학습하기

커뮤니티

구입하기

혈액 (new) > 골수증식성질환 (MPN)

만성 골수성 백혈병 (CML)

기본 개념

만성 골수성 백혈병 (CML)

  • 정의: 필라델피아 염색체(t(9;22))에 의해 형성된 BCR-ABL1 융합 유전자가 과립구 계열의 통제되지 않는 증식을 유발하는 골수증식종양

  • 증상 및 특징

    • 무증상 흔함

    • 비장비대 (m/c), 간비대, 림프절비대, 골수외 조직 침범 (피부, 피하층) 등

    • 높은 호염기구 수치 → 소양증, 설사, flushing, GI ulcer 유발 가능

    • 백혈구 증가 1만에서 50만

  • 진단

    • 말초혈액도말검사

      • Left shift with neutrophil predominance, 말초에서 골수계 모든 세포 출현 (band / myelocyte / metamyelocte / promyelocyte / blast(<5%) )


      • 호염기구/호산구 증가

      • 혈소판 증가 / 감소(예후 불량)

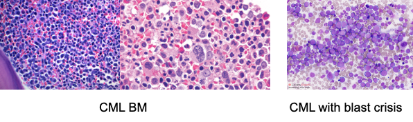
    • 골수 검사

      • Hypercellular BM with marked myeloid hyperplasia (M:E ratio = 15~20:1)

      • blast는 대부분 5% 미만 (가속기로 전환된 경우 15% 이상)


    • 확진: 골수검사에서 필라델피아 염색체 확인 ( t(9;22) ) 또는 혈액/골수 PCR에서 BCR-ABL1 유전자 검출

  • 기타 검사 소견 : 혈청 요산 증가, LDH 증가, Vit B12 , 결합능 증가, Lysozyme 증가


  • 질환 단계

    • 만성기 (대부분 여기에 해당): 말초혈액 또는 골수 내 아세포(Blasts) < 10%

    • 가속기 (accelerated phase): 다음 중 하나 이상을 만족하는 경우

      • 혈액/골수 내 아세포: 10-19%

      • 혈액 내 호염기구(Basophils): ≥ 20%

      • 치료와 무관하게 지속되는 혈소판감소증 (< 100 x 10⁹/L)

      • 치료와 무관하게 지속되는 혈소판증가증 (> 1,000 x 10⁹/L)

      • 치료 중 추가적인 클론성 염색체 이상(CCA/Ph+) 발생 치료에도 불구하고 백혈구 수 증가 및 비장 크기 증가

    • 아세포발증기/급성기 (blast phase): 다음 중 하나 이상에 해당

      • 말초혈액 또는 골수 내 아세포(Blasts) ≥ 20%

      • 골수 생검에서 아세포가 군집(cluster)을 이루는 경우

      • 골수 외 아세포 증식 (Extramedullary blast proliferation)

      → 급성 백혈병에 준한 치료 필요


  • 치료

    • 1차 약제: 티로신 키나아제 억제제(TKI)

      • Imatinib, Dasatinib, Nilotinib, Bosutinib

      • 내성/T315I 돌연변이: Ponatinib, Asciminib

    • 만성기 치료: TKI → 내성시 ponatinib 등 고려

    • 가속기 치료: 고효능 2세대 TKI 치료 → 불응시 TKI 교체 또는 Allo-HSCT

    • 급성기 치료: TKI + intensive chemo (관해유도) → Allo-HSCT 가능한 빨리 시행


**완전관해기준

  • 혈액학적 기준: 말초혈액 WBC <1만, 미성숙 과립구 없음, PLT <45만, 비장 안만져짐

  • 세포유전학적 기준 (CCyR): 골수검사에서 Ph염색체 양성 세포 0% (최소 20개의 metaphse분석)

  • 분자생물학적 기존 (MMR): 혈액 PCR검사에서 BCR-ABL1 수치 ≤ 0.1%

→ 현재 TKI 시대에서의 CML 치료의 가장 중요한 목표는 MMR


주요 약물 부작용

  • Imatinib: 부종, 근육 경련, 오심/설사

  • Dasatinib: 흉수, 심낭삼출, 혈소판 감소

  • Nilotinib: 고혈당, 췌장염, 혈관 폐쇄성 질환

  • Bosutinib: 설사, 간독성

  • Ponatinib: 혈관 폐쇄성 질환, 고혈압, 췌장염


[1] Harrison 22e, p. 835-843

연습문제 9문제

0/9 완료

0개의 글


글 작성

** 제목만 보더라도 어떤 내용인지 알 수 있도록 완성된 문장으로 작성해주세요.
예시) 초음파 (X) → 초음파 사진에서 PDA 소견을 어떻게 알 수 있나요? (O)