복벽 및 제대 질환
Omphalocele, gastroschisis

[제대 탈장 (Omphalocele) A]
정의: 발생과정 도중 복벽이 융합하는 과정에서 오류가 발생하여 피부층과 복벽층이 없고 장을 덮고 있는 viscera 만 존재한 상태로 배꼽부위에서 탈장이 발생하는 질환
특징: 염색체 이상(18번, 13번 삼염색체 등) 및 골격계, 위장관계, 신경계, 비뇨기계, 심폐 기형 동반율이 높아 철저한 조사가 필요, 장기 예후 불량
치료
초기 처치 (initial stabilization)
식염수로 적신 멸균 거즈로 덮고 그 위 필름/랩 등으로 감싸서 탈수 및 열손실 예방
막을 두껍게 하기 위해 1% silver sulfadiazine 도포
예방적 항생제, 위장관 감압 등
막이 파열되지 않도록 보호하며 단계적 또는 일차적 수술 봉합을 시행
[배벽갈림증 (Gastroschisis) B]
정의: 복벽의 결손으로 피부, 복벽층, 복막이 모두 없고 내장이 탈출되는 질환. (복벽 결손은 주로 배꼽의 우측에서 발생하며 umbilical cord involvement는 없음)
특징: Mesenteric rotation이 완전히 일어나지 않은 경우가 흔하여 mesenteric volvulus의 위험이 높음. 동반 기형의 빈도는 적어 장기 예후 양호
치료
초기 처치 (initial stabilization)
식염수로 적신 멸균 거즈로 덮고 그 위 필름/랩 등으로 감싸서 탈수 및 열손실 예방
장이 꼬이거나 압박되지 않게 주의
예방적 항생제, 위장관 감압 등
단계적 또는 일차적 수술 봉합을 시행
배꼽 육아종 vs 탯줄 폴립
배꼽 육아종
정의: 탯줄의 치유과정 중 기저부에 경한 균 감염이 발생하면서 장액/점액성의 분비물, 작은 크기의 분홍색의 말랑한 육아조직이 돌출
발생 시기: 제대가 떨어져나간 후 수일-수주 이내
처치: 알콜 소독 → 효과없는 경우 10% 질산은 소작 반복치료
탯줄 폴립 (umbilical polyp)
정의: omphalomeseteric duct 또는 urachus의 잔재로서 조직이 딱딱하고 선홍색을 띠며 점액만 분비 (round, firm, bright red mass). 매우 드문 질환
(patent urachus 또는 patent omphalomesenteric duct 인 경우엔 소변/장내용물이 분비될 수 있으며, 이럴 경우 감별을 위한 복부 초음파나 probing 등을 시행)
발생 시기: 출생 직후부터 존재
처치: 외과적 절제술 (질산은 치료 반응 없음)
요막관 잔존 질환 (urachal anomalies)
태아기에는 방광과 제대를 연결하는 urachus가 존재하는데, 출생 전후로 섬유화되면서 median umbilical ligament로 퇴화됨. 이때 폐쇄가 불환전하면 다음 네가지 형태의 이상이 발생할 수 있음
patent urachus (열린 요막관)
요막관 전체가 개방되어 방광과 제대가 직접 연결
임상 특징: 제대에서 소변이 지속적으로 나옴, 감염 가능성
치료: 수술로 요막관 완전 절제
urachal diverticulum (방광측 요막관 개존)
요막관의 방광 쪽 끝부분만 개존, 주머니처럼 돌출.
임상 특징: 대부분 무증상, 감염 시 배뇨통·발열, 방광내시경·방광조영술에서 발견 가능
치료: 무증상 시 관찰 가능
Urachal Cyst
요막관의 중간 부분만 낭성으로 잔존, 양쪽 끝은 폐쇄.
임상 특징: 대개 무증상, 소아기/청소년기에 감염 시 복부 통증,발열, 배뇨통 등 발생하며 발견
치료: 감염 시 항생제, 절제술 고려
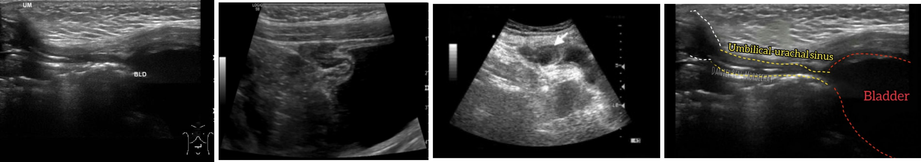
Urachal Sinus
요막관의 제대 쪽 끝부분만 개존, 맹관 형태.
임상 특징: 제대에서 점액·농성 분비물 분비, 감염 시 발적·통증
치료: 절제
배꼽창자간막관 잔존 질환
난황관 (omphalomesenteric duct, vitelline duct) 은 태아 발달 중 장과 yolk sac을 연결하는 구조물로 임신 7주경에 퇴화 및 소실됨. 퇴화가 불완전하면 다음과 같은 질환들이 발생
A. patent duct
난황관 전체가 남아 회장과 제대가 관으로 연결
임상양상: 제대에서 장 내용물(변, 점액) 분비, 반복 감염 가능
치료: 수술적 절제 + 장 연결부 복원
B. umbilical polyp
위 파트 참고
C. Meckel’s diverticulum
난황관의 장측 말단이 잔존하여 회장에서 주머니(diverticulum) 형태로 돌출
임상양상: ileum에서 발생, 장중첩증이나 폐색, 장출혈 발생 가능. 점막조직에는 위/췌장의 이소성 조직 동반 흔함
D. Duct cyst
난황관 중간 부위만 낭성으로 잔존, 양쪽 끝은 폐쇄
임상 양상: 대부분 무증상이나 감염 가능
E. fibrous cord
난황관이 완전히 소실되지 않고 섬유성 끈 형태로 회장과 제대를 연결
임상 양상: 소장 폐색, 장 꼬임 유발 가능
배꼽 탈장
정의: 배꼽륜(umbilical ring)이 불완전하게 닫혀 발생하며, 아기가 울거나 힘을 줄 때 장이 튀어나옴.
특징: 매우 흔하며, 감돈(incarceration)은 드묾.
치료: 크기 2cm 이하인 경우 대부분 생후 1-2년 내 자연 폐쇄되므로 경과 관찰
수술 적응증: 4-5세 이후에도 지속, 장폐쇄 의심 증상, 1-2세 이후 크기 커지는 경우
프룬벨리 증후군 (Prune-belly Syndrome)
3대 징후
① 복벽 근육의 심한 이완 또는 결손 (쭈글쭈글한 자두 배 모양)
② 양측성 잠복고환
③ 심한 요로계 기형 (거대방광, 요관 확장 등)
치료: 요로계 기형에 대한 교정 및 신기능 보존, 고환고정술 (6개월), 복벽성형술 등 다학제적 치료가 필요
단일 제대 동맥 (Single Umbilical Artery)
정의: 정상 탯줄(좌, 2동맥 1정맥)과 달리 1개의 제대 동맥 만 존재하는 경우(우).
특징: 신생아의 약 0.5-1%에서 발견되는 비교적 흔한 이상. 단독으로 나타나는 경우가 많으나, 약 20-30%에서 다른 구조적 기형(특히 신장, 심장)을 동반할 수 있어 관련 정밀 초음파 검사가 필요
[1] 홍창의 12e, pg. 362-371
0개의 글
** 제목만 보더라도 어떤 내용인지 알 수 있도록 완성된 문장으로 작성해주세요.
예시) 초음파 (X) → 초음파 사진에서 PDA 소견을 어떻게 알 수 있나요? (O)