학습하기

커뮤니티

구입하기

소아과 각론 (new) > 소아 근골격계 질환

소아 골절

기본 개념

소아 골절

1. 소아 골격 특징

  • 성장판 (Physis):

    • 구조적 약점 (골절 호발)

    • 손상 시 성장 장애 위험 (Salter-Harris 분류)

  • 두꺼운 골막 (Periosteum):

    • 혈류 풍부 → 빠른 골 유합, 왕성한 가골 형성

  • 높은 재형성 (Remodeling):

    • 어릴수록, 성장판에 가까울수록 큼

    • 회전 변형 (Rotational deformity)은 교정 안 됨

  • 유연성 (Plasticity):

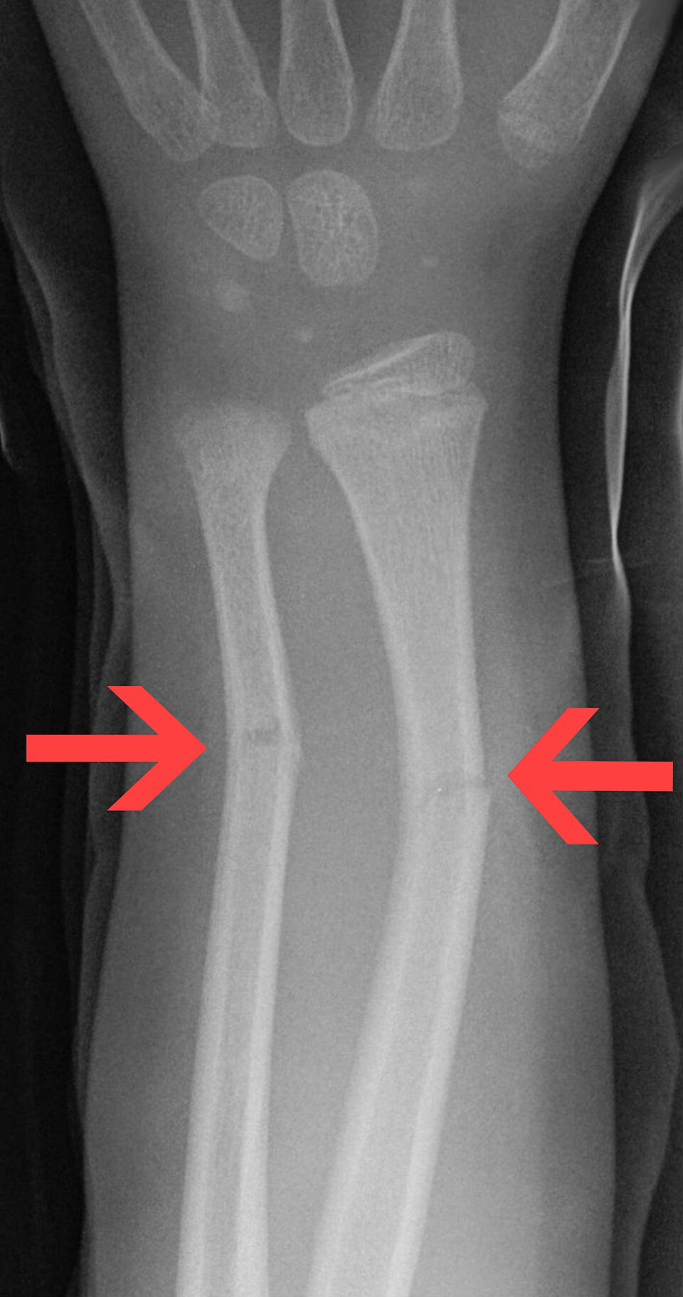
    • 융기 골절 (Torus Fx.): 뼈의 한쪽 피질(cortex)만 압축되어 볼록하게 튀어나오는(buckling) 골절

    • 생목 골절 (Greenstick Fx.): 뼈의 한쪽 피질은 부러지고(tension side failure) 반대쪽 피질은 휘어지는(bending/compression side intact) 골절


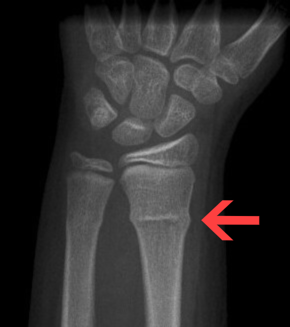
2. Salter-Harris 분류 (성장판 손상)

  • Type I (Slipped): 성장판 분리 (예후 최상)

  • Type II (Above): 성장판 + 골간단 (Metaphysis)

    • 가장 흔함

    • 예후 양호

  • Type III (Lower): 성장판 + 골단 (Epiphysis)

    • 관절 내 골절 (해부학적 정복 필요)

  • Type IV (Through): 골간단 + 성장판 + 골단

    • 관절 내 골절 (예후 불량)

  • Type V (Rammed): 성장판 압박 (Crush)

    • 예후 최악 (성장 정지 위험)


연습문제 7문제

7/7 완료

0개의 글


글 작성

** 제목만 보더라도 어떤 내용인지 알 수 있도록 완성된 문장으로 작성해주세요.
예시) 초음파 (X) → 초음파 사진에서 PDA 소견을 어떻게 알 수 있나요? (O)