학습하기

커뮤니티

구입하기

소아과 총론 (new) > 신생아 장질환

신생아 괴사성 장염 (Necrotizing Enterocolitis, NEC)

기본 개념

신생아 괴사성 장염 (NEC)

  • 정의: 미숙아에서 주로 발생하는 급성 장염 및 장 괴사 질환

  • 위험 요인: 미숙아, 저산소증, 경장 수유, 감염 등.

  • 임상 증상: 복부 팽만, 수유 불내성, 구토, 혈변/설사, 기면, 무호흡, 패혈증 등 등.

  • 진단: 임상 증상과 방사선 소견을 종합하여 진단
    ** AP abdomen 뿐 아니라, cross table lateral 또는 lateral decubitus 까지 촬영해서 기복증 여부를 반드시 평가

    • 장벽 내 공기증 (Pneumatosis intestinalis): 가장 특징적인 소견

    • 문맥 내 가스 (Portal venous gas): 중증 소견

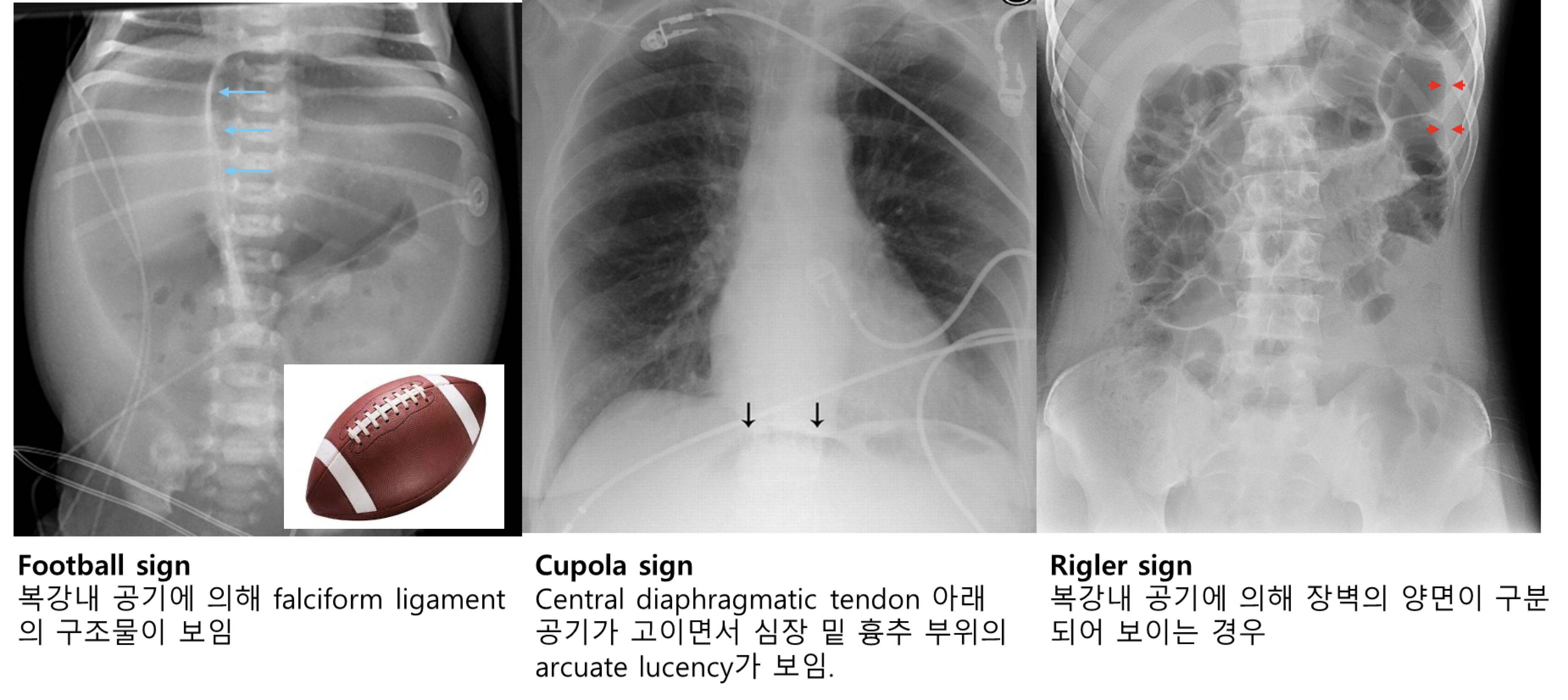
    • 기복증 (Pneumoperitoneum): 장 천공을 시사하는 소견 ('football sign' 등)

  • 중증도 평가


  • 치료: 확진 뿐만아니라 의심되는 환자에서도 신속하게 집중 치료 시작

    • 내과적 치료

      • 금식, 비위관 감압, 수액 공급, 광범위 항생제 투여, 혈압 유지 등

      • 배꼽 카테터 제거

      • 무호흡 또는 복부팽만이 저산소증/고탄산혈증을 유발한 경우 인공환기요법 시행

    • 시험적 개복술의 적응증

      • 내과적 치료 실패 시

      • 단순 복부 방사선 사진상 하나의 고정된 장 루프가 계속해서 보이는 경우

      • 복벽에 홍반이 나타나거나 덩어리가 만져지는 경우

      • 장 천공이 확인된 경우


[1] 홍창의 12e, pg. 333-335

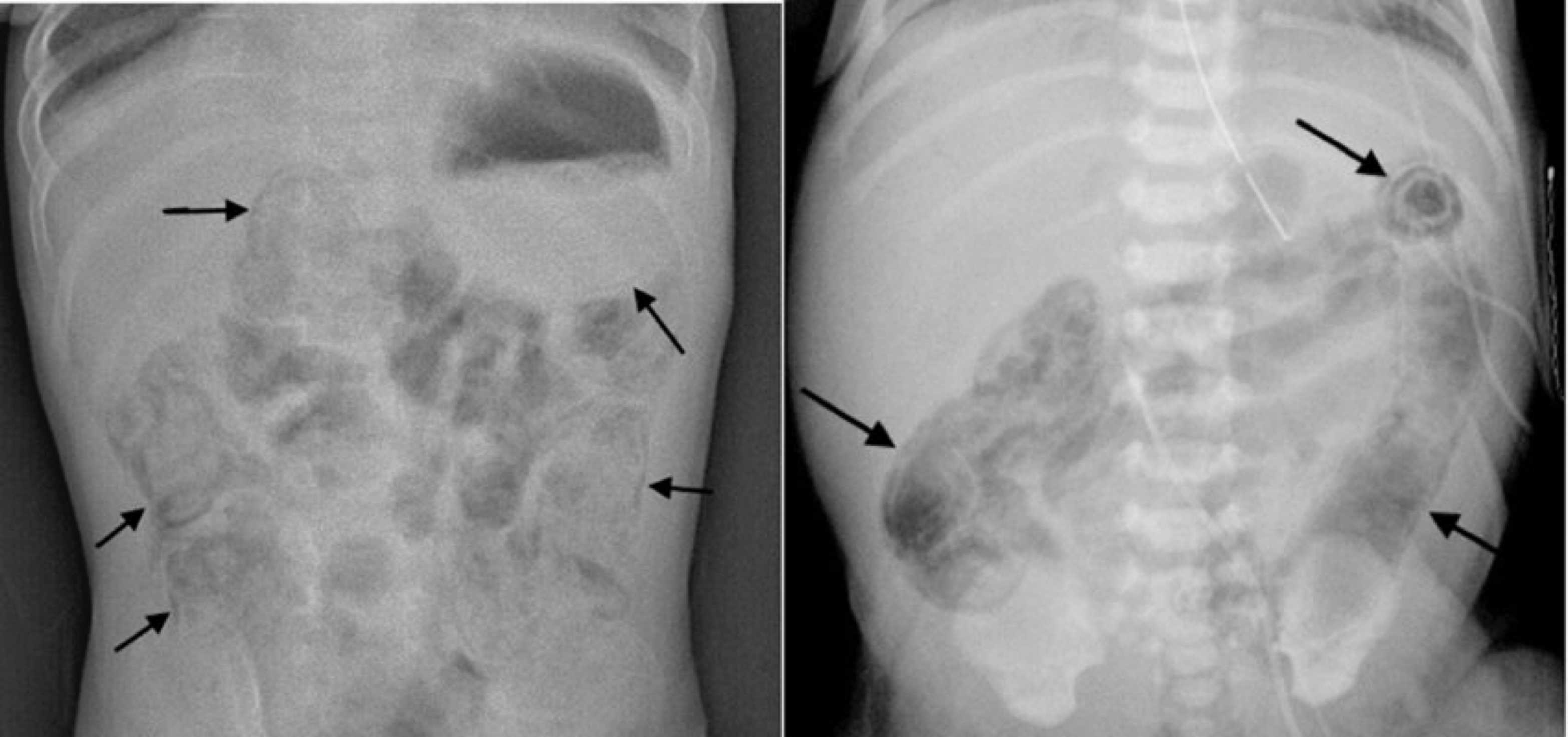
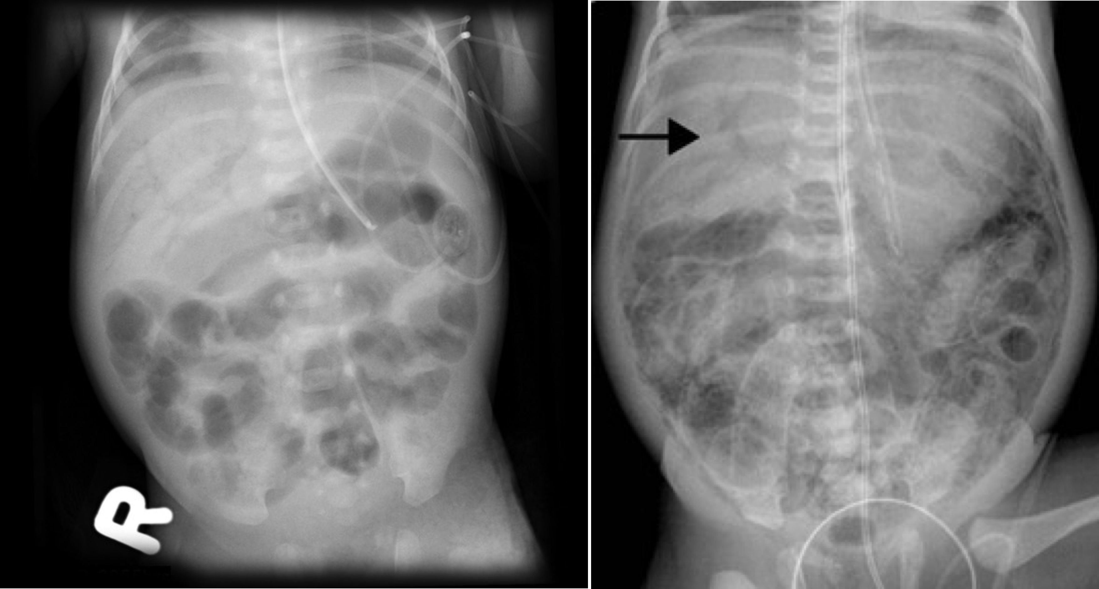
NEC의 영상 소견

  • pneumatosis intestinalis (intramural bowel gas)

    : 방사선 검사 상 장 벽 내부에 공기음영이 보이는 소견 (장벽의 괴사를 시사)

  • portal vein gas

    :NEC가 진행되면 장벽 내의 가스가 혈관으로 들어가 간문맥을 따라 공기음영이 확인


  • pneumoperitoneum




연습문제 6문제

0/6 완료

0개의 글


글 작성

** 제목만 보더라도 어떤 내용인지 알 수 있도록 완성된 문장으로 작성해주세요.
예시) 초음파 (X) → 초음파 사진에서 PDA 소견을 어떻게 알 수 있나요? (O)