학습하기

커뮤니티

구입하기

소아과 각론 (new) > 소아 소화기 질환 (간담도)

대사 간염, 미토콘드리아 간병증

기본 개념

윌슨병 (Wilson disease)

  • 정의: 선천성 구리 대사장애로 구리가 간, 뇌, 각막, 신장, 적혈구에 침착되는 병(상염색체 열성)

  • 임상양상 : 소아연령에서는 주로 간질환이 발생 (대개 5세이후 발병)

    • 간: 황달, 간비대, 부종이나 복수 등 → 간경화, 급성 전격 간염 등으로 진행

    • 신경계 : 기저핵 손상 → 구음 장애, 근경직, 진전, 걸음 장애 등. 15세 이후 발생

    • 정신계 : 우울, 불안, 성격변화 등

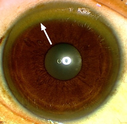
    • 눈 : Kayser-Fleischer ring (pathognomic sign)

    • 신장 : Fanconi syndrome

    • 용혈성 빈혈, 골다공증, 구루병, 골절

  • 진단 및 검사 소견

    • 혈중 ceruloplasmin 감소 (<20mg/dL)

    • 24시간 소변 copper 증가 (>100μg/24h)

    • 간생검 시 구리 증가 (>250μg/g)

    • ATP7B 유전자의 돌연변이

    • slit lamp 검사: KF ring 확인

  • 치료

    • 초기 1년: 약물치료 + 구리 함량이 적은 식이요법

      • chelating agent (구리와 결합하여 소변으로 배설): penicillamine, Trientine, tetrathiomolybdate

      • 구리흡수억제제: 아연 (chelating 치료로 구리를 체내에서 고갈시킨 후 유지치료로 시행)

    • 간이식

라이 증후군 (Reye syndrome)

  • 병인: 유전적 감수성 + 인플루엔자/수두 바이러스 감염 + 살리실레이트/진토제 사용

  • 증상

    • 바이러스 감염 5-6일 후 구토와 뇌병증 발생

    • 간기능 부전 발생

    • 뇌압상승 및 탈출로 인해 경련, 혼수 사망으로 급속히 진행

  • 진단

    • 간기능부전: 응고장애, AST/ALT 상승, 암모니아 상승

    • 황달이 없고 빌리루빈 정상

  • 치료: 보존적 치료

    • 조기에 의심하여 뇌압을 낮추는 치료 시행

    • 저혈당 교정

    • 응고장애 교정 (vit K, FFP)

    • 암모니아 저하 치료 (neomycin, lactulose)

    • 간이식은 권장되지 않음



[1] 홍창의 12e, pg. 649-654

연습문제 11문제

11/11 완료

0개의 글


글 작성

** 제목만 보더라도 어떤 내용인지 알 수 있도록 완성된 문장으로 작성해주세요.
예시) 초음파 (X) → 초음파 사진에서 PDA 소견을 어떻게 알 수 있나요? (O)