신경관 결손 및 중추신경계
신경관 결손 (Neural Tube Defects, NTDs)
정의: 배아 발생 초기 신경관이 닫히지 않아 발생하는 기형. 엽산 결핍, 항경련제(발프로산) 복용 등이 위험인자
분류
잠재 척추 이분증 (Spina bifida occulta)
가장 흔하고 경미한 형태. 척추뼈 아치의 결손만 있고 척수나 수막의 외부 돌출은 없음. 대부분 무증상이지만, 허리 부위에 dimple, 털, 지방종 등이 관찰될 수 있음.
수막류 (Meningocele)
vertebral arch 의 결손 부위로 척수 실질의 노출 없이 수막과 뇌척수액만 주머니 형태로 돌출됨. 대부분 피부로 덮여있고 신경학적 결손은 보통 없음.
척수수막류 (Myelomeningocele)
척수와 신경 조직이 수막과 함께 돌출된 가장 심각한 형태로, 부분적으로 상피화된 얇은 막으로 된 주머니가 보임. 돌출 부위 이하의 하지 마비, 배뇨/배변 장애 등 심각한 신경학적 후유증을 동반함. 80% 이상에서 수두증(hydrocephalus)과 Arnold-Chiari 기형이 동반됨.
뇌류 (Encephalocele)

두개골 결손을 통해 뇌 조직과 수막이 돌출됨.
태아 초음파 검사 소견
A : lumbosacral meningomyelocele (점선 표시: cele, arrow head: 척수)
B : lemon sign (양쪽 전두엽의 flattening되어 lemon 모양으로 보임)
C : banana sign (cerebellum이 foramen magnum쪽으로 herniation 되면서 정상적인 아령모양을 잃고 바나나 모양으로 변형)
[1] 홍창의 12e, pg. 362-371
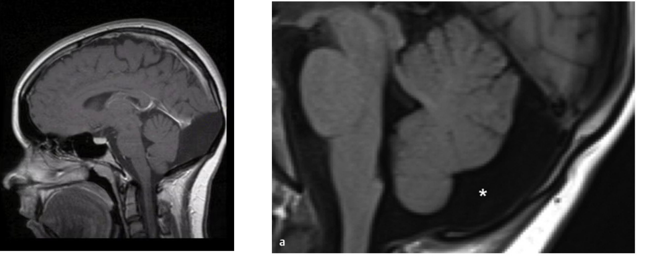
Chiari malformation
정의: 후두와(Posterior cranial fossa)의 크기 또는 형태 이상으로 인해, 소뇌 구조(특히 편도)가 foramen magnum 아래로 전위(herniation)되는 질환
분류
Type I: cerebellar tonsils 이 foramen magnum 아래 ≥5 mm 하강.
Type II: (Arnold-Chiari malformation): 소뇌 벌레(vermis), 제4뇌실, 연수가 foramen magnum 아래로 하강, 거의 항상 myelomeningocele 동반
Type III: 소뇌, 뇌간이 고위 경추 또는 후두부 encephalocele 안에 위치
Type IV: 소뇌 형성이 심하게 불완전(hypoplasia/agenesis)하나 하강은 없음
Dandy-walker malformation
정의: 발생학적 이상으로 인해 cerebellar vermis의 부분/완전 결손 및 superior rotatio과 4th ventricle의 cystic dilatation, 확대된 후두와가 특징인 복합 기형. CSF 순환장애 및 수두증 흔히 동반
임상양상
두위증가, 수두증 증상(구토, 기면, 대천문 팽창),소뇌기능이상, 발달지연, 경련
다른 중추신경계/전신 기형 동반 가능
감별진단
posterior fossa arachnoid cyst (좌): 후두와의 낭성 병변, normal cerebellar vermis, 4th ventricle과의 연결 없음
mega cisterna magna (우): 후두와 크기 정상, 소뇌/뇌실 정상, cisterna magna 직경 >10mm
Tethered cord syndrome
정의: 척수 (conus medullaris와 filum terminale)가 비정상적으로 하부 척추 구조물에 고정(tethering)되어, 성장이나 움직임에 따라 척수가 병리적으로 신전(stretching) 되는 상태 → 척수와 신경근에 만성적인 장력이 가해지면서 신경학적 증상이 발생
원인
선천성: Spina bifida occulta, lipomyelomeningocele, dermal sinus tract 등
후천성: 척수 종양 절제 후, 수술/외상 후 유착
증상
하지 약화, 감각 저하, 배뇨/배변장애, 발 변형
진단: 영상학적 검사상 conus medullaris의 끝이 비정상적으로 하방에 있는 것을 확인
(정상 위치: L1-L2 level)좌: 정상. conus medullaris의 끝이 L2부근에 위치
우: tethered cord syndrome. conus medullaris 끝이 S1 Rkwl whswo
0개의 글
** 제목만 보더라도 어떤 내용인지 알 수 있도록 완성된 문장으로 작성해주세요.
예시) 초음파 (X) → 초음파 사진에서 PDA 소견을 어떻게 알 수 있나요? (O)