비청색증 선천 심질환
심실 중격 결손 (Ventricular Septal Defect, VSD)
종류
막주위형 (Perimembranous VSD): 가장 흔한 형태로, 약 80%를 차지함. 결손부위가 대동맥 판막 바로 아래에 위치
근육형 (Muscular VSD): 두 번째로 흔하며, 근육성 중격 어느 부위에나 발생 가능함. 자연 폐쇄가 잘 됨.
동맥하형 (Subarterial VSD): 약 5% (동양에서는 25-30%)를 차지하며, 대동맥 판막 탈출 및 대동맥판 역류를 동반할 수 있음
임상양상: 결손크기 및 폐혈관 저항에 따라 달라짐
Small defect: Asymptomatic
범수축기 잡음
정상 Xray
정상 EKG
Moderate Defect: 생후 2-3개월 경부터 가벼운 심부전 증상
좌측 흉골연에서 떨림을 동반한 범수축기 잡음, P2 정상 또는 약간 항진
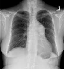
Xray : mild cardiomegaly, 폐혈관 음영 증가
EKG : LVH
Large Defect : 생후 3-4주경부터 심부전 증상 체중이 잘 늘지 않음 (Failure to thrive), 호흡곤란, 수유곤란, 잦은 하기도 감염, 과도한 발한 등의 울혈 심부전 증상, 전흉벽 움직임 증가
범수축기 심잡음, P2 항진 (Pulmonary HTN), 심첨부 이완기 잡음 (relative MS, Qp/Qs > 2.0임을 시사)
EKG: BVH (진행시 RVH)
**적절한 시기에 치료받지 않을 경우 Eisenmenger 증후군으로 진행 (1세 이전에 수술할 경우 진행이 드묾)
진단: 심초음파
치료
small defect: 심부전 치료, 대개 2년 이내 자연폐쇄
moderate-large defect: 심부전 치료 및 수술
수술 적응증: 치료에 호전없는 심부전 (연령 상관없이 수술), 폐동맥 고혈압을 동반한 6-12개월의 영아, 2세 이상 환아에서 Qp/Qs > 1.5~2.0인 경우
sub arterial type: 자연폐쇄되지 않으며 크기에 상관없이 수술 필요, AR 발생한 경우 즉시 수술
심방 중격 결손 (Atrial Septal Defect, ASD)
fossa ovalis 부위의 ostium secondum defect가 가장 흔함
임상양상
소아기 대부분 무증상
피로, 호흡곤란, 심계항진, atrial arrhythmia
젊은 환자의 paradoxical embolism 발생 가능
진단
청진: 제2심음의 넓고 고정된 분열 (wide & fixed splitting), 흉골 좌상연 수축기 박출성 잡음 (relative PS), 흉골좌하연 이완기 심잡음 (relative TS)
CXR: 우심방, 우심실 확장. 폐혈관 음영 증가 소견
EKG: incomplete RBBB (rsR', RSR’ 패턴), RAD, (Afib, AFL)
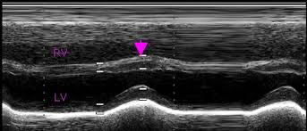
심초음파: 우심방/우심실 커짐, 우심실의 paradoxical motion (m-mode 에서 수축기에 중격이 전방으로 움직이는 움직임), 도플러로 단락 혈류 확인

치료
무증상: 경과관찰
폐쇄 적응증 (1세 이후, 학교 입학전의 연령에서 폐쇄 시행)
증상이 있는 모든 환자
증상이 없더라도 Qp/Qs ≥ 2.0 인 경우
우심실 확장이 있는 경우
방실중격결손 (AVSD, endocardial cushion defect)
정의: 심방과 심실 중격, 그리고 방실 판막(삼첨판, 승모판)의 형성에 장애를 보이는 질환군. 다운증후군 및 염색체 이상과 동반 흔함
임상양상
영아기 초부터 심한 심부전 증세
좌측 흉골연 하부, 심첨부의 범수축기 심잡음
좌측 흉골연 상부 박출성 수축기 심잡음
좌측 흉골연 하부와 심첨부의 이완 중기 심잡음
wide fixed splitting of S2, P2항진
검사 소견
심전도: LAD, RVH (or BVH), rsR’ pattern
심초음파, 좌심실조영: goose-neck 모양의 LVOT
치료: 2-6개월 경 수술
동맥관 개존 (Patent Ductus Arteriosus, PDA)
정의: 출생 후 정상적으로 닫혀야 할 동맥관이 계속 열려있는 상태
임상양상
작은 PDA는 무증상일 수 있으나, 큰 경우 심부전, 성장 부진 등을 유발
bounding pulse, pulse pressure widening
좌측 쇄골하 부위의 기계양 잡음(continuous, machinery murmur), relative MS
EKG: LAE, LVH (폐동맥고혈압 동반시 BVH)
진단
심초음파: 동맥관과 단락 혈류 확인
치료 (심잡음이 들리는 모든 동맥과는 크기나 증상과 무관하게 치료)
미숙아
대부분 자연폐쇄되며, 이뇨제/수분제한 등으로 호전될 수 있음
폐쇄 지연되거나 증상 호전 없으면 indomethacin 또는 ibuprofen투여
**indomethacin 금기: 혈소판감소 (<50000), 출혈경향, 핍뇨, NEC, 장천공, Cr > 1.8)
만삭아/소아: 심도자폐쇄술
대동맥폐동맥 개창 (AP window)
정의: 상행 대동맥과 주 폐동맥 사이의 결손부위로 혈류가 통함
임상양상
영아기의 심부전 증상 또는 폐동맥 고혈압
pulse pressure widening, 박출성 수축기 잡음
CXR: 심비대, 폐동맥 커짐, 폐혈관 음영 증가
심초음파: LAE, LVH, 결손을 통한 단락 확인
치료: 영아기에 수술적 교정
대동맥 협착 (Aortic Stenosis, AS)
종류
판막성 (Valvular AS): 가장 흔한 형태로, 대동맥 판막 자체의 협착임. 이엽성 대동맥판막(Bicuspid aortic valve)이 주된 원인
판막하성 (Subvalvular AS): 대동맥 판막 아래 좌심실 유출로가 좁아진 경우
판막상성 (Supravalvular AS): 대동맥 판막 위쪽의 상행 대동맥이 좁아진 경우로, 윌리엄스 증후군(Williams syndrome)과 관련이 깊음
임상 양상
증상: 흉통, 실신, 호흡곤란 (3 cardinal signs) 및 심부전 증상
청진
우측 상부 흉골연 수축기 박출성 잡음(systolic ejection murmur), 경동맥으로 방사됨
EKG: LVH, LV strain
심초음파: 이엽성 판막 확인, 두꺼워진 대동맥 판막 관찰, 상행 대동맥 확장, AVmax 확인
치료
풍선 판막 성형술
역류 동반시 수술적 치료 (open commisurotomy, 인공판막삽입술)
폐동맥 협착 (Pulmonary Stenosis, PS)
정의: 우심실에서 폐동맥으로 나가는 혈류가 방해받는 질환으로, 선천성 심장병의 7-10%를 차지
종류: 판막형(Valvular, 가장 흔함), 판막하부형(Infundibular), 판막상부형(Supravalvular)
관련 증후군
누난 증후군(Noonan syndrome)에서 판막 이형성(valve dysplasia)을 동반한 폐동맥 협착이 흔함
판막하부형의 경우 단독으로 발생하는 경우는 드물며 TOF 로 흔히 발생
임상양상
경증~중등도: 대부분 무증상
협착이 심한 경우: 심부전, 흉통, 실신
critical PS: 중증 우심실 심부전, PFO 를 통한 R to L shunt (청색증 발생)
진단
청진: 좌측 상부 흉골연 (2nd ICS)에서 수축기 박출성 잡음 (ejection click)
흉부 X선: 우심실 비대, 폐동맥 돌출(post-stenotic dilatation) 소견이 특징적
EKG: RVH
초음파: 협착부위 확인, 두꺼워진 판막, RVH 등
치료
중등도 이상의 협착(압력 차 > 50mmHg)시 풍선 판막 성형술(balloon valvuloplasty)
풍선 판막 성형술이 실패하거나, 시술 직후 누두부 협착이 심하게 악화되면 수술 필요
협착이 심한 임계 폐동맥 협착 신생아: PGE1 투여 + 응급 풍선판막성형술
대동맥 축착 (Coarctation of the Aorta, CoA)
정의: 대동맥의 국소적인 협착으로, 주로 동맥관이 연결되는 대동맥 협부(isthmus)에 발생함.
종류
단순 대동맥 축착 (simple CoA): 다른 동반 기형이 없는 대동맥 축착 (bicuspid AV인 경우 많음)
복잡 대동맥 축착 (complex CoA): LVOT의 협착, VSD, 양대혈관 우심실기시, 대혈관전위 등 다른 심기형과 동반되는 형태
관련 기형: 터너 증후군의 30~35%에서 대동맥 축착 동반
[단순 대동맥 축착]
임상 양상
경미한 경우: 대부분 소아기 무증상, 나이가 많아지면서 운동시 호흡곤란, 하지 파행, 두통 등의 고혈압 증상, 심부전 증상 등 발생
나이가 많아지면 거의 모든 환자에게서 상지 고혈압 발생 (상하지 혈압 차이)
출생 직후 신생아에서 동맥관이 폐쇄되면 1-2주 경 심부전, 폐동맥고혈압, 대사 산증, 급성 신부전 등 발생 가능
진단
청진: 견갑골 사이 continuous systolic-diastolic murmur (collateral circulation 의 발달로 인해 발생하는 심잡음)
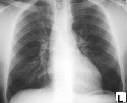
CXR: '3'자 모양의 대동맥 음영(figure of 3 sign), 늑골 하연 침식(inferior rib notching)
심전도: 신생아기 RVH → 수개월 후 LVH
심초음파: 축착 부위 확인, 혈류 속도 확인
치료: 진단 즉시 카테터 풍선확장술/stent 삽입 또는 수술 (대동맥 절제 및 단축 문합술)
[복잡 대동맥 축착]
특징
L to R shunt 를 일으키는 여러 기형이 동반 → 폐동맥 고혈압, 심부전 심함
대동맥 축착이 매우 심한 경우 하반 신 혈류는 동맥관에 의존 → 동맥관이 막히면 신부전, 위장관 허혈 등 합병증 발생
임상양상
심한 심부전
축착이 심한 경우: 생후 1-2주 경(동맥관이 폐쇄되는 시기) 심부전, 심박출량 저하, 대사산증, 급성 신부전으로 인한 핍뇨
진단
청진: P2 항진 (폐동맥 고혈압)
상하지 혈압 차이 (하지 맥박 소실)
CXR: 심비대, 폐부종
심전도: RVH or BVH
치료
진단 즉시 pgE1 투여 (+강심제, 이뇨제, 인공흡기 등)로 상태 안정화
수술적 교정 필요 (complex CoA는 풍선확장술을 시행하지 않음)
대동맥 활 단절 (interrupted aortic arch)
정의: 대동맥이 대동맥활 또는 하행대동맥으로 이행하는 부위에서 완전히 끊어져 있는 기형
→ 단절된 대동맥의 아랫부분은 동맥관과 연결
분류
연관 증후군: DiGeorge syndrome과 연관
임상양상 (CoA와 혈역학적으로 비슷하나 더 심하고 일찍 나타남)
출생 후 동맥관이 막히면서 심부전, 대사산증, 급성 신부전, 쇼크 등 급격한 증상 발생
즉시 치료하지 않으면 사망
분리 청색증: 발가락의 산소포화도가 손가락의 산소포화도보다 낮음
치료
진단 즉시 내과적 치료로 상태 안정→ 수술적 교정
아이젠멩거 증후군 (Eisenmenger Syndrome)
정의: 심한 L to R shunt 를 가진 심질환을 적절한 시기에 교정하지 않을 경우, 폐고혈압이 점차 진행하면서 pulmonary arteriole의 해부학적 변화 및 vascular remodeling이 발생하는 현상
원인 질환
VSD, endocardial cushion defect, PDA, AP window, TGA, truncus arteriosus
임상양상
Pulmonary hypertension이 진행하면서 L to R shunt가 점차 R to L shunt로 바뀜
이 과정에서 심부전 증세 및 심잡음이 일시적으로 호전되나, R to L shunt로 진행되면 청색증 및 심한 심부전 증상 발생
EKG에서는 LVH 소견은 사라지고 RVH가 나타남
청진 : Shunt에 의한 심잡음은 점차 사라지며 P2 항진 발생. TR, PR 로 인한 이완기 잡음 발생
치료 및 예후
결손 교정 수술 금기, 임신 금기
치료
Pulmonary artery dilator - bosentan, sildenafil, prostacycline → 소아에서의 경험이 적음
Heart - lung transplantation 혹은 Lung transplantation 이 유일한 definitive treatment
폐고혈압이 진행함에 따라 흉통, 객혈등이 발생, 20대 후반 뇌농양, 감염성 심내막염, 심부전 등의 합병증으로 사망
[1] 홍창의 12e, pg 812-825
0개의 글
** 제목만 보더라도 어떤 내용인지 알 수 있도록 완성된 문장으로 작성해주세요.
예시) 초음파 (X) → 초음파 사진에서 PDA 소견을 어떻게 알 수 있나요? (O)