학습하기

커뮤니티

구입하기

소아과 각론 (new) > 소아 소화기 질환 (간담도)

담도 및 담낭질환

기본 개념

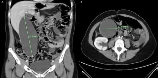
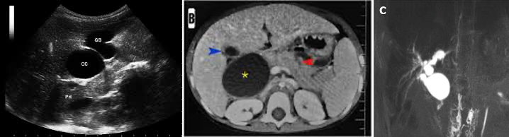
총담관낭

  • 정의: 담관이 선천적으로 낭성으로 확장되는 질환

  • 임상양상

    • 여아에서 3배 더 호발하며, 75% 이상이 소아기에 발병

    • TRIAD: 황달, RUQ pain, RUQ mass

    • 담석이 잘 형성되어 담관염 유발 가능

    • mass effect로 인해 intrahepatic bile duct obstruction 발생 가능

  • 분류 (Todani Classification)

    • Type I: 총담관의 낭성 또는 방추형 확장 (m/c)

    • Type II: 총담관의 게실(diverticulum) 형태.

    • Type III: 담관류(choledochocele), 총담관이 십이지장 내로 돌출.

    • Type IVa: 간내 및 간외 담관의 다발성 확장.

    • Type IVb: 간외 담관에만 국한된 다발성 확장.

    • Type V: 간내 담관에만 낭성 확장이 있는 경우 (Caroli병)

  • 진단: 영상학적 진단 (복부 초음파, CT, MRCP/ERCP/PTC)


  • 치료: cyst 절제 + hepaticojejunostomy

다낭 신질환 (polycystic kidney disease)


좌: ADPKD. multiple large cyst 및 enlarged kidney

우: ARPKD. Enlarged kidney with multiple small hyperechoic foci (small cysts)

  • 상염색체 우성 다낭신병 (ADPKD)

    • 원인: PKD1(85%, 16번 염색체) 또는 PKD2(15%, 4번 염색체) 유전자 변이로 발생함.

    • 증상

      • 고혈압(16세 이상 환자의 50%), 혈뇨, flank pain, 복부 덩이

      • 간낭종, 뇌동맥류 등의 합병증 동반 흔함

      • 신기능이 점점 저하되면서 중년기에 ESRD로 진행

    • 치료

      • 혈압조절: ACEi/ARB

      • tolvaptan

    • 합병증 및 처치

      • cyst infection: TMP-SMX, quinolone, chloramphenicol

      • 신결석: hydration, 통증 조절

      • cyst rupture로 인한 출혈: 보존적 치료

      • 뇌동맥류에 대한 예방적 coil embolization


  • 상염색체 열성 다낭신병 (ARPKD)

    • 원인: 6번 염색체에 위치한 ARPKD 유전자 결함으로 발생함.

    • 임상양상

      • 신장과 간에 다수의 낭종이 형성되어 신기능 저하와 간경변을 유발

      • 간문맥 주위 섬유화, 세담관의 증식, 담관의 형성 이상 동반

      • 주로 태아, 영아, 소아기에 발병하며, 생후 1년 내 사망률이 높음

급성 담낭 수종 (acute hydrops)

  • 정의: 결석, 세균감염, 담도의 선천 기형 없이 일어나는 급성 비염증 담낭의 확장

  • 임상양상

    • 주로 영아기와 소아기에 발생

    • 우상복부 통증, 종괴, 구토, 발열, 황달 등

  • 진단: 복부 초음파, CT


    ** 정상 GB는 길이 7-10cm, 직경 3-4cm이며 이를 초과하는 수치에서 진단한다.

  • 치료: 대증요법 및 경과관찰



[1] 홍창의 12e, pg. 663-666

연습문제 10문제

10/10 완료

0개의 글


글 작성

** 제목만 보더라도 어떤 내용인지 알 수 있도록 완성된 문장으로 작성해주세요.
예시) 초음파 (X) → 초음파 사진에서 PDA 소견을 어떻게 알 수 있나요? (O)