학습하기

커뮤니티

구입하기

혈액 (new) > 골수증식성질환 (MPN)

특발성 골수섬유증

기본 개념

특발성 골수섬유증 (Primary Myelofibrosis, PMF)

  • 정의

    • JAK2, CALR, MPL 돌연변이와 연관된 클론성 골수증식종양

    • 골수 섬유화 및 골수외 조혈이 특징

  • 진단

    • 주요 돌연변이: JAK2 V617F (55%), CALR (36%), MPL (4%)

    • 말초혈액: 누적적혈구 (Teardrop cells), 유핵적혈구, 좌방이동

    • 골수: 흔히 Dry tap, 생검 시 거대핵세포 과다 및 이형성, 망상섬유 증가

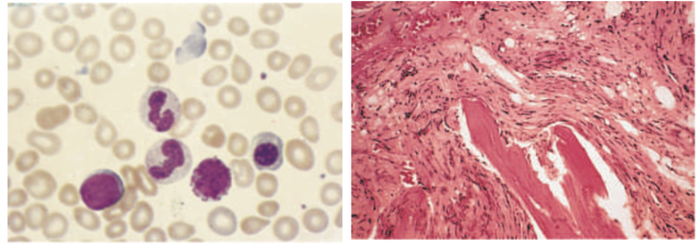
    좌 PBS: Tear drop cell(화살표) 및 immature myeloid cell의 출현

    우 골수 생검: 골수의 섬유화 소견


    • 예후 불량 인자: Triple-negative, ASXL1, EZH2, SRSF2, IDH1/2 돌연변이, 복잡 핵형

  • 임상양상

    • 주요 증상: B 증상 (발열, 야간 발한, 체중 감소)

    • 골수 외 조혈: 간비대, 거대 비장 비대 (massive splenomegaly)

    • 혈구 감소증에 의한 증상: 빈혈, 출혈, 감염

    • 합병증: 점진적 골수 부전, 급성 백혈병 전환 (약 10%), 문맥 고혈압

  • 치료

    • 유증상: Ruxolitinib (비장 비대, 전신 증상 등에 효과적)

      • 2차: Fedratinib, Pacritinib, Momelotinib

    • 빈혈, 혈소판 감소증: 스테로이드 + 저용량 탈리도마이드

      ** EPO는 일관된 효과를 보이지 않으며 혈청 EPO 수치가 125 mU/L 이상이면 효과가 없고 오히려 비장종대를 악화시킬 수 있음

    • 유일한 완치법: 동종 조혈모세포 이식

      → 젊은 환자 및 고위험 고령 환자에서 고려


[1] Harrison 22e, pp. 821-823

연습문제 5문제

0/5 완료

0개의 글


글 작성

** 제목만 보더라도 어떤 내용인지 알 수 있도록 완성된 문장으로 작성해주세요.
예시) 초음파 (X) → 초음파 사진에서 PDA 소견을 어떻게 알 수 있나요? (O)