학습하기

커뮤니티

구입하기

소아과 총론 (new) > 신생아 황달

핵황달

기본 개념

핵황달

  • 정의: 빌리루빈은 신경독성이 존재하는데, 간접 빌리루빈이 혈관-뇌 장벽을 통과하여 뇌세포 내에 침착되어 생기는 신경학적 증후군
    **이때 BBB를 통과하는 빌리루빈은 간접빌리루빈 중 알부민과 결합하지 않아 분자량이 작은 형태인 free(unbound) bilirubin

  • 발생

    • 혈청 간접 빌리루빈 수치가 20mg/dL을 넘었을 때 발생

    • 극소저출생체중아에서는 8~12mg/dL인 낮은 혈중농도에서도 발생할 가능성이 있음

  • 위험인자: 유리빌리루빈을 증가시키는 요인들

    • 알부민의 빌리루빈 결합 부위의 감소 요인 (조산아, 저알부민혈증)

    • 알부민의 빌리루빈 결합 부위를 경쟁적으로 결합하는 물질의 증가 (약물, 산증, 저체온, 저혈당, 금식)

    • BBB나 신경세포막의 빌리루빈 투과도를 증가시키는 요인 (가사, 조산아, 고삼투압, 감염)

  • 증상

    • 초기징후: 기면, 식욕부진, 모로반사소실

    • 건반사의 감소, 호흡곤란, 심각한 병색, 허탈상태

    • 활모양 강직, 숫구멍 팽륜, 얼굴 및 사지 연축, 찢어지는 높은 울음소리

    • 정신 경련, 경축, 주먹을 쥔채 팔을 내회전한 상태로 뻣뻣하게 신전시킨 자세 (decerebrate posture)

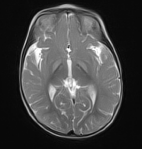
  • 영상 소견


    • MRI T2WI: globus pallidus, hippocampus, putamen, thalamus 등에 bilateral symmetrical high signal intensity (unconjugated bilirubin deposit)


[1] 홍창의 12e, pg. 326-332

연습문제 5문제

0/5 완료

0개의 글


글 작성

** 제목만 보더라도 어떤 내용인지 알 수 있도록 완성된 문장으로 작성해주세요.
예시) 초음파 (X) → 초음파 사진에서 PDA 소견을 어떻게 알 수 있나요? (O)