학습하기

커뮤니티

구입하기

소아과 각론 (new) > 소아 종양질환

연부조직종양

기본 개념

횡문근육종 (Rhabdomyosarcoma)

  • 정의: 원시 중간엽 세포(primitive mesenchymal cells)에서 기원하여 골격근으로 분화하는 특징을 보이는 악성 연부조직 종양

  • 역학 및 특징

    • 소아에서 가장 흔한 연부조직 육종으로, 전체 소아암의 약 3%를 차지

    • 신체 어느 부위에서나 발생 가능하지만, 주로 두경부, 비뇨생식기계, 사지에서 호발

    • 혈액, 림프절 전이 가능 → 폐, 뼈, 골수, 림프절, 중추신경계(뇌막 주변) 등 전이

  • 연관 유전 증후군

    • 리-프라우메니 증후군 (Li-Fraumeni syndrome): TP53 유전자 변이

    • 신경섬유종증 1형 (Neurofibromatosis type 1): NF1 유전자 변이

    • 베크위트-비데만 증후군 (Beckwith-Wiedemann syndrome)

    • 코스텔로 증후군 (Costello syndrome)

    • 누난 증후군 (Noonan syndrome)

  • 임상양상

    • 빠르게 커지는 종괴 (통증 동반 하기도 하고 안하기도함)

    • 종양 발생위치에 따른 증상

      • 코인후부: 코울혈, 구강호흡, 코피, 연하장애

      • 두개골: 뇌신경마비,시력저하, 뇌압상승증상

      • 얼굴, 뺨, 경부: 국소 팽만, 개구장애, 신경증상, 안구돌출/안검하수, 기침

      • 중이: 통증, 청력저하, 만성 이루, 귓속의 종괴

      • 몸통, 사지: 외상 후 발견되는 종괴가 지속되거나 커짐

      • 비뇨생식기:혈뇨, 하부 비뇨기 폐쇄, 반복성 UTI, 폐쇄 증상

      • 전이 증상: 호흡곤란 (폐전이), 고칼슘혈증 (광범위 뼈전이)

  • 진단

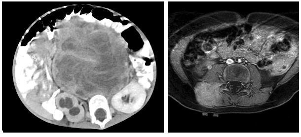
    • 영상검사: CT/MRI, 흉부CT (폐전이 확인), 뼈 스캔/PET CT


      좌: retroperitoneal rhabdomyosarcoma
      우: paraspinal rhabdomyosarcoma

    • 조직생검 (절개생검 또는 바늘생검)

      • small round blue cell tumor

      • 면역조직화학검사: 횡문근 항원 (desmin, muscle specific actin, myogenin) → 확진

  • 치료

    • 다학제적 접근 필요

    • 항암화학요법 → 외과적 절제 → 보조항암요법/방사선치료

      • regimen: Vincristine, Actinomycin-D, Cyclophosphamide
        (고위험군에서는 Ifosfamide, etoposide, doxorubicin 등 추가)


[1] 홍창의 12e, pg. 997-1000

[2] Nelson’s pediatrics, 22e. pg. 3136-3138

연습문제 7문제

0/7 완료

1개의 글


by

먼산언저리

·

2025년 11월 15일

영상 검사 사진이 안보입니다

중간 사진이 안보입니다


글 작성

** 제목만 보더라도 어떤 내용인지 알 수 있도록 완성된 문장으로 작성해주세요.
예시) 초음파 (X) → 초음파 사진에서 PDA 소견을 어떻게 알 수 있나요? (O)