학습하기

커뮤니티

구입하기

소화기(간담췌) (new) > 담낭 질환

그 외 담낭염 및 기타 합병증

기본 개념

무결석 쓸개염

  • 정의: 쓸개돌을 동반하지 않고 발생한 급성쓸개염

  • 유발인자 : 중환자, 대수술 후, 장기간 단식, 심한 외상이나 회상, 지연 진통 후의 산후기 등

  • 진단 : 초음파, CT 등에서 담석 없이 확장 및 정체된(분비기능이 떨어진) 담낭

  • 치료 : 쓸개절제술 (수술 가능할 경우) / PTGBD (수술 불가능)


[1] Harrisone 22e, pg.2732

기종성 쓸개염

  • 정의: 급성 담낭염으로 시작해 담낭벽 허혈 및 괴사로 진행된 경우

  • 진단 : CT 또는 초음파상 담낭내 공기, 담낭벽 기체성 고리 형성

  • 치료 : 응급 쓸개절제술 + 항생제


[1] Harrisone 22e, pg.2732-2733

Mirizzi's syndrome


  • 정의: 담낭관이나 담낭 경부에 박힌 담석이 총담관(CBD)을 외부에서 압박하여 총담관 폐쇄와 황달을 유발하는 드문 합병증

  • 진단: 초음파, ERCP, MRCP로 총담관의 외인성 압박을 확인

  • 치료: 담낭관, 담낭, 박힌 담석을 제거하는 수술이 필요하며, 수술 중 총담관 손상을 피하기 위해 수술 전 진단이 중요


[1] Harrisone 22e, pg.2732-2733

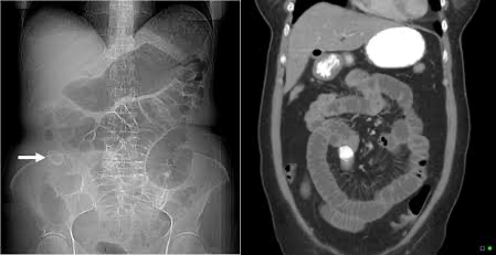
누공 형성 및 담석성 장폐색 (Fistula Formation and Gallstone Ileus)

  • 누공 (Fistula): 만성적인 염증으로 담낭이 주변 장기(주로 십이지장)와 유착된 후, 담석이 담낭벽을 뚫고 장기로 직접 통하는 비정상적인 통로를 형성

  • 담석성 장폐색 (Gallstone Ileus): 누공을 통해 장으로 빠져나간 2.5cm 이상의 큰 담석이 장관(주로 회맹판)을 막아 기계적 장폐색을 유발



[1] Harrisone 22e, pg.2732-2733

석회 담즙 및 도자기 담낭 (Limey Bile and Porcelain Gallbladder)

  • 석회 담즙 (Limey Bile): 담낭 내 칼슘염 농도가 높아져 담즙이 X-ray에서 뿌옇게 보이는 상태


  • 도자기 담낭 (Porcelain Gallbladder)

    • 정의: 담낭 벽이 도자기(porcelain) 모양으로 석회화 되는 경우를 가리킴

    • 원인: 담석에 의한 만성 염증으로 발생하는 것으로 생각됨

    • 진단: 복부 X-RAY나 CT (도자기 모양의 석회화가 관찰), 초음파

    • 치료: 쓸개절제술

      ** 담낭암 발생 위험이 높다고 알려져 예방적 절제술이 권고되어왔으나, 최근 연구에서는 그 연관성이 낮다고 보고되어 밀접한 추적 관찰도 가능


[1] Harrisone 22e, pg.2732-2733

기타 합병증

  • 담낭 축농 및 수종 (Empyema and Hydrops)

    • 축농 (Empyema)

      • 급성 담낭염이 진행되어 정체된 담즙에 세균이 증식하여 고름(pus)이 차는 상태

      • 고열, 심한 RUQ 통증, 뚜렷한 백혈구 증가 등 패혈증 양상을 보이며 즉각적인 수술 및 항생제 치료가 필요

    • 수종 (Hydrops)

      • 담낭관이 장기간 막히면서 담즙은 흡수되고 담낭 점막에서 분비되는 점액(mucocele)이나 맑은 액체(hydrops)로 담낭이 팽창하는 상태

      • 통증이 없거나 만성적인 RUQ 통증을 호소하며, 촉진 시 긴장된 종괴로 만져질 수 있음.


  • 담낭 괴저 및 천공 (Gangrene and Perforation)

    • 괴저 (Gangrene): 담낭의 심한 팽창, 혈관염, 당뇨 등으로 인해 담낭벽으로의 혈류 공급이 차단되어 조직이 괴사하는 상태

    • 천공 (Perforation): 주변 장막이나 유착에 의해 국소적으로 막히면 농양을 형성하고 , 복강 내로 터지면 범발성 복막염으로 진행. 사망률이 ~30%에 달함


[1] Harrisone 22e, pg.2732-2733

연습문제 12문제

0/12 완료

0개의 글


글 작성

** 제목만 보더라도 어떤 내용인지 알 수 있도록 완성된 문장으로 작성해주세요.
예시) 초음파 (X) → 초음파 사진에서 PDA 소견을 어떻게 알 수 있나요? (O)