청색증 선천 심질환
팔로사징 (Tetralogy of Fallot, TOF)
정의 및 특징
가장 흔한 청색증형 선천 심질환으로, 전체 선천 심질환의 5-7%를 차지함.
4가지 해부학적 이상을 특징으로 함:
① 심실중격결손(VSD)
② 폐동맥 협착(Pulmonary Stenosis / RVOT)
③ 대동맥 우위(Overriding Aorta)
④ 우심실 비대(RV Hypertrophy)
임상양상
폐동맥 협착 정도에 따라 청색증의 발현 시기와 정도가 결정
웅크림(Squatting): 운동 시 호흡곤란을 완화하기 위해 무릎을 가슴에 붙이는 자세를 취함
심잡음
흉골 좌연 상부에서 수축기 구출성 심잡음 (PS mm), VSD mm는 들리지 않음
single S2
협착 정도가 심할수록 심잡음이 작아짐 (hypoxic spell에서는 아예 소실)
Hypoxic spell (tet spell): 수유중/변을 보는 중/잠을 깬 후 등의 상황에서 심한 청색증, 과호흡, 보챔, 의식변화 등을 보이는 응급 상황
진단
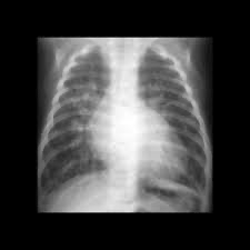
CXR: 장화 모양 심장(Boot-shaped heart)
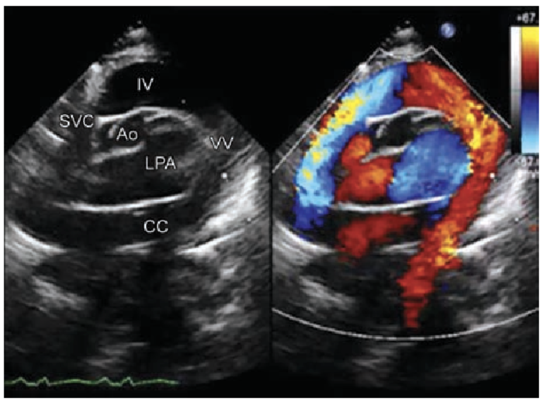
심초음파: 4가지 해부학적 이상을 모두 확인하여 확진

치료
Hypoxic spell의 치료: knee chest position, morphine, O2, ketamine, crystalloid, bicarbonate, phenylephedrine, beta-blocker
hypoxic spell 의 예방: Betablocker (수술 전까지의 예방요법)
수술적 치료: 고식적 수술 또는 완전 교정술 시행
합병증
뇌농양, 뇌혈전증, 감염성 심내막염 등
완전 대혈관 전위 (Complete Transposition of the Great Arteries, d-TGA)

정의 및 특징
대동맥이 우심실에서, 폐동맥이 좌심실에서 기시하는 선천 심질환
체순환과 폐순환이 분리되어 있어, 두 순환 간의 교통(ASD, VSD, PDA 등)이 없으면 생존이 불가능함
청색증형 심질환 중 TOF 다음으로 흔함 (약 5%)
임상양상
출생 직후부터 발생하는 심한 청색증 (산소투여로 호전되지 않음)
진단
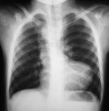
CXR: 심장의 Egg on side 소견
심초음파: 대혈관의 비정상적 연결을 확인하여 확진

치료
응급 처치
프로스타글란딘 E1 (PGE1): 동맥관을 열어 두 순환 간의 혈류 혼합을 유지함
풍선 심방 중격 절개술 (Balloon atrial septostomy, Rashkind 시술): 심방 수준에서의 혈류 혼합을 증가시킴
수술적 치료
동맥 치환술 (Arterial switch operation, Jatene 수술): 현재 표준 치료법, 대동맥과 폐동맥의 위치를 바꾸고 관상동맥을 재이식함
수정대혈관전위 (Corrected transposition of great arteries, L-TGA)
정의: 심방-심실 연결이 disconcordant하고, 심실-대혈관 연결도 disconcordant한 관꼐를 가지는 심기형
(우심방 → 좌심실 → 폐동맥, 좌심방→우심실→대동맥)
특징
복잡한 해부학적 변화에도 불구하고 체정맥혈은 폐순환과 연결돼고, 폐정맥혈은 체순환과 연결되어 생리적으로 수정되어있다고 표현
VSD, PS가 자주 동반
엡스타인 기형, 삼첨판 역류 동반 흔함
WPW syndrome 이나 방실차단 자주 발생
치료 및 예후
동반되는 기형의 종류와 정도에 따라 매우 다양 (성인때까지 무증상일 수도 있고, VSD/TR 증상이 심해서 이른 시기에 진단될 수 있음)
총폐정맥 환류 이상 (Total Anomalous Pulmonary Venous Return, TAPVR)
정의: 모든 폐정맥이 좌심방으로 연결되지 않고, 체정맥 순환이나 우심방으로 혼합된 후, ASD나 PFO를 통해 좌심방으로 유입되는 기형
분류: 연결 부위에 따라 4가지 형태로 분류
I형 (심상부형, Supracardiac): m/c, 수직 정맥을 통해 상대정맥으로 연결됨
II형 (심장형, Cardiac): 관상정맥동(Coronary sinus)으로 연결됨
III형 (심하부형, Infracardiac): 횡격막을 지나 간정맥이나 하대정맥으로 연결됨
IV형 (혼합형, Mixed): 두 가지 이상의 형태로 연결됨
임상양상: 폐정맥환류의 협착 유무와 ASD/PFO 크기에 따라 달라짐
폐정맥환류의 협착이 있는 경우 (심하부형 호발): 출생직후부터 심한 청색증, 빈호흡, 기계환기로도 호전되지 않음
협착이 없고 ASD가 큰 경우 심한 증상이 나타나지 않음
감별진단: PPHN, RDS, hypoplastic Left heart syndrome
검사 소견
CXR: 연장아의 심상부형은 snowman appearance를 보임
심전도: RAE, RVH, RAD
심초음파: 우심방/우심실의 확장, 비정상적 폐정맥 연결 확인하여 진단
심도자술: 양심방, 양심실, 대동맥의 산소포화도가 거의 같음
치료
신생아기/영아기에 외과적 교정 필요
협착이 있을 경우 진단 즉시 신속한 수술
수술 전까지 기계환기, 강심제, 이뇨제 투여, 대사산증 교정
총동맥 간증 (Truncus arteriosus)
정의 및 특징
대혈관이 대동맥과 폐동맥으로 분리되지 않고 하나의 동맥간을 이루면서 심장에서 나와 전신순환, 폐순환, 관상동맥 순환을 담당
총동맥간은 심실 중격 결손위에 걸쳐 놓이며 양심실로부터 혈액을 공급 받음
치료
심부전 치료 (강심제, 이뇨제)
생후 4-8주 이내 완전 교정 수술
좌심실 형성 부전 (Hypoplastic left heart syndrome, HLHS)
정의: 좌측심장구조의 다양한 형성 저하의 구조를 보이는 선천 심기형
특징
AV 폐쇄형과 MS 폐쇄형으로 분류
좌심실은 심하지 않은 형성 부전 형태이거나, 매우 작고 기능을 못하는 형태
출생 후 우심실이 폐순환과 동맥관을 통한 체순환을 모두 담당, 폐정맥 혈류는 ASD나 난원공을 통해 우심방에서 체정맥 혈류와 섞임
임상양상
출생 48시간 내에는 증상이 명확하지 않음 → 이후 청색증, 회색빛 피부, 말초맥박감소, 쇼크
진단: 심초음파
치료 및 예후
수술 전 치료: 동맥관 유지 (PGE1투여), 대사산증 및 저혈당 교정, 풍선 심방중격절개술
수술적 치료: 3단계 폰탄 수술
Norwood 수술: 신생아기에 주 폐동맥 원위부 절단 및 BT shunt 만들어줌
생후 2-6개월 경 BCPS shunt 수술 (bidirectional cavopulmonary shunt)
2-3세경 Fontan 수술
치료하지 않을 경우 생후 1-2개월 내로 사망, 중추신경계 및 기타 기형에 대한 평가 필요
엡스타인 기형 (Ebstein anomaly)
정의: 삼첨판막이 정상보다 우심실 아래쪽에 부착되어있는 심기형
(RV의 RA 화, functional TR발생)
증상: 삼첨판의 전위 정도, TR의 정도, LVOT 의 정도에 따라 다양
검사 소견
CXR: 매우 큰 심장 (box shaped heart)
EKG: RAE, PR prolongation, 1’ AV block, RBBB , WPW syndrome, AFL/AF
심음: TR murmur (흡기시 심잡음 크기 증가)
심초음파: 진단
치료: 증상의 정도, 우심실 크기 등에 따라 내과적/수술적 치료 시행
[1] 홍창의 12e, pg 828-847
0개의 글
** 제목만 보더라도 어떤 내용인지 알 수 있도록 완성된 문장으로 작성해주세요.
예시) 초음파 (X) → 초음파 사진에서 PDA 소견을 어떻게 알 수 있나요? (O)