학습하기

커뮤니티

구입하기

소아과 각론 (new) > 소아 호흡기 질환

비감염 질환

기본 개념

코피

  • 정의: 코에서 발생하는 출혈.

  • 주요 위치: 대부분의 경우 비중격의 앞쪽 부위에 위치한 Kiesselbach plexus (키셀바흐)부위의 혈관 파열로 인해 발생함.

    • 경동맥의 여러 분지로부터 나온 혈관이 모이는 지점으로, 비점막층이 특히 얇아 쉽게 상처를 입을 수 있음.

  • 원인

    • 코를 후비거나 이물질에 의해 손상을 받음 (m/c)

    • 상기도 감염, 알레르기 비염 등 비점막의 염증, 겨울철의 차고 건조한 공기 노출, 알레르기비염 치료 시 사용되는 비강 스테로이드제의 장기간 사용 등

    • 코폴립(nasal polyp), 비강 내 종양, 선천 혈관 장애, 응고인자 결함 등

  • 안정 → 국소 혈관수축제 → 코 메우기, 소작술 등

    • 안정 및 냉찜질: 환자를 안정시키고 앉은 자세로 머리를 앞으로 숙이게 함. 코와 뺨 주위에 냉찜질을 적용함.

    • 국소 혈관수축제: 0.25-1% 농도의옥시메타졸린(Oxymetazoline)등을 사용하여 국소적으로 혈관을 수축시킴.

    • 코 메우기 (Nasal Packing) :출혈이 지속될 경우 거즈나 다른 재료로 비강을 막아 압박 지혈함.

    • 소작술 (Cauterization): 재발하거나 심한 경우, 출혈 부위를 화학적 또는 전기적으로 소작하여 지혈함.

    • 양측성이거나 Kiesellbach plexus 이외의 출혈 부위일 경우 비내시경, 혈액검사 시행하여 동반 원인 질환이 있는지 확인해야 함.

기도 내 이물

  • 6개월 ~ 3세 이하에서 흔히 발생함

  • 원인: 땅콩 등 견과류 (1/3 차지, m/c), 과일, 야채 조각, 씨앗, 조그만 장난감 등

  • 이물 흡인 당시 기침, 질식, 구토 등이 발생 → 급성 증상 소실 (증상 없어도 이물이 존재할 수 있음) → 합병증 (기침, 폐렴, 발열, 객혈 등)

  • 위치별 임상양상

    • 후두 이물 (Laryngeal foreign body):
      목소리 변화(쉰 목소리, 실성증), 호흡곤란, 심한 기침 (크루프 기침), 질식 등이 나타남.

      • 경부 방사선(측면 & 정면) 촬영 후, 직접 후두경 검사(Direct laryngoscopy)로 이물 확인 및 제거

    • 기관 내 이물 (Tracheal foreign body):
      질식과 호흡곤란 (90% 이상). 협착음(stridor, 69%), 천명(50%)이 특징적인 증상임.

    • 기관지 내 이물 (Bronchial foreign body):
      전체 기도 이물 흡인의 90%가 기관지에서 발생함. 발생 빈도는 우측 기관지 > 좌측 기관지 (우측이 좌측에 비해 각도가 크고 길이도 짧음)라고 알려져 있으나, 실제로는 양측이 거의 비슷.

      • 기관지가 막힌 정도에 따라 증상이 달라짐.

        • bypass valve (약간 막혀서 공기가 자유롭게 드나듦): 막힌 폐 쪽에서 천명음 유발

        • check valve (공기가 들어가기는 하나 나오기는 힘듦): 폐의 과팽창 (hyperinflation)

        • stop valve (공기가 들어가지도 나오지도 못함): 무기폐

      • 땅콩과 같은 식물성 이물이 흡인되어 오래되는 경우 전반적 괴사 염증을 일으켜 기침, 패혈증, 호흡 곤란 등의 중독 증세가 나타날 수 있음.


[진단]

  • 병력청취 (m/i)

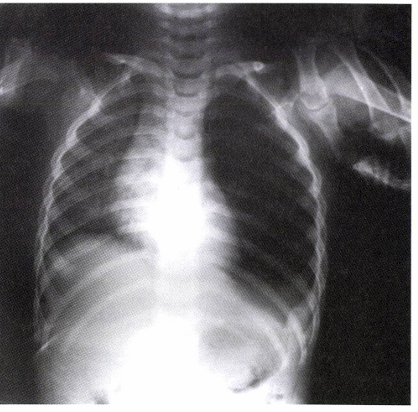
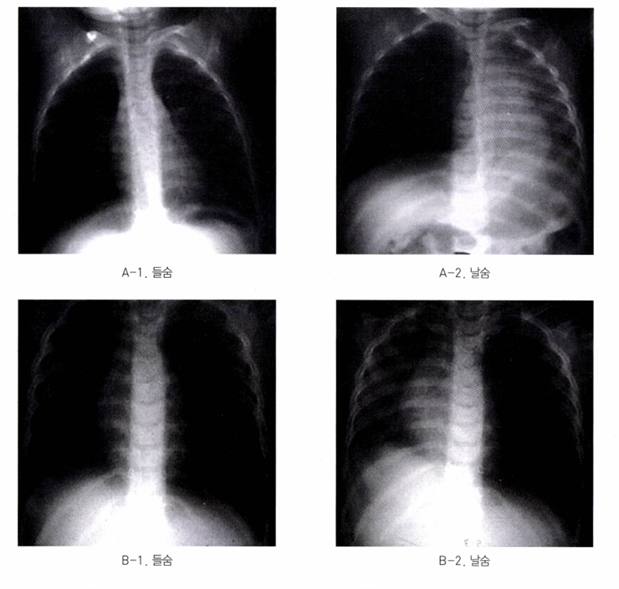
  • 방사선 검사: 들숨 및 날숨 시의 흉부 X선(Chest X-ray)

    • 이물이 공기를 가두는 '체크 밸브(check valve)' 효과를 일으킬 경우, 호기 시(expiration) 이물이 있는 쪽 폐의 과팽창(hyperinflation) 및 종격동 변위(mediastinal shift)가 관찰될 수 있음.

[치료]

  • 이물이 확인되면 곧바로 경직 기관지 내시경 (rigid bronchoscopy) 실시

  • 이차 감염이 있는 경우 항생제 투여


[응급 처치]

  • 1세 이하 영아: Five back blow and/or five chest thrust method

    • 5회 등 두드리기(Five back blows)를 시행 후, 이물이 빠져나오지 않으면 5회 가슴 압박(Five chest thrusts)을 시행. 이물이 빠져나올 때까지/ 의식 소실이 있을 때까지 시행 (의식이 소실되면 심폐소생술 시행)

  • 1세 이상 소아: Abdominal thrust (Heimlich maneuver)

    • 의식이 없는 경우: 바닥에 눕히고 복부를 쳐 올리듯이 다섯 차례 압박 (inward and upward thrust)

    • 의식이 있는 경우: 소아의 뒤쪽에서 하임리히법(Heimlich maneuver, 복부 밀어내기)을 시행함. 환자의 뒤에 서서 복부를 감싸고 주먹으로 검상돌기 아래를 빠르고 강하게 위로 밀어 올림.

흡인 폐렴

  • 원인

    • 구강, 인두 또는 위 내용물이 하부 기도로 흡인되어 발생하는 폐의 염증성 질환.

    • 주요 원인: 선천적 장애(기관식도루, 구개열, 식도이완불능증 등), 의식장애, 신경근계 질환 (Neuromuscular diseases), 구인두 부조화 (Oropharyngeal incoordination) 등

      • 기저 질환이 없는 경우에도 신생아 (특히 조산아), 급성 호흡기 질환이 있는 경우 흡인 발생 가능

    • 지질 폐렴 (lipid pneumonia): 동물, 식물성 기름을 어린 소아에 경구 투여 시 발생 가능

  • 검사

    • 병력 청취 (m/i): 음식 섭취 시 반복적 기침, 질식, 구토 등 증상 여부 확인

    • 단순 흉부 방사선 촬영 (X-ray)

    • 기타: 고해상도 컴퓨터단층촬영 (HRCT) (지질 폐렴 진단), 24시간 식도 산도(pH) 검사 (위식도 역류 진단, 소아에서의 사용은 제한적)

  • 치료: Clindamycin, penicillin 등 (구강 내 세균에 대한 감염을 의심)

폐부종

  • 정의

    • 폐의 간질(interstitium)과 폐포강(alveolar space)에 체액이 비정상적으로 축적되는 상태

    • 주요 기전: 혈관 투과성의 변화, 폐혈관 벽 양쪽의 정수압(hydrostatic pressure)의 증가 또는 혈관 내 콜로이드 삼투압(colloid osmotic pressure)의 감소로 인한 폐사이질로의 체액 이동 증가

  • 원인

    • 폐모세혈관 삼투압 증가

      • 심인성: 좌심실부전, VSD 등

      • 비심인성: 폐정맥 폐색, 폐정맥 섬유화, 종격동암

    • 모세혈관 투과성 증가: 폐렴, ARDS, 승압제, 패혈증 등

    • 림프계 기능 부전

    • 삼투압 감소: 저알부민혈증 (신질환, 간질환, 단백질 소실, 영양실조)

    • 폐사이질 음압 증가

    • 상기도 폐쇄: 후두염, 후두개염

    • 기타: 췌장염, 폐색전증, 신경성 폐부종, 자간증 등

  • 증상 및 진단

    • 임상 증상: 호흡곤란(노력호흡, 빠른호흡)

    • 신체 검진: 청진 시 수포음(crackle), 천명음(stridor), 말발굽음(gallop sound, 심인성 폐부종)이 들릴 수 있음.

    • 혈액 검사: Brain Natriuretic Peptide (BNP)

      • 500 pg/mL 이상: 심부전으로 인한 폐부종을 강력히 시사함.

      • 100 pg/mL 미만: 폐질환에 의한 폐부종

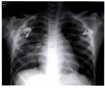
    • 영상 검사: 흉부 X선

      • 초기에는 정상일 수 있으며, 기관지 주변/혈관 주변 침윤이 우선적으로 나타남

      • 후기: 나비 패턴 (양측 사이질/폐포 침윤)

      • 심인성: 심비대

폐부종 흉부 X-ray: 전 폐야에 걸친 폐침윤 증가, 폐경결 (consolidation) 관찰

  • 치료

    • 비심인성 폐부종: 산소 공급 및 기저질환의 치료

    • 심인성 폐부종

      • 약물 치료: 좌심실의 부하 감소

        • 이뇨제: 체액 과다를 줄여 폐울혈을 완화함.

        • 혈관확장제: 심장의 전부하 및 후부하를 감소시킴

        • 강심제(Inotropic agents): 심박출량 감소 시 사용

        • 모르핀: 혈관 확장 효과, 진정 효과

    • 호흡 보조: 지속적 기도 양압(Positive airway pressure)

      • 폐손상 예방: 일회 호흡량 낮게, 날숨말 양압 높게, 고탄산혈증 허용



무기폐

  • 정의

    • 폐가 제대로 팽창하지 못하거나 폐포 내 공기가 흡수되어 부피가 줄고 허탈(collapse)된 상태.

      • 선천성(Congenital, Primary): 출생 직후 폐가 불충분하게 팽창한 경우

      • 후천성(Secondary): 생후 폐확장이 일어났으나 출생 후 다양한 원인으로 폐포로의 공기 유입이 차단돼 폐가 허탈된 경우.

  • 원인

    • 선천 무기폐: 조산아의 횡격막, 호흡 근육이 약한 경우 (m/c), 뇌손상(호흡 중추 포함), 심비대나 횡격막 탈장 등에 의한 흉곽 내 압박, 분만 전 산모에게 과다 투여된 진통제 등

    • 후천(2차) 무기폐

      • 외부 압박에 의한 기도폐쇄: 가슴막 삼출, 기흉, 흉곽 내 종양

      • 기도 내 폐쇄: 점액 마개(mucous plug), 이물, 종양, 기도 내 림프절 비대

      • 기도 내 염증에 의한 삼출물로 인한 폐쇄: 폐렴, 기관지염, 세기관지염, 천식

      • 호흡운동 장애: 근신경계 이상, 골격계 이상, 횡격막 이상, 흉부 압박

  • 임상양상 및 진단

    • 임상 증상: 무기폐의 정도와 선행 폐질환의 원인에 따라 다양. 무증상부터 호흡곤란, 기침, 흉통, 청색증까지 다양함.

    • 영상 검사

      • 흉부 X선: 폐 용적 감소, 폐엽간열(lung fissure)의 위치 변동 관찰

      • 흉부 CT (특히 HRCT): 폐쇄 원인 감별 및 무기폐의 정확한 범위 평가에 유용함.


  • 치료: 선행 질환의 치료 (m/i)

    • 기도 분비물에 의한 무기폐: 호흡 물리치료 (체위배담(자세변경), 두들김, 진동법, 심호흡 및 기침 유도)

    • 기도 내 이물: 기관지경 이용해 즉시 제거

      • 수주간 지속되는 무기폐에서도 기관지 내시경술을 이용한 확인 필요

    • 간헐적 양압 환기(Intermittent positive-pressure breathing, IPPB): 흉부 물리 요법에 의해 호전되지 않는 경우. 폐 재팽창을 도움.

폐기종

  • 정의 및 병태생리

    • 폐포벽(alveolar septa)의 비가역적 파괴로 인해 폐의 부분/전체가 과하게 팽창되는 것.

    • 단순한 과팽창(overinflation)과 구분 (과팽창은 폐포 파괴 없이도 발생할 수 있으며, 대개 후천적으로 오는 가역적인 팽창)

  • 분류 및 원인

    • 국소성 폐쇄성 과팽창 (Localized Obstructive Overinflation): 기관지 check-valve 양상의 부분 폐쇄에 의해 발생

      • 일측성 과투과성 폐 (Unilateral Hyperlucent Lung): 기관지 이물, 기관지 내 결핵, mucus plug에 의한 주기관지의 부분 폐쇄

      • Swyer-James Syndrome: 감염 후 폐쇄성 세기관지염(postinfectious obliterative bronchiolitis)이 주된 원인임.

        • 원인 병원체: 아데노바이러스, 호흡기세포융합바이러스(RSV), 마이코플라스마, 홍역 등.

      • 선천성 대엽성 폐기종 (Congenital Lobar Emphysema): 특정 폐엽에 선천적인 과팽창이 발생함.

    • 전신성 폐쇄성 과팽창 (Generalized Obstructive Overinflation)

      • 급성: 급성 세기관지염, 천식 등. 대개 가역적

      • 만성: 기관지폐 이형성증(BPD), 낭성 섬유증 등 전반적인 기도 폐쇄를 유발하는 질환과 관련됨.

  • 진단: 날숨성 호흡 곤란, 얕은 호흡, 타진 시 공명 과다 등

  • 진단: 단순 X-ray, 투시 검사

    • X-ray: 횡격막이 아래로 처져 평평하게 보이고, 늑골 간 간격 버어지며, 폐는 투명하게 보이고, 흉부의 전후 직경이 증가함

    • 투시검사: 날숨 시 횡격막 움직임 감소

  • 치료: 원인에 따른 치료

폐출혈

  • 원인

    • 신생아 폐출혈

    • 신생아기 이후의 폐출혈

      • 국소 폐출혈: 기관지나 폐의 급, 만성 염증, 감염, 기관지 이물, 외상이 대부분. 낭성 섬유증에 의한 기관지확장증도 흔히 발생

      • 전반적 폐출혈

        • 영아 특발성 폐출혈: 1세 이하의 영아에서 기저질환 없이 급성으로 폐출혈이 발생하는 경우

        • 폐-신장 증후군: Goodpasture 증후군, Wegener 육아종증 등 폐와 신장을 동시에 침범하는 혈관염.

        • 전신성 혈관염: Henoch-Schönlein 자반증, 전신홍반루푸스(SLE) 등

        • Heiner 증후군: 우유 단백에 대한 과민반응으로 인한 폐 침윤 및 폐출혈.

        • 기타: 혈액 질환, 선천성 심장 질환, 폐동맥 고혈압.

  • 진단

    • 병력청취: 토혈이나 코피에 의한 것은 아닌지 우선 확인

    • 혈액 검사(CBC, 혈액 응고 검사), 소변검사

    • 기관지 세척액 검사: 헤모시데린을 탐식한 대식세포(hemosiderin-laden macrophage)의 존재는 반복적인 폐출혈의 강력한 증거

    • 영상 검사: 흉부 X선 상 양측 폐에 대칭적인 폐포 침윤

  • 치료: 대량의 출혈 시 수액 공급 및 수혈, 산소 공급

기관지폐 형성 이상

  • 정의: 임신 32주 미만 또는 출생 체중 1,500g 미만의 미숙아에서 발생하는 만성 폐질환으로, 생후 28일 이상 산소 치료가 필요한 경우

  • 위험 요인: 미숙아, 신생아 호흡곤란 증후군, 고농도 산소 치료, 기계 환기, 감염 등.

  • 병태생리: 폐포 및 폐혈관 발달의 중단이 핵심. 폐포 수가 적고 구조가 단순하며, 폐섬유화 및 혈관 리모델링이 동반됨.

  • 치료: 증상이 없는 경우에도 폐기능 저하가 지속될 수 있음

    • 기관지 확장제 (β-agonist): 기침, 천명 있는 경우 도움이 됨

    • 흡입 스테로이드 치료, 류코트리엔 길항제

  • 예후: 대개 생후 1년 이내 산소 투여 중단 가능

기관지 확장증

연습문제 21문제

0/21 완료

1개의 글


by

Queeeeen

·

2025년 11월 20일

소아도 등두드리기 이후 복부밀치기로 개정됐습니다

.

👍 1


글 작성

** 제목만 보더라도 어떤 내용인지 알 수 있도록 완성된 문장으로 작성해주세요.
예시) 초음파 (X) → 초음파 사진에서 PDA 소견을 어떻게 알 수 있나요? (O)