대, "B" 증상, 발진, 다발성 관절염, 용혈성 빈혈

    • 진단 시 병기: > 80%가 진행성 병기, 골수 침범 흔함

    • 검사 소견: 다클론성 고감마글로불린혈증 (흔함), LDH 상승, Eosinophilia, 쿰스 검사 양성

    • CD4+, CD3+, CXCL13+, PD-1+, CD10+, BCL6+

    • 치료: CHOP 기반 복합항암화학요법

  • Anaplastic Large cell lymphoma (ALCL)

    • 소아 호발 (소아 림프종의 10% 차지)

    • 핵심 분류

      • ALK 양성: t(2;5) -> NPM1-ALK 융합 유전자, 젊은 나이 발생, 예후 양호

      • ALK 음성: 고령 환자, 예후 불량

    • 병리 소견: 말굽모양핵 (Horseshoe shaped nucleus)

    • 면역표현형: CD30+ , CD15 - , CD 3+, CD25+ , CD43+, CD4+

    • 치료: CHOP + etoposide (ALK+)/ Brentuximab (CD30+)


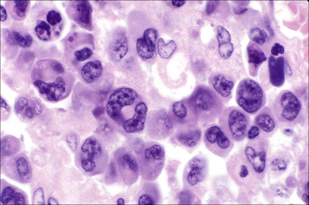
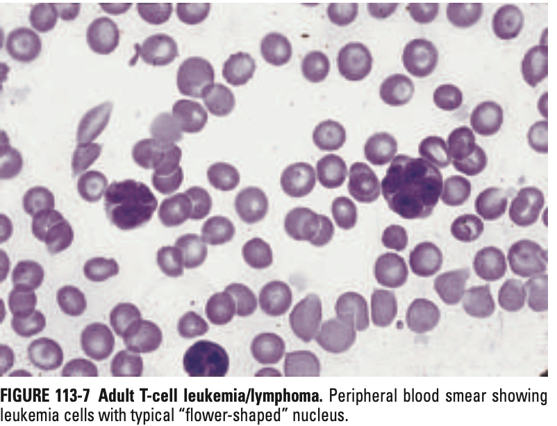
  • Adult T-cell leukemia/lymphoma (ATLL)

    • 특징: HTLV-1 바이러스에 의해 유발, 매우 빠르게 진행, 1년 이내 사망률 높음

    • 임상양상: 순환 종양세포 및 골수 침범, 고칼슘혈증, Lytic bone lesion, 림프절병증, 간비장비대, 피부병변, 기회감염

    • 병리소견: 꽃잎세포 (pathognomonic)

    • 면역표현형

      • 양성: CD4+, CD25+ (매우 특징적), CD2+, CD3+, CD5+

      • 음성: CD7-

    • 치료: 복합항암화학요법, 항레트로바이러스제 등


  • Extranodal NK/T cell lymphoma


    • 주변 조직을 파괴하는 비인두 종양으로 발현

    • EBV 감염과 강하게 연관 (CD21 -), T cell receptor rearrangement 소실

    • 조직소견: 작은 혈관을 둘러싸고 침범하는 종양세포, 광범위한 허혈성 조직괴사

    • 치료

      • 국소병기: CCRT (Etoposide, Ifosfamide, Cisplatin, Dexamethasone)

      • 진행성 병기: SMILE 요법 (Dexamethasone, Methotrexate, Ifosfamide, L-asparaginase, Etoposide)



[Cutaneous]

  • Mycosis Fungoides

    • 초기 증상: 진단 수년 전부터 습진(eczematous) 또는 피부염(dermatitic) 유사 병변 발생

    • 림프절 침범, 내부장기 침범 가능

    • 세자리 증후군 (Sézary’s syndrome): 전신 홍피증(generalized erythroderma) + 순환 종양 세포 발생

    • 치료

      • 국소성 초기: 방사선치료 (전신 피부 전자선 조사, TSEB)

      • 진행성 질환 (고식적 치료): 국소 스테로이드, 광선치료, 전신치료 (Bexarotene, IFN, HDAC, 항암치료, Mogamulizumab)

연습문제 16문제

0/16 완료

0개의 글


글 작성

** 제목만 보더라도 어떤 내용인지 알 수 있도록 완성된 문장으로 작성해주세요.
예시) 초음파 (X) → 초음파 사진에서 PDA 소견을 어떻게 알 수 있나요? (O)