학습하기

커뮤니티

구입하기

소아과 총론 (new) > 신생아 호흡기 질환

기관지폐 이형성증 (Bronchopulmonary Dysplasia, BPD)

기본 개념

기관지폐 이형성증 (Bronchopulmonary Dysplasia, BPD)

  • 정의

    • 주로 미숙아, 특히 기계 환기 및 산소 치료를 받은 신생아에서 발생하는 만성 폐질환

    • 과거에는 심한 폐 섬유화가 특징인 'old BPD'가 많았으나, 최근에는 surfactant와 부드러운 환기 요법의 발달로 폐포 및 폐혈관 발달이 중단되는 양상의 'new BPD'가 주를 이룸

  • 임상양상

    • 지속적인 산소 요구도: 생후 28일 또는 교정 연령 36주가 지나도 산소 공급이 필요

    • 빈호흡, 흉골 함몰 등 호흡곤란 소견이 지속, 청진 시 수포음(crackle)이나 천명음(wheezing)

    • 잦은 호흡기 감염, 성장 부진, 수유 곤란

  • 진단기준: 평가시점의 산소필요도 및 영상검사를 종합해서 판단

    • 평가 시점

      • 재태주수 32주 미만 출생아: 교정 연령 36주 또는 퇴원 시.

      • 재태주수 32주 이상 출생아: 생후 28-56일 또는 퇴원 시

    • 중증도 분류


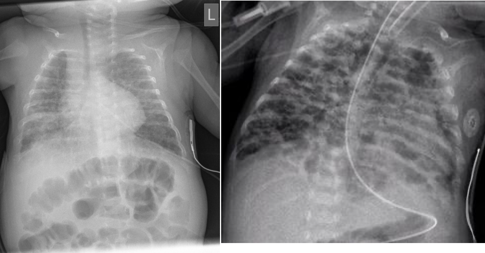
  • 흉부 X선 기준


    • 초기에는 RDS와 유사한 소견을 보이다가, 시간이 지나면서 폐 과팽창, 미만성 간질성 음영, 섬유화 띠, 낭성 변화(bubbly lung) 등이 혼재된 양상을 보임

  • 예방: 아직 효과적인 예방법은 없으나 몇가지 방법이 시도됨

    • 폐표면활성제 투여 및 조기 nCPAP 적용 : 기계환기 빈도 낮춤

    • caffeine 투여: 자발호흡 촉진해서 기계환기 빈도 낮춤

    • 비타민A, iNO, 전신 스테로이드는 권고되지 않음

  • 치료: 특정 약물로 완치하는 개념이 아니라, 폐가 성장하고 회복될 때까지 적절한 가스 교환을 유지하고, 성장을 촉진하며, 추가적인 폐 손상을 방지하는 보존적 관리가 핵심

    • 호흡 관리

      • 산소 치료: 폐고혈압 발생을 막고 성장을 돕기 위해 적절한 산소 공급. 목표 SpO₂는 보통 92-96%로 유지

      • 호흡 보조: 필요 시 nCPAP이나 저강도의 기계 환기를 지속

    • 약물 치료

      • 이뇨제 (Diuretics): 폐부종을 조절하여 폐 기능을 개선하나 효과가 단기적이며 지속치료에 대한 논란이 많음

      • iNO, 폐혈관확장제 (sildenafil): 산소화 증가에 도움

      • 스테로이드 (Corticosteroids): 염증을 조절하기 위해 사용되나, 신경 발달 장애 등 심각한 부작용 위험이 있어 사용에 매우 신중해야 함.

    • RSV 감염 예방

      • BPD 환아에게 호흡기세포융합바이러스(RSV) 감염은 매우 치명적일 수 있음.

      • RSV 유행 계절 동안 예방적 항체인 Palivizumab 을 매달 근육 주사하여 감염을 예방

  • 예후

    • 장기간 기계 환기 (6개월이상), 뇌실 내 출혈, 지속적 폐고혈압, 폐성심, 생후 1세까지 산소의존성이 있는 영아의 경우 예후가 불량

    • 심부전, 감염에 의한 심폐부전이 가장 흔한 사망 원인


[1] 홍창의 12e, pg. 306-326

연습문제 10문제

0/10 완료

0개의 글


글 작성

** 제목만 보더라도 어떤 내용인지 알 수 있도록 완성된 문장으로 작성해주세요.
예시) 초음파 (X) → 초음파 사진에서 PDA 소견을 어떻게 알 수 있나요? (O)