학습하기

커뮤니티

구입하기

소아과 각론 (new) > 소아 중추신경계 질환

피부신경증후군

기본 개념

피부 신경 증후군 (Neurocutaneous syndrome) 개요

  • 병태생리

    • 중추 신경계와 피부는 모두 외배엽 기원

    • 외배엽의 분화과정에 결함이 생기면 특이한 피부증상과 신경계의 이상이 동반될 수 있음

    • 이를 피부신경 증후군, 또는 phakomatosis 라고 부름

  • 종류

    • 신경섬유종증

    • Sturge-Weber 증후군

    • von Hippel-Lindau syndrome

    • PHASE 증후군, ataxia telangiectasia, 선모반증후군, 색소실조증, Ito 멜라닌 저하증


[1] 홍창의 12e, pg. 1222-1226

신경섬유종증 (Neurofibromatosis)

  • 특징: 상염색체 우성 유전

  • 종류: NF1 (→neurofibromin 단백 이상), NF2 (→merlin/schwannomin 단백 이상)


[NF 1]

  • 진단: 다음 7개 양상 중 2개 이상 존재 시

    • Cafe-au-lait spot: 가장 특징적인 양상. 거의 모든 환자에서 관찰

      (사춘기 이전에는 최대지름 5mm, 사춘기 이후엔 최대지름 15mm 이상인 반점 6개 이상)

    • 주근깨: 겨드랑이 또는 서혜부

    • Lisch nodule: 홍채의 과오종, 2개 이상 관찰시 유의미

    • 신경섬유종 또는 얼기형 신경섬유종 (plexiform neurofibroma): 2개 이상

      • 신경섬유종: 고무처럼 탄성, 자주빛을 띤 작은 병변 → 사춘기 이후 발생

      • 얼기형 신경섬유종: 신경줄기가 광범위하게 굵어진 것 → 출생시, 안와/측두 부위 호발

    • 뼈병변: sphenoidal dysplasia, cortical thinning of long bones

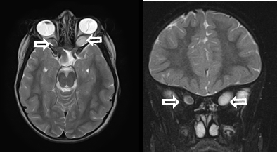
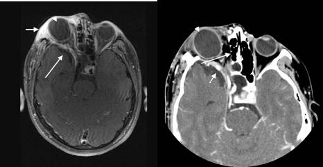
    • 시각신경교종 (Optic glioma)

    • 1도 이내 친척의 가족력

  • 기타 소견

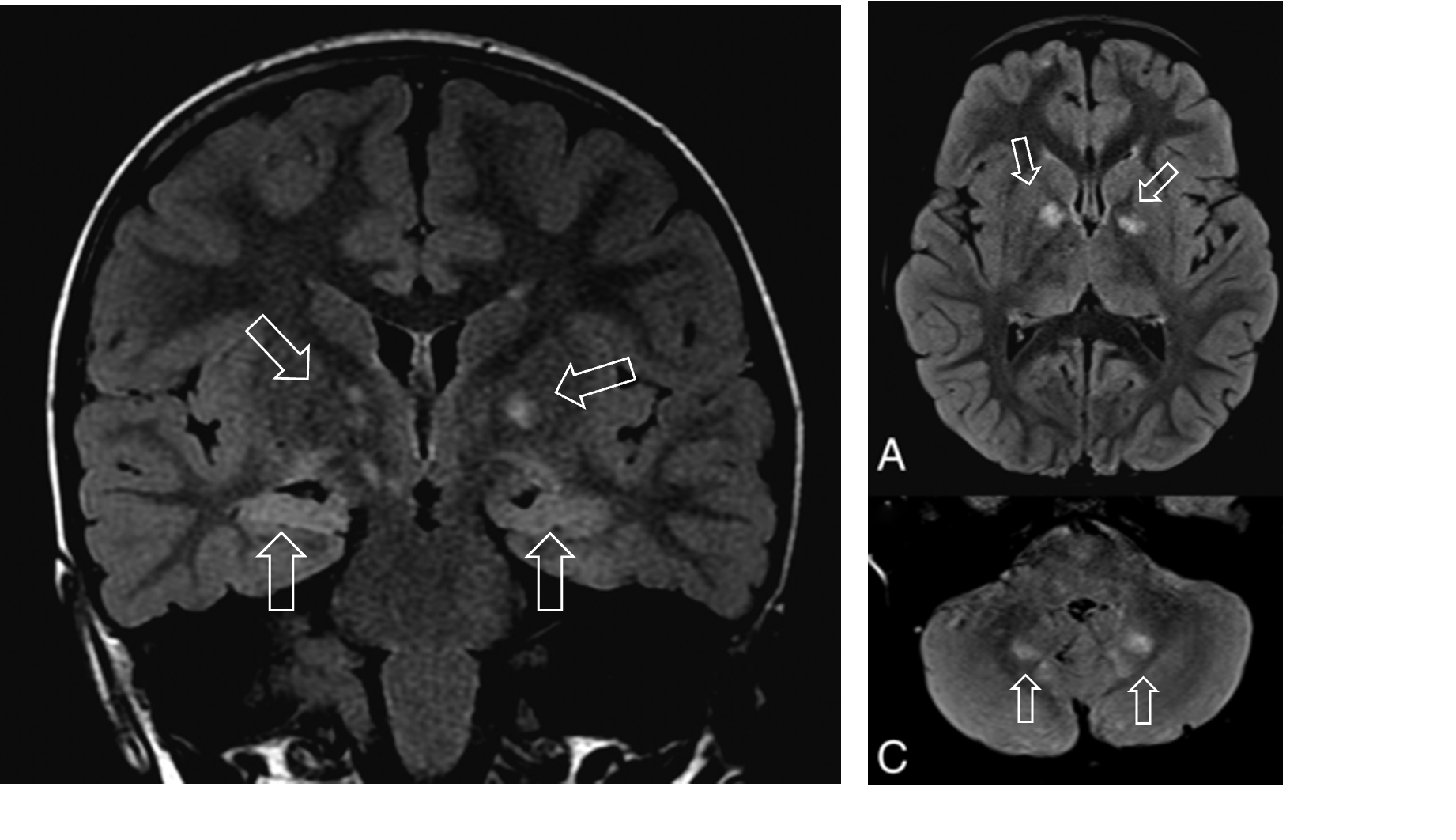
    • 뇌 MRI: 시각로, 뇌간, GP, thalamus, IC, 소뇌 등에 T2WI 신호 증강 병변

    • 신경학적증상: 학습장애 (30%), 발작 (8%)

    • 뇌혈관 침범: 동맥류, 모야모야병

    • 동반 질환: pheochromocytoma, rhabdomyoma, 백혈병, Wilm’s tumor


[NF2]

  • 진단기준: 다음 중 하나를 만족

    • 양측 vestibular schwannoma 가 존재

    • 편측 vestibular schwannoma 가 있는 환자가 NF-2를 가진 부모/형제/자식이 있거나 수막종/신경집종/신경교종/신경섬유종/후피막하 수정체 혼탁 중 두가지 이상이 있는 경우


[1] 홍창의 12e, pg. 1222-1226

결절 경화증 (Tuberous sclerosis)

  • 상염색체 우성 유전

  • 원인 유전자: TSC1 (→ hamartin 단백 이상), TSC2 (→ tuberin단백 이상)

  • 임상양상 및 진단


    • 확진: 주진단기준 2개 이상 or 주진단 1개 + 부진단 2개 or 유전자 돌연변이 확인

    • 주 진단기준

      • cortical dysplasia: cortical tuber, cortical white matter migration line

      • subependymal nodule: 측뇌실로 돌출되어 촛농모양으로 관찰,석회화 가능

      • subependymal giant cell astrocytoma (SEGA)

      • 얼굴의 혈관섬유종 3개 이상 or 이마의 판

      • 손발톱 주위의 섬유종 2개 이상

      • hypomelanotic macule 3개 이상, 지름 5mm 이상

      • shagreen patch: 허리엉치 부위의 오렌지 껍질 양상의 질감 병변

      • retinal hamartoma: mulberry / plaquelike hamartoma, depigmented patch

      • cardiac rhabdomyoma

      • renal angiomyolipoma

      • pulmonary lymphangioleiomyomatosis

    • 주요 증상: 영아 연축, 심부전/부정맥, 혈뇨 등

    • 치료

      • SEGA가 동반된 영아 연축 → everolimus 가 효과적

      • renal AML: 3cm 이상 크기가 커지거나 지속적 출혈이 있을 경우 색전술/mTOR inhibitor


[1] 홍창의 12e, pg. 1222-1226

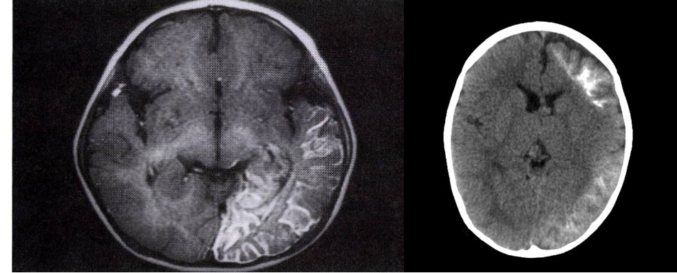
Sturge Weber 증후군

  • 주요 징후 (혈관이상 3가지)

    • 안면의 모세혈관 기형 (capillary malformation) → port-wine stain (V1을 따라 존재)

    • 뇌경막의 혈관종

    • 눈 혈관 이상 → 녹내장, 소눈증, 상공막혈관종

  • 원인 유전자: GNAQ 돌연변이

  • 임상양상: 발작 (병변 반대쪽의 부분발작), 편마비, 뇌졸중양 증상, 발달지연

  • 영상 소견: 뇌경막 혈관종, 동측의 뇌위축, 백색질이상, 뇌실질의 석회화



[1] 홍창의 12e, pg. 1222-1226

연습문제 8문제

8/8 완료

0개의 글


글 작성

** 제목만 보더라도 어떤 내용인지 알 수 있도록 완성된 문장으로 작성해주세요.
예시) 초음파 (X) → 초음파 사진에서 PDA 소견을 어떻게 알 수 있나요? (O)