학습하기

커뮤니티

구입하기

내분비 (new) > 뇌하수체 전엽 질환

기능성 뇌하수체 종양 - Prolactinoma

기본 개념

고프로락틴혈증

  • 정의: 혈청 PRL > 20-25 μg/L (여성 <25, 남성 <20)

  • 원인 (Etiology)

    • 생리적 원인: 임신, 수유, 수면, 스트레스, 흉벽 자극, 성관계

    • 약물 유발성 (Drug-Induced): 가장 흔한 비종양성 원인

      • 항정신병 약물: 리스페리돈, 페노티아진, 부티로페논 (도파민 D2 수용체 차단)

      • 항우울제: SSRI, 삼환계 항우울제, MAO 억제제

      • 위장관 약물: 메토클로프라미드, 돔페리돈, H2 차단제

      • 항고혈압제: 베라파밀, 메틸도파

      • 기타: 에스트로겐, 아편유사제(Opioids)

    • 시상하부-뇌하수체 줄기 손상 (Stalk damage): 도파민 전달 차단

      • 종양(두개인두종, 수막종), 육아종(사르코이드증), 외상, 방사선 조사

      • 이 경우 PRL 수치는 보통 30-100 μg/L 범위 (Pseudoprolactinoma)

    • 뇌하수체 종양: 프로락틴종(m/c), GH 분비종양(혼합형), ACTH 분비종양

    • 전신 질환:

      • 만성 신부전: 배설 감소

      • 일차성 갑상선 기능 저하증: TRH 증가 → PRL 자극

      • 간경변, 간질 발작


  • 진단 접근 (Initial Evaluation)

    • 병력 청취: 임신, 약물 복용력, 두통, 시야 장애 확인

    • 배제 진단: 이차성 원인(약물, 신부전, 갑상선저하증 등) 배제 필수

    • 검사상 주의사항 (Pitfalls)

      • Hook effect: 거대선종인데 PRL 수치가 낮게(정상~경도 상승) 측정될 경우 → 희석 검사 필요

      • Macroprolactinemia: PRL이 IgG와 결합하여 배설이 안 돼 수치만 높고 증상이 없는 경우 → PEG 침전법으로 확인

    • 확진 검사: Sella MRI (이차성 원인이 배제된 경우)


[1] Harrison 22e, pg.3004-3005

프로락틴분비종양 (=Prolactinoma =Lactotroph adenomas)

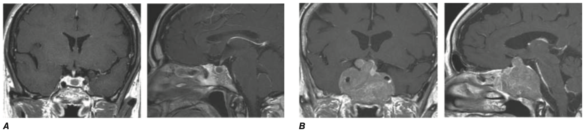
  • 정의: 가장 흔한 기능성 뇌하수체 종양. 여성(미세선종 흔함), 남성(거대선종 흔함)

  • 임상 양상

    • 여성: 무월경, 유즙분비, 불임 (미세선종 단계에서 조기 발견 많음)

    • 남성: 성욕감퇴, 발기부전, 불임, 여성형 유방 (거대선종으로 진행 후 발견 많음)

    • 거대선종 압박 증상: 두통, 시야 결손 (양이측 반맹), 뇌신경 마비


  • 진단 (Diagnosis & Classification)

    • 혈청 PRL > 200 µg/L: 프로락틴종 강력 시사 (이차성 원인 배제 전제)

    • 영상 검사: MRI evidence for pituitary mass (조영증강 MRI)

    • 분류 (Classification)


      • 미세선종 (Microadenoma): < 10 mm

      • 거대선종 (Macroadenoma): ≥ 10 mm

    • 거대선종 시 필수 추가 검사

      • 시야 검사 (Test visual fields)

      • 뇌하수체 예비능 검사 (Test pituitary reserve function)


  • 치료 및 관리 알고리즘 (Treatment Strategy)

    • 1차 치료: 도파민 작용제 (Dopamine Agonist) 시야장애 있어도 약물 치료가 우선! (TOC)

      • 카버골린 (Cabergoline): 1차 선택 약제. 주 1-2회 복용. 효과/순응도 우수.

      • 브로모크립틴 (Bromocriptine): 임신 원할 때 선호 (안전성 데이터 많음)

  • 치료 반응 평가 및 조절 (Monitoring & Decision)

    • 미세선종 (Microadenoma)

      • 도파민 작용제 용량 조절 (Titrate)

      • 혈청 PRL 수치에 따른 결정 (Serum PRL Decision Levels)

        • PRL < 20 µg/L: 유지 요법 (Maintenance Rx)

        • PRL 20–50 µg/L: 진단 재평가 또는 용량 증량 (Reassess/Increase dose)

        • PRL > 50 µg/L: 약제 변경(Change agonist) 또는 수술 고려(Consider Surgery)

    • 거대선종 (Macroadenoma)

      • 도파민 작용제 용량 조절 (Titrate)

      • 4개월 내 MRI 추적 검사 (Repeat MRI within 4 months)

      • 경과에 따른 대응 (Clinical Outcomes)

        • 종양 수축 & PRL 정상화: 매년 PRL 측정 및 MRI 추적 (Monitor annually)

        • 종양 수축 없음/성장/지속적 고프로락틴혈증: 약제 변경 또는 수술 고려 (Consider Surgery)

        • 약물 불내성 (Drug intolerance): 약제 변경 또는 수술 고려


  • 수술적 치료 (Surgery)

    • 적응증: 약물 저항성, 약물 불내성, 약물에도 불구하고 시야 결손 악화, 뇌졸중(apoplexy) 등 응급상황

    • 방법: 경접형동 접근법 (Transsphenoidal surgery)

  • 임신과 프로락틴종

    • 임신 시 종양 크기 증가 가능 (미세선종 <5%, 거대선종 15-30%에서 성장)

    • 임신 확인 시 도파민 작용제 중단 원칙. (단, 침습적 거대선종은 유지 고려)

    • 임신 중 종양 성장 의심 시(두통, 시야장애): 시야 검사 시행 (MRI는 꼭 필요한 경우만)


[1] Harrison 22e, pg.3006-3008, Figure 392-5

연습문제 12문제

0/12 완료

0개의 글


글 작성

** 제목만 보더라도 어떤 내용인지 알 수 있도록 완성된 문장으로 작성해주세요.
예시) 초음파 (X) → 초음파 사진에서 PDA 소견을 어떻게 알 수 있나요? (O)