학습하기

커뮤니티

구입하기

소아과 각론 (new) > 소아 종양질환

간모세포종 (Hepatoblastoma)

기본 개념

간모세포종 (Hepatoblastoma)

  • 정의: 소아에서 발생하는 가장 흔한 원발성 악성 간 종양

  • 역학 및 특징

    • 대부분 3세 미만의 영유아에서 발생하며, 간의 배아세포에서 기원

  • 임상양상

    • 복부 종괴: 가장 흔한 증상으로, 통증 없이 우연히 발견되는 경우가 많음

    • 복부 팽만: 종양의 크기가 커지면서 나타남

    • 전신 증상: 식욕 부진, 체중 감소, 구토, 복통, 무기력 등

    • 종양 출혈: 외상 또는 spontaneous rupture

    • 성조숙증: 종양에서 β-hCG를 분비하는 경우 드물게 발생할 수 있음 (남아에서 음경 비대 등)

  • 진단

    • 혈액검사

      • AFP 증가 (90% 이상 환자에서 현저히 증가 > 500ng/mL, 치료 반응 및 재발 모니터)

        (**혈중 AFP는 신생아기에 정상적으로 증가하나 1세까지 <10ng/dL로 감소)

      • 빌리루빈, 간수치 대부분 정상

      • 빈혈, 혈소판증가증 흔히 동반

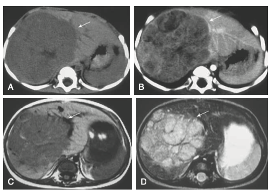
    • 영상검사: 복부 초음파, CT, MRI 및 흉부 CT


    • 조직학적 확진

  • 치료

    • 수술적 절제 가능: 원발 종양의 완전 절제 + 전신 화학 요법 (cisplatin + doxorubicin / cisplatin + vincristine + 5FU)

    • 초기에 수술적 절제가 불가능한 경우:
      수술 전 항암 → 수술 → 보조항암요법 or 항암 → 간이식 → 항암


[1] 홍창의 12e, pg. 1007-1008

[2] Nelson’s pediatrics, 22e, pg. 3153-3155

연습문제 5문제

0/5 완료

0개의 글


글 작성

** 제목만 보더라도 어떤 내용인지 알 수 있도록 완성된 문장으로 작성해주세요.
예시) 초음파 (X) → 초음파 사진에서 PDA 소견을 어떻게 알 수 있나요? (O)