학습하기

커뮤니티

구입하기

소화기(간담췌) (new) > 담낭 질환

담낭 용종

기본 개념

담낭 용종

  • 종류

    • non-neoplastic polyp: 콜레스테롤 용종 (m/c), 염증성 용종, 과형성 용종, adenomyomatosis

    • Neoplastic polyp: 선종

  • 진단

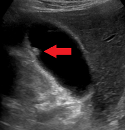
    • 복부 초음파 (DOC)
      담석과의 감별 필요 → 내강내 돌출, 체위 변경에도 이동하지 않음, posterior accoustic shadowing 없음

  • 치료

    • 쓸개절제술 적응증 (다음 중 하나 이상 만족)

      • 크기 10mm이상 & 50세 이상

      • 추적 관찰 중 크기 증가

      • 유증상 용종

      • 담석 동반

      • 크기 6-9mm이면서 담낭암의 위험인자가 있는 경우

        (60세 이상, PSC, 아시아인종, 4mm 이상의 담낭벽 비후를 포함한 무경성 용종)

    • 그외: 추적관찰 (3-6mon 간격 초음파)

    *한편, 해리슨 22판에서는 10-14mm 크기의 용종이면서 low risk radiologic feature를 보이는 경우에는 경과관찰을 해볼 수 있다는 consensus reference를 제시하고 있다.


[1] Harrison 22e, pg. 2734

[2] Management and follow-up of gallbladder polyps: updated joint guidelines between the ESGAR, EAES, EFISDS and ESGE, Eur Radiol. 2022

[3] 담낭 용종의 진단, 치료 및 추적관찰에 대한 최신 지견 (2023)

[4] 한국간담췌외과학회 진료지침 수립위원회, 담낭 용종 진료 권고안

추가 개념

담낭선근종증 (GB adenomyomatosis)

  • 정의: 염증으로 인해 점막이 비정상적으로 증식되고 점막층이 두꺼워지며 하부의 근층으로 함몰이 발생하여 그 내부에 콜레스테롤 결정이 축적되는 병변. 만성 담관염의 아형.

  • 의의: 비종양성 용종으로 수술적 치료가 필요하지는 않지만 담석을 동반하거나, 악성을 배제할 수 없는 경우에는 수술 필요

  • 분류

    a: localized, b: annular, c: segmental, d: diffuse

  • 영상 소견

    • 초음파: echogenic foci with comet tail artifact in thickened gb wall, anechoic intramural cystic lesion

    • MRI/MRCP : pearl necklace sign (intramural cysts)


연습문제 11문제

0/11 완료

2개의 글


by

태기태기

·

2025년 12월 30일

전에 배웠을때는 담낭크기가 1센치보다 크면 수술적응증이고 나이가 50세 이상이어야되는 조건은 없었던거같은데 새로 추가된 적응증인가요?

그렇다면 만약 담낭용종 크기가 1cm보다 크지만 나이가 50세 미만이고 그외 다른 쓸개절제술 적응증 없을때는 수술을 안한다는건가요?

👍 1


by

눈오리

·

2025년 8월 31일

유럽가이드라인에는 담낭결석동반을 위험요인으로 포함시키지 않는다는데 문제로 나오면 그래도 결석동반일때는 담낭절제술을 하는게 좋겠죠?

통일돤 가이드라인이 있나요?


글 작성

** 제목만 보더라도 어떤 내용인지 알 수 있도록 완성된 문장으로 작성해주세요.
예시) 초음파 (X) → 초음파 사진에서 PDA 소견을 어떻게 알 수 있나요? (O)