학습하기

커뮤니티

구입하기

소아과 각론 (new) > 소아 종양질환

신종양

기본 개념

Wilms 종양 (nephroblastoma)

  • 정의 및 특징

    • 소아의 신장에서 발생하는 원발성 악성 종양

    • 태아기 신장 조직인 후신원성 조직(metanephric blastema)의 미분화 세포에서 기원하는 배아성 종양

    • 선천 기형 동반 흔함: WAGR syndrome (비뇨생식기 기형, 반신 비대, 무홍채 등)

    • 5-10%는 양측성 발생

  • 관련 유전자 및 증후군

    • WT1 (Wilms Tumor 1) 유전자: 11번 염색체 단완(11p13)에 위치한 종양 억제 유전자로, 신장 및 생식기 발생에 중요한 역할

    • WAGR 증후군: Wilms tumor, Aniridia(무홍채증), Genitourinary anomalies(비뇨생식기 기형), Retardation(정신 지체)을 특징으로 하는 증후군으로, WT1 유전자의 결실과 관련

    • 데니스-드라쉬 증후군 (Denys-Drash syndrome): 윌름스 종양, 남성 가성반음양, 신증후군을 특징으로 하며, WT1 유전자의 점 돌연변이(point mutation)와 관련

    • 베크위트-비데만 증후군 (Beckwith-Wiedemann syndrome): 과성장, 거설증, 반신 비대, 내장 비대 등을 특징으로 하는 증후군이다. 11번 염색체 단완(11p15)의 WT2 유전자좌 이상과 관련

  • 임상양상

    • 통증이 없는 복부 종괴(painless abdominal mass) m/c

    • 복통, 혈뇨, 고혈압 (종양 renin 분비 또는 신동맥 압박), 발열, 식욕부진, 체중감소, 구토 등

    • 드물게 종양이 하대정맥, 신정맥 침범, 혈전 형성

  • 진단

    • 복부초음파 (고형 종양 vs 낭성 종괴 감별, 신장 기원 확인, 반대측 신장 및 혈관침범 평가)

    • 복부 CT/MRI: 종양 범위, 주변 장기침범, 림프절전이, 반대측 신장 및 신혈관구조 평가

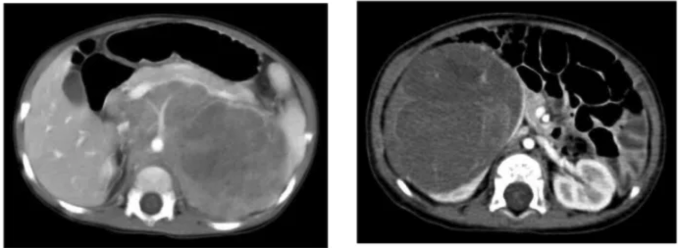
      좌: wilm’s tumor in left kidney, enhancing renal tissue의 displacement (화살표)

      abdominal vessel을 encase하지 않고 midline crossing을 보이지 않음.

      우: bilateral wilms tumor

    • 흉부 xray/CT: 폐전이 평가 (첫 진단시 10-15% 환자에서 폐전이 발견)

    • FDG PET/CT: 전이 평가

    • 수술 전 생검은 rupture 및 seeding 위험이 높아 시행하지 않음

  • 병기: Surgical staging 이 원칙

    • Stage I: 종양이 신장에 국한, 피막에 손상이 없으며 완전히 제거된 경우

    • Stage II: 종양이 신장의 막을 넘어 신장 주위 연부조직까지 퍼져 있으나 수술로 완전히 적출된 상태

    • Stage III:

      • 조직이 신장 밖으로 나가 있어 종양이 완전히 제거되지 않음, 종양의 전이는 복강 내에 국한

      • 수술전/수술 중 tumor spillage

      • 주위 림프절 전이

      • 복막의 tumor implant

      • IVC 등으로의 tumor thrombus extension

    • Stage IV: 혈행성 전이 (폐, 간, 뼈, 뇌)를 보이는 경우, 또는 복강/골반강 외 림프절 전이

    • Stage V: 진단 시 양측 신장에 모두 종양이 존재 (bilateral wilm’s tumor)

  • 병리소견

    • 예후 양호 조직소견: 역형성이 없는 경우. Epithelial, blastemal, stratal component 의 triphasic 소견을 보임

    • 예후 불량 조직소견: anaplasia를 보임 (큰 핵, chromatin 증가, mitosis 보임)

  • 치료

    • 수술: 병변이 있는 신장의 근치적 신적출술 (신장전체, 주변 지방, 요관, 부신 함께 제거) & 복강 림프절 생검. 종양을 터뜨리지 않는 것이 중요

    • 수술 후 보조치료

      • stage I/II & 예후 양호 조직형: 항암치료 (Vincristine + actinomycin-D)

      • stage III/IV or 예후 불량 조직형: 항암치료 (Vincristine + actinomycin-D + doxorubicin) & 모든 병변부위의 방사선치료 병행

    • stage V: 수술 전 항암화학치료 → 최대한 신기능 보전하는 방향으로 치료


[1] 홍창의 12e, pg. 994-997

[2] Nelson pediatrics, 22e. pg. 3130-3135

신경모세포종 vs 윌름 종양

  • Neuroblastoma: midline crossing, major vessel encasement, calcification 동반

  • nephroblastoma: midline 침범 x, vessel encasement x (밀어냄)

연습문제 9문제

0/9 완료

2개의 글


by

삼파장

·

2026년 4월 9일

궁금합니다


by

뚱이

·

2025년 11월 3일

사진이 중간에 안 보입니다~

사진이 오류가 났습니다.


글 작성

** 제목만 보더라도 어떤 내용인지 알 수 있도록 완성된 문장으로 작성해주세요.
예시) 초음파 (X) → 초음파 사진에서 PDA 소견을 어떻게 알 수 있나요? (O)