백혈병 (leukemia)
백혈병 개요
발생 기전: 조혈모세포가 성숙되는 어느 단계에서 변이가 발생, 조절이상의 증식과 클론성 증폭이 일어남으로써 발생 → 미성숙 모세포들이 골수를 빠져나와 말초혈액에서 발견
임상양상
혈구감소증으로 인한 증상 (창백, 점상출혈, 감염)
백혈구 증가증 (>100,000)으로 인한 hyperviscosity syndrome (blurry vision, 신경학적 증상, 점막 출혈, intravascular thrombosis, 망막의 특징적인 병변 등): AML/CML의 blast crisis, PV, ET, myeloproliferative disorders, MM등 에서 동반
백혈병 세포의 기관 침범, 증식으로 인한 증상 (림프절비대, 비장비대, 간비대, 골통/관절통, 중추신경계증상)
AML: 피하결절, blueberry muffin rash, 잇몸 비대 (M4,M5), DIC (M3), 녹색종 (M4,M5), 과립구육종 등
DIC: APML에서 호발
Tumor lysis syndrome
분류
급성 백혈병
급성 림프모구 백혈병
급성 골수성 백혈병
만성 골수성 백혈병
AML vs CML
acute vs chronic presentation
미성숙 골수모세포 (blast)의 증식 vs 성숙단계의 골수계 세포들의 증식
** AML: 조혈모세포에서 골수성 계열로 막 분화한 골수 모세포(myeloblast) 단계에서 돌연변이 발생 → 성숙한 백혈구로 자라나지 못하는 분화정지 상태 → 모세포들이 조절되지 않는 복제를 하며 골수를 채움 → 말초혈액까지 나옴
** CML: 조혈모세포 자체의 유전자 변이 발생, 골수계 세포 과잉 생산 → 분화 능력은 잃지 않음(성숙 과정은 정상적으로 진행) → 골수에서 모든 단계의 세포가 과잉생산됨 → 말초혈액까지 나옴
**즉, 미성숙세포/골수아세포/골수모세포 는 blast 계열로 AML에서 증가하며, 전골수세포/골수세포/늦골수세포는 CML에서 증가
다양한 유전자 돌연변이 vs 주로 필라델피아 염색체가 주요 원인
골수, 말초혈액 Blast >20% vs 말초 혈액 여러단계의 골수계 백혈구 증가
급성 림프모구 백혈병 (ALL)
정의: 림프구 계열의 미성숙 백혈구가 골수에서 비정상적으로 증식하여 정상적인 혈액 세포 생성을 방해하는 혈액암
세포학적분류
B-ALL: B 림프구에서 발생하는 백혈병으로, 소아에서 호발, 전체 ALL의 약 75-80%를 차지
T-ALL: T 림프구에서 발생하는 백혈병으로, 종종 청소년이나 젊은 성인에게서 발견되며, thymus에서 종괴를 형성
검사 및 진단
혈액검사: uric acid 증가, LDH 증가, K 증가, Ca 감소, P증가, Cr 증가 등 (Tumor lysis syndrome 유발)
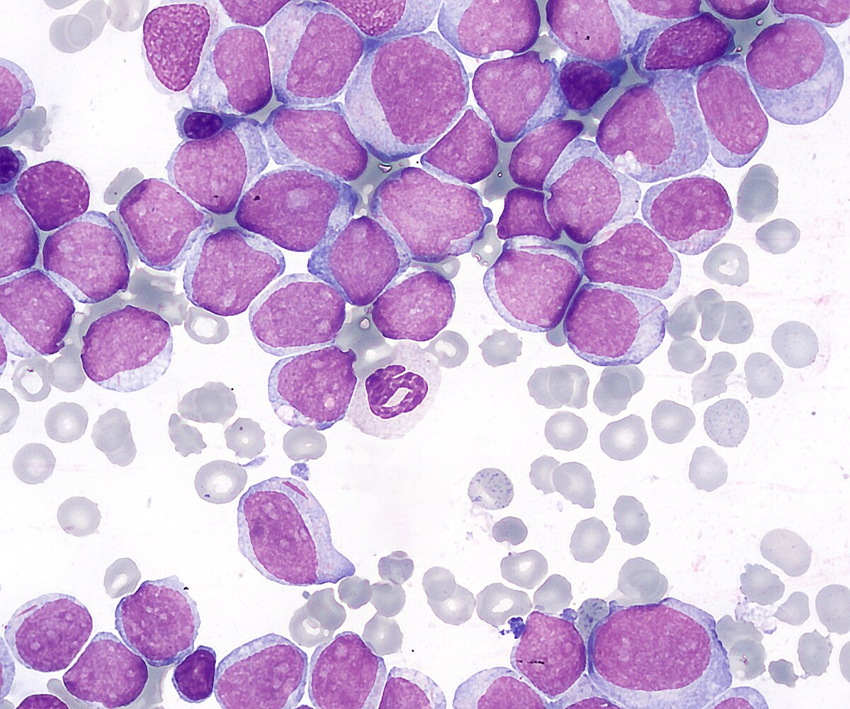
말초혈액도말검사: 림프모세포(lymphoblast)의 출현

immature cells with scant cytoplasm and large nuclei that contain nucleoli
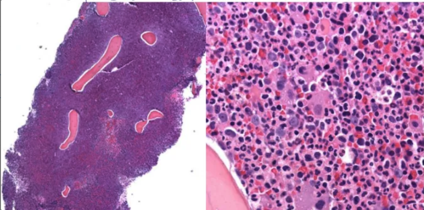
확진: 골수천자 검사상 BM lymphoblast ≥ 20~25% 확인
BM biopsy: complete replacement of hyper cellular marrow by blasts,
small round blue cell tumor면역화학염색
ki-67증가, TdT+, PAS ±
B-ALL: CD10, CD19, CD20, CD79a
T-ALL: CD1a, CD3, CD4, CD5, CD7, CD8
흉부 X선 검사: 종격동 종양 유무 확인
뇌척수액 검사: 발병 초기 CNS 침범 유무 확인위해 반드시 시행
염색체 검사: 진단, 치료, 예후 판정을 위해 시행
B-ALL: t(9:22), t(1:19), t(11:v), t(12:21), t(17:19), t(5:14), t(8:14), t(8:22), t(4:11)
T-ALL: t(1:14), t(8:14), t(11:14), t(7:10), t(7:9)
ALL 의 예후 불량 인자:
1) 1세 이하 또는 10세 이상
2) 남아
3) 초기 말초혈액 WBC >50000
4) t(9;22), t(4;11)
4) 간비대, 비장비대가 심한 경우
5) hypodiploidy <45
6) CNS 침범
7) 상부 종격 종괴 / T-ALL, Burkitt’s lymphoma (L3)
8) 초기 치료에 반응이 느린 경우
ALL의 예후 양호 인자:
Hyperdiploidy (>50), TEL/AML1 translocation (t(12:21)), B-precursor cell, 초기 치료에 반응이 빠른 경우(14일 이내 M1골수가 되는 경우)
치료
관해 유도 치료
Prednisone + vincristine + L-asparaginase ± anthracycline (daunorubicin or doxorubicin)
공고요법 및 관해 유지
consolidation: cyclophosphamide + cytarabine + 6-MP
(high risk인 경우 vincristine + asparaginase 추가)
maintenance: 6-MP + MTX (+ vincristine, prednisone)
중추신경계 예방 치료
*예방하지 않을 경우 50%이상의 환자에서 중추신경계 재발
척수강 내 화학요법: intrathecal MTX (± cytarabine, corticosteroid)
두개강 방사선요법: 소아에서 장기 신경 장애 초래해서 권장되지 않음
조혈모세포이식
표준 ALL의 첫 관해때는 보통 시행하지 않음. 재발 후 두번째 관해를 이루었을 때나, 일부 고위험군의 첫번째 관해시에 시행
보조요법
감염치료, 수혈 등
급성 골수성 백혈병 (AML)
정의: 골수성 계열의 미성숙 백혈구가 비정상적으로 증식하여 정상적인 혈액세포 생성을 방해하는 진행이 빠른 혈액암
분류
FAB 분류

WHO 분류 (분자유전학적 분류)
진단 및 검사
말초혈액검사: 빈혈, 혈소판 감소, 백혈구 증가/감소/정상
말초 혈액 도말: PBS에서 myeloblast 가 출현
myeloblast: large cell with round-oval nucleus, fine chromatin, 2-4 nucleoli, scanty cytoplasm with fine granules
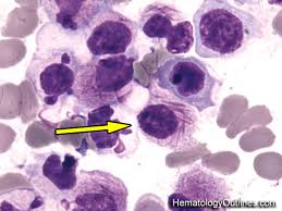
Auer rod: 골수모세포의 세포질 내 azurophilic granule이 융합되어 만들어지는 막대 모양의 구조물 (골수성 계열임을 시사) → APL(M3)에서 가장 흔하게 동반되나, M2,M4에서도 자주 발견
확진: 골수검사에서 myeloblast ≥ 20% or 특정한 genetic abnormality가 확인되는 경우
소아 AML에서 흔히 동반되는 염색체 이상-유전자변이
t(8:21): RUNX1-RUNX1T1 (AML1/ETO), 예후 양호
Inv (16): CBFB/MYH11, 예후 양호
t(15:17): PML/RARA, 예후 양호 → FAB M3 (Acute premyelocytic leukemia)
11q23 염색체 변이: KMT2A 재배열, 예후 불량
FLT3 유전자 변이: FLT3-ITD, 예후 불량
del(7q): 예후 불량
면역조직화학검사: MPO +, SBB+, NSE (M4,M5 양성), PAS -, CD117+, CD33+
치료
안정화: 혈소판 10,000~20,000 이상 유지, Hb 7g/dL이상 유지, 발열시 경험적 항생제, hyperleukocytosis (>100,000) 일 경우 WBRT, leukapheresis, DIC 치료 (heparin, FFP, PLT)
관해 유도 치료
cytarabine + anthracycline(daunorubicin)
APL: ATRA + ATO
Complete Remission (CR)의 기준:
BM blast <5%, no blasts with auer rods, neutrophil>1000, PT >100,000
공고 및 유지치료
저위험군(양호 예후인자): cytarabine
중/고위험군 (불량 예후인자): HSCT
급성 전골수성 백혈병 (Acute premyelocytic leukemia, APL)
정의: retinoic acid 수용체와 관련된 유전자 재배열 (t(15:17))이 특징인 급성 골수성 백혈병의 한 아형으로 전골수성 세포(premyelocyte)의 증식을 보임
특징
Faggot cell: auer rod가 다발로 뭉쳐져 있는 비정상 세포가 특징적으로 발견 (premyelocyte 의 지표)
ATRA (all-trans-retinoic acid)치료에 매우 잘 반응
DIC: 발병, 진단, 관해 초기에 DIC 및 그로 인한 두개 내 출혈 발생 위험이 큼
→ 적극적인 혈소판, FFP 수혈 필요
만성 골수성 백혈병 (CML)
정의: 조혈모세포(HSC)의 유전적 이상으로 과립구 계열의 비정상적인 생성이 발생하는 혈액암
분류
성인형: CML (90%)
연소형: juvenile myelomonocytic leukemia
[만성 골수성 백혈병 (CML, 성인형)]
병태생리: 필라델피아 염색체의 이상 [t(9:22), BCR-ABL 융합유전자]
임상양상 및 특징
증상 없이 건강검진으로 우연히 발견 (m/c)
발열, 피로, 식욕부진, 체중감소 (wasting symptom)
비장비대 (복부 통증, 팽만감), 림프절비대
백혈구 증가증, 약간의 빈혈, 혈소판 증가/감소
high basophil production: histamine 과분비 (설사, 가려움, 홍조, 소화성궤양)
경과: 3-4년기의 만성기 (성숙세포의 과다 증식) → 진행시 점차 미성숙 세포가 나타남 → 가속기 또는 blast crisis로 진행 (혈구수의 급증, 말초혈액의 모세포 증가: 급성 백혈병과 구별되지 않음)
검사
PBS: left shifted hematopoiesis with neutrophil predominance (band cell, myelocyte, metamyelocyte, promyelocyte 등 과립구 분화 모든 단계의 세포가 보임)

BM: hypercellular, marked myeloid hyperplasia (M/E ratio 15~20:1), blast<5%
치료
만성기 1차 치료: TKI - Imatinib (Glivec), dasatinib, nilotinib
가속단계/Blast crisis
가속단계
PB 또는 BM의 blast: 10-19%
PB basophil ≥ 20%
persistent thrombocytopenia / thrombocytosis
increasing spleen size & WBC count unresponsive to therapy
Blast crisis
PB또는 BM blast ≥ 20%
extra medullary blast proliferation
BM biopsy: large foci/clusters of blasts
[연소형 골수단구 백혈병]
정의: RAS 신호전달 경로의 유전적 이상으로 골수구와 단핵구가 비정상적으로 과다 증식하는 특징을 보이는, 주로 2~4세 이하의 영유아에게 발생하는 드물고 공격적인 혈액암
임상양상 및 특징
말초혈액, 골수: 단구, 단구의 전구세포 증가. 모세포 적음
필라델피아 염색체 음성
치료: 동종 조혈모세포 이식
1개의 글
** 제목만 보더라도 어떤 내용인지 알 수 있도록 완성된 문장으로 작성해주세요.
예시) 초음파 (X) → 초음파 사진에서 PDA 소견을 어떻게 알 수 있나요? (O)