외과적 질환
급성 충수염
임상양상
초기에 배꼽 주변의 모호한 통증에서 점차 RLQ로 국한, 식욕부진, 오심, 구토
McBurney's point tenderness : ASIS와 배꼽을 이은 선 상 lat. 1/3 지점의 압통
진단
복부 초음파 우선, 연장아에서는 CT 고려 가능
CT 소견: Appendiceal diameter > 7mm (진단적), 충수돌기 비후 및 주변 fat stranding, appendicolith, 충수돌기 내부의 fluid
초음파 소견: tubular wall thickening - Appendiceal diameter > 6mm (진단적), noncompressible (배를 눌렀을 때 충수돌기가 눌리지 않음), 도플러 혈류 증가
normal appendix의 초음파 소견
치료
합병증이 동반되지 않은 경우: 복강경 충수돌기절제술 (Appendectomy) 및 항생제
**감별진단
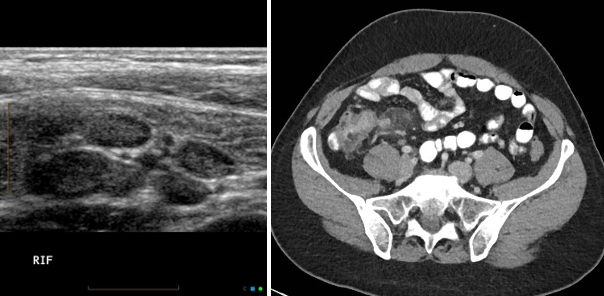
급성 장간막 림프절염 (acute mesenteric lymphadenitis)
정의: 바이러스나 세균감염에 의해 발생하는 장간막 림프절의 염증
증상: RLQ pain, Td, rTd → 임상증상만으로는 충수염과 감별이 어렵고, 동반될 수 있음
진단: 영상 검사상 5mm 이상의 단축 직경을 가진 림프절이 3개 이상 모여있는 경우 진단.
( + normal appendix 확인)
선천성 십이지장 폐쇄 (Congenital Duodenal Obstruction)
임상양상: 출생 첫날의 담즙성 구토 (80%에서 폐쇄부위는 팽대부보다 하부)
진단: 단순 복부 X선 사진에서 특징적인 Double bubble sign 확인
치료: 십이지장-십이지장 문합술
장회전 이상 및 중장염전 (Malrotation and Midgut Volvulus)

Intestinal malrotation: 태생기 중장(midgut)이 SMA을 축으로 하는 270° 반시계 회전 및 고정을 제대로 수행하지 못하며 발생
midgut volvulus: malrotation의 합병증으로 좁아진 장간막 기저부를 축으로 중장 전체가 회전해 꼬이는 응급 질환
임상 양상
신생아기에 간헐적인 담즙성 구토(bilious vomiting)를 보이는 아급성 폐쇄의 반복 발작
연장아: 간헐적/주기적 담즙 구토, 성장 부진(failure to thrive), 반복적인 심한 복부 통증, 흡수장애 및 설사 등이 나타날 수 있음
midgut volvulus: 교액성 장폐쇄로 인한 담즙 구토, 토혈, 복부팽만, 압통, 혈변, 쇼크 등 발생
진단 및 검사 소견
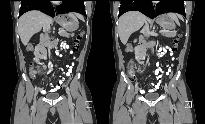
intestinal malrotation
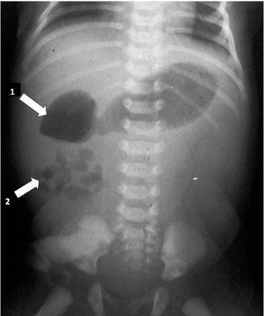
복부 X선: 위장과 십이지장에는 가스가 있고, 나머지 창자에는 가스가 없음
표준 진단: 상부위장관 조영술(UGI series)로 십이지장과 공장의 위치 확인
→ 십이지장, 공장 연결부가 중심선의 우측에 존재, 소장은 복강 우측에, 대장은 좌측에 존재
→ corkscrew appearance: 특징적 소견
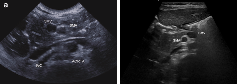
초음파: SMA/SMV 위치 역전
좌: 정상 소견 (V우측, A좌측)
우: malrotation 환아 (A우측, V좌측)
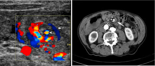
midgut volvulus
whirlpool sign (영상검사 상 sma 주변으로 장간막이 소용돌이 치는 모습)
치료
무증상 malrotation도 수술적 교정이 원칙: Ladd 술식 (ladd band를 절제하고, 염전된 장을 반시계 방향으로 정복 후 소장을 오른쪽 복강에, 대장은 왼쪽 복강에 배치)
midgut volvulus: 2시간 이내 초응급 수술이 필요
중장이 완전히 괴사한 경우: 우선 염전만 정복한 후 배를 닫고, 24시간 후 다시 개복수술 시행
메켈 게실
정의: omphalomesenteric duct의 잔존물이 회장 하부에 존재하는 기형
특징
전체 인구의 2-3%에서 발견
회맹판(ileocecal valve) 상방 40-50cm에 위치하는 경우가 많음
게실 내 이소성 위점막/췌장조직이 존재 → 위산분비로 인한 출혈
임상양상: 1-2세의 유아, 대량의 무통성 직장출혈
진단: 99mTc-pertechnetate scan (위와 메켈게실에 동시 uptake)

치료: 증상 동반시 segmental resection / diverticulectomy 시행
항문직장 기형 (Anorectal Malformation)
특징
발생 빈도: 출생아 4,000-5,000명당 1명.
VACTERL 증후군과 연관
→ 동반된 기형에 대한 평가도 필요, 고위형일수록 빈도 높음. 심장초음파, CT, MRI 등 시행
임상양상
출생 후 태변 배출 지연
신체검사에서 항문이 보이지 않는 경우 혹은 회음부 누공등을 확인하면 진단할 수 있으나, type을 확인하기 위해서 24시간 이상 충분히 샅부위를 관찰해야함
(회음부 태변, 소변이나 질에서 태변이 나오는지 확인)
분류 (Pena Classification)
저위 기형 (Pubococcygeal line 하방)
Cutaneous fistula, anovestibular fistula
회음부 누공, bucket handle deformity, epithelial pearls, 회음부 태변이 확인
중간위 기형 (pubococcygeal line 주변)
rectobulbar urethral fistula, rectovestibular, rectovaginal fistula
urethral fistual의 경우 요도에서 태변 배출 및 소변에서 편평상피세포확인
vaginal fistula의 경우 질에서 태변 배출
고위 기형 (pubococcygeal line 상방)
rectal atresia & [rectoprostatic urethral fistula, rectovaginal fistula]
urethral fistula의 경우 요도에서 태변 배출 및 소변에서 편평상피세포확인
vaginal fistula의 경우 질에서 태변 배출
치료
저위기형: single stage operation으로 cutback anoplasty(남아), jumpback anoplasty(여아)를 시행 (colostomy를 형성하지 않음)
중위기형 및 고위기형: 3 stage operation을 시행, 모든 수술은 만 1세 전에 마치는 것이 좋음
1. 우회성 Colostomy 형성
2. 3~6개월 후 Penna procedure (PSARP, 후방 시상 항문성형술) or Pull-through operation
3. 3개월 후 colostomy repair
[1] 홍창의 12e, pg. 622-628
1개의 글
** 제목만 보더라도 어떤 내용인지 알 수 있도록 완성된 문장으로 작성해주세요.
예시) 초음파 (X) → 초음파 사진에서 PDA 소견을 어떻게 알 수 있나요? (O)