학습하기

커뮤니티

구입하기

혈액 (new) > 림프종

림프절 종대 접근

기본 개념

림프종 접근

[림프절 종대]

  • 정의

    • 정상 크기(직경 > 1cm)를 초과하는 림프절의 비대

  • 주요 원인

    • 감염: EBV, CMV, HIV, Mpox, Cat-scratch dz, 결핵

    • 악성: 림프종, 백혈병, 전이암, BIA-ALCL

    • 자가면역: SLE, 류마티스 관절염

    • 약물: 페니토인, 알로푸리놀, 카바마제핀

  • 진단 핵심

    • 병력: B 증상(발열, 야간발한, 체중감소), 동물/벌레 노출, 유방 보형물

      • 유아 및 젊은 성인에서 일반적으로 바이러스 또는 세균성 상기도 감염, 전염 단핵구증, 톡소포자충증, 결핵 등의 양성 질환의 가능성이 높음

    • 신체검진

      • 범위, 개수, 크기, 압통, 비장비대 동반 여부

        • Localized adenopathy: single anatomical area에 국한된 림프절 비대

        • Generalized lymphadenopathy: 3곳 이상의 noncontiguous한 위치의 림프절 비대

        • 쇄골상 림프절은 항상 비정상

        • Large, rubbery, firm, mobile, nontender: lymphoma

        • Hard, nontender, nonmovable: metastatic cancer

        • 크기 <1cm*1cm 일때 거의 대부분 양성

    • 위험 신호 (Red Flags)

      • 나이 > 40세

      • 림프절 크기 > 2cm, 단단함, 고정됨

      • 쇄골상 림프절 종대

      • 전신 림프절 종대

      • B 증상 동반


  • 필수 검사

    • 혈액: CBC (w/ diff), PB smear, ESR, LDH

    • 영상: 초음파(국소), CT/PET-CT(전신, 병기설정)

    • 생검: Excisional biopsy (절제 생검)가 Gold Standard. FNA는 림프종 진단에 부적합

      • 절제 생검 : 고령, 흡연력, 1개만 존재, 딱딱함, 압통 없음, 쇄골상 림프절일 경우 등


**Lymphadenopathy 위치에 따른 감별진단

  • 쇄골상/목갈비근 : 항상 비정상적

  • 비르효(Virchow) : 위장관에서 전이된 악성 종양

  • 경부 림프절 : 대부분 호흡기 감염

  • 겨드랑이 림프절 : 유방암 전이 가능한 부위

[1] Harrison 22e, pg. 476-478

추가 개념

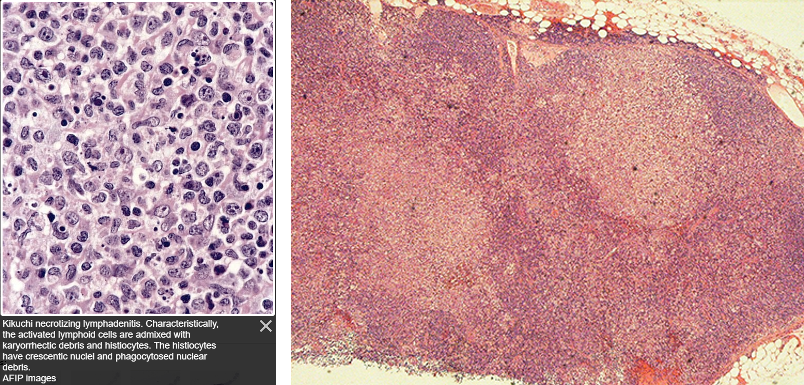
조직구 괴사성 림프절염 (기쿠치병)

  • 정의

    • 정식 명칭: 조직구 괴사성 림프절염 (Histiocytic Necrotizing Lymphadenitis)

    • 핵심: 원인 불명의 양성(benign), 자가 회복(self-limiting) 림프절염

    • 중요성: 악성 림프종(Lymphoma)과 감별 필수

  • 역학

    • 호발 연령: 젊은 성인 (주로 20-30대)

    • 성별: 여성 우세 (여:남 ≈ 3-4:1)

    • 지역: 동아시아인에서 호발

  • 임상 양상

    • 주 증상

      • 림프절 종대

        • 위치: 경부(Cervical) (특히 후경부) > 90%

        • 양상: 편측성(Unilateral), 1~2cm 크기

        • 촉감: 단단함(firm), 압통(tenderness) 동반

    • 전신 증상

      • 발열: 30-50% (고열 가능)

      • 피로감, 권태감

      • 야간 발한, 체중 감소 (B-symptom과 유사)

    • 기타 (Less Common):

      • 피부 발진 (Skin rash), 관절통 (Arthralgia)

  • 진단

    • 확진 (Gold Standard): 림프절 절제 생검

    • 핵심 병리 소견

      • 국소적, 부분적 괴사 (Focal paracortical necrosis)

      • 괴사 주변 조직구, 형질세포양 수지상세포 (Plasmacytoid dendritic cells) 침윤

      • 핵 조각 (Karyorrhectic debris, Apoptotic bodies)

      • 호중구 부재 (Absence of neutrophils)

    • 혈액 검사 (Labs) - 비특이적

      • 백혈구 감소증 (Leukopenia) (약 50%)

      • ESR / CRP 상승, LFT 상승, LDH 상승


  • 치료 및 예후

    • 치료

      • 1차: 소염진통제 (NSAIDs) - 통증 및 발열 조절

      • 중증 시: 코르티코스테로이드 (전신 증상 심할 시)

      **간수치 이상이 동반되므로 아세트아미노펜은 잘 사용하지 않음

    • 예후

      • 매우 양호

      • 경과: 1~6개월 이내 자연 소실

      • 재발: 3~5% 정도 (드묾)

연습문제 8문제

0/8 완료

0개의 글


글 작성

** 제목만 보더라도 어떤 내용인지 알 수 있도록 완성된 문장으로 작성해주세요.
예시) 초음파 (X) → 초음파 사진에서 PDA 소견을 어떻게 알 수 있나요? (O)