학습하기

커뮤니티

구입하기

소아과 총론 (new) > 신생아 신경 질환/분만손상

백질손상

기본 개념

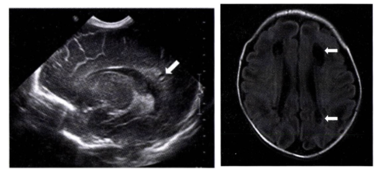
뇌실주위 백색질연화증 (Periventricular Leukomalacia, PVL)

  • 정의: 뇌실 주변의 백색질(white matter)에 허혈성 손상이 발생하여 조직이 괴사하고, 이후 낭종(cyst)을 형성하거나 미만성으로 손상되는 질환

  • 기전 및 원인

    • 미숙아 뇌의 특정 혈관 영역(watershed area)이 저혈압이나 저산소증에 특히 취약

    • 뇌혈류 자동조절능력의 미숙으로 인해, 전신 혈압이 떨어지면 뇌혈류가 급격히 감소하여 허혈성 손상을 입기 쉬움.

    • 허혈-재관류 손상

  • 진단 및 임상 양상

    • 초기에는 증상이 없는 경우가 많음.

    • 진단은 뇌 초음파나 MRI 사용

    • 뇌 초음파에서는 생후 3-10일 경 뇌실 주변에 고에코 병변이 보이고, 생후 2-3주 후 낭성 변화가 관찰 - 모든 고위험아는 GA 36-40주에 추적 뇌초음파를 실시해야함


  • 예후

    • PVL은 뇌성마비(cerebral palsy)의 가장 중요한 원인

    • 특히 다리로 가는 운동 신경 섬유가 뇌실 주변을 지나가기 때문에, 강직성 양하지마비(spastic diplegia)가 특징적으로 나타남.

    • 낭종성 PVL은 예후가 매우 불량하며, 인지 장애, 시각 장애, 간질 등을 동반하는 경우가 많음


[1] 홍창의 12e, pg. 300-301

연습문제 5문제

0/5 완료

0개의 글


글 작성

** 제목만 보더라도 어떤 내용인지 알 수 있도록 완성된 문장으로 작성해주세요.
예시) 초음파 (X) → 초음파 사진에서 PDA 소견을 어떻게 알 수 있나요? (O)