임상증상
발열, 오한 같은 전신증상 (방광염과의 차이)
측복부 통증, CVA 압통 (상부요로 감염 증상)
오심이나 구토 등도 존재
진단
상부 요로감염 증상+ 소변검사&배양 (농뇨&세균뇨 확인)

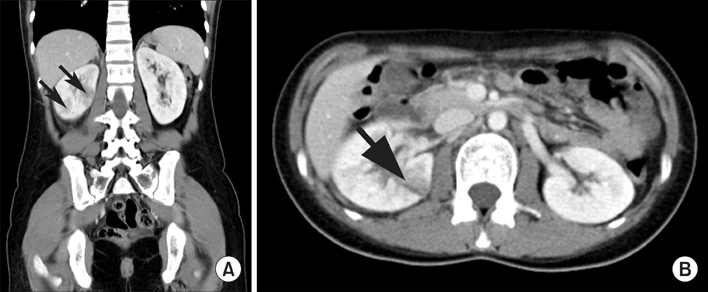
영상 검사(CT): 치료에 호전이 없거나 폐쇄가 의심되는 경우 등에서 시행
치료: 배양 전까지 경험적 항생제, 배양 후 감수성에 맞게 조절
입원이 필요 X: 경구 quinolone → 감수성 결과 따라 경구 quinolone or TMP/SMX or beta-lactams
입원이 필요: 광범위 cephalosporin (ceftriaxone) → 증상이 호전되면 감수성 결과 따라 경구 약제로 교체
중증 패혈증 or 패혈 쇼크: piperacillin/tazobactam or Carbapenem
합병증: 패혈증, 신농양, 기종성 신우신염 등
[1] Harrison 21e, pg.1070-1078
** 제목만 보더라도 어떤 내용인지 알 수 있도록 완성된 문장으로 작성해주세요.
예시) 초음파 (X) → 초음파 사진에서 PDA 소견을 어떻게 알 수 있나요? (O)