학습하기

커뮤니티

구입하기

신장 (new) > 투석

복막 투석

기본 개념

복막 투석

1. 원리 및 특징

  • 기본 원리

    • 확산(Diffusion): 농도 기울기에 의한 용질 제거 (요소, 크레아티닌 등 노폐물)

    • 초여과(Ultrafiltration): 삼투압 기울기에 의한 수분 제거

      • 고농도 포도당(Dextrose) 용액 사용: 가장 일반적, 포도당 흡수로 인한 대사 부작용 가능성

      • Icodextrin: 고분자 포도당 중합체, 복막 흡수가 적어 장시간 저류(Long dwell) 시에도 초여과 유지, 당뇨 환자나 고수분 제거 필요 시 유리

  • 혈액투석(HD)과 비교

    • 효율: 단위 시간당 용질 제거 효율은 HD보다 낮음 (그러나 24시간 지속적으로 수행됨)

    • 생존율: HD와 유사함 (초기에는 PD가 유리할 수 있으나 장기적으로는 비슷)

    • 장점: 잔여 신기능(Residual renal function) 보존에 유리, 혈역학적 안정성(CHF 환자 유리), 식사 제한이 덜함, 자가 치료 가능

    • 단점: 단백질 소실(영양 결핍), 복막염 위험, 매일 치료 필요, 체중 증가(포도당 흡수)


2. 복막 투석의 종류

  • 지속성 외래 복막 투석 (CAPD)

    • 기계 없이 손으로 교환

    • 하루 3~5회 교환, 낮 동안 저류

  • 자동 복막 투석 (CCPD/APD)

    • 수면 중 기계(Cycler)가 자동으로 교환

    • 낮 동안은 긴 저류 시간(Long dwell) 또는 비워둠

    • High transporter(고이동성) 환자에게 유리 (빠른 교환 필요)


3. 합병증: 복막염 (Peritonitis)

  • 진단 기준 (다음 중 2가지 이상)

    1. 복통, 혼탁한 배액 등 임상 증상

    2. 배액 검사: WBC > 100/mm³ (이 중 PMN > 50%)

    3. 배액 배양 검사 양성 (Gram stain/Culture)

  • 원인균

    • Gram(+) (가장 흔함): Staphylococcus epidermidis (피부 상재균), S. aureus (증상 심각, 카테터 감염 연관)

    • Gram(-) : E. coli, Pseudomonas

    • 진균 (Fungi): Candida 등 (예후 불량)

  • 치료

    • 투여 경로: 복강 내(Intraperitoneal) 투여가 원칙 (IV보다 효과적)

    • 경험적 항생제: Gram(+) 커버(Cephalosporin or Vancomycin) + Gram(-) 커버(Cephalosporin or Aminoglycoside)

    • 배양 결과에 따라 항생제 조정

  • 카테터 제거 적응증

    • 적절한 치료에도 5일 이상 호전 없는 난치성 복막염

    • 재발성 복막염 (동일 균주가 치료 종료 후 4주 이내 재발)

    • 진균성(Fungal) 복막염

    • 기타: 결핵성, Pseudomonas 등 치료 불응 시, 터널 감염 동반 시


4. 기타 합병증

  • 대사성 합병증

    • 포도당 흡수: 고혈당, 고인슐린혈증, 체중 증가, 고중성지방혈증

    • 단백질 소실: 저알부민혈증, 영양실조

  • 기계적 합병증

    • 복압 상승: 탈장(Hernia), 투석액 누출(Leakage)

    • 흉수(Hydrothorax): 주로 우측, 횡격막 결손 통해 이동. 진단: 흉수 포도당 농도 > 혈당

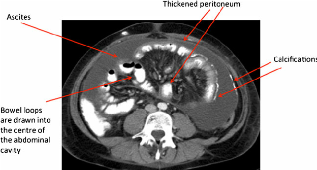
  • 피낭성 복막 경화증 (Encapsulating Peritoneal Sclerosis, EPS)

    • 장기간 복막 투석의 심각한 합병증

    • 복막이 두꺼워지고 장 유착 발생 → 장폐색, 영양실조

    • 치료: 투석 중단(HD 전환), 수술(박리술), Tamoxifen, Steroid 등 시도


[1] Harrison 22e, pg.2398-2401

연습문제 10문제

0/10 완료

0개의 글


글 작성

** 제목만 보더라도 어떤 내용인지 알 수 있도록 완성된 문장으로 작성해주세요.
예시) 초음파 (X) → 초음파 사진에서 PDA 소견을 어떻게 알 수 있나요? (O)