학습하기

커뮤니티

구입하기

소아과 총론 (new) > 선천성 기형

선천 횡격막 탈장

기본 개념

선천 횡격막 탈장 (Congenital diaphragmatic hernia)

  • 종류

    • Bochdalek hernia: left posterolateral hernia (m/c)

    • morgani hernia: parasternal hernia

  • 임상 양상

    • 청색증, 빈호흡, 흉골함몰 등이 생후 수시간 내 발생

    • scaphoid abdomen

    • 이환된 쪽 호흡음 소실

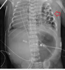
  • 진단: 흉부 X선 검사

    Chest X-ray of the congenital diaphragmatic hernia (arrow ...
  • 치료

    • 초기 처치: 비위관 삽입, 호흡곤란 시 기관삽관 및 기계호흡 (마스크 호흡은 절대 금기)

    • 근치적 치료: 수술적 교정


[1] 홍창의 12e, pg. 675-

연습문제 7문제

0/7 완료

0개의 글


글 작성

** 제목만 보더라도 어떤 내용인지 알 수 있도록 완성된 문장으로 작성해주세요.
예시) 초음파 (X) → 초음파 사진에서 PDA 소견을 어떻게 알 수 있나요? (O)