학습하기

커뮤니티

구입하기

소아과 각론 (new) > 소아 감염질환

기타 세균 감염

기본 개념

선천 매독 (Congenital Syphilis)

  • 원인균: Treponema pallidum

  • 전파 경로: 임신 중 태반을 통해 태아에게 전파

  • 조기 선천성 매독 (Early, <2세)

    • 비염 (Rhinitis, snuffles): 생후 1개월 내 발생, 코막힘 및 콧물.

    • 피부 병변: 생후 1-2주경 발생. 홍반성 반점구진, 수포-대수포성 병변, 이후 표피 탈락. 생식기 주변 편평 콘딜로마.

    • 골격 병변

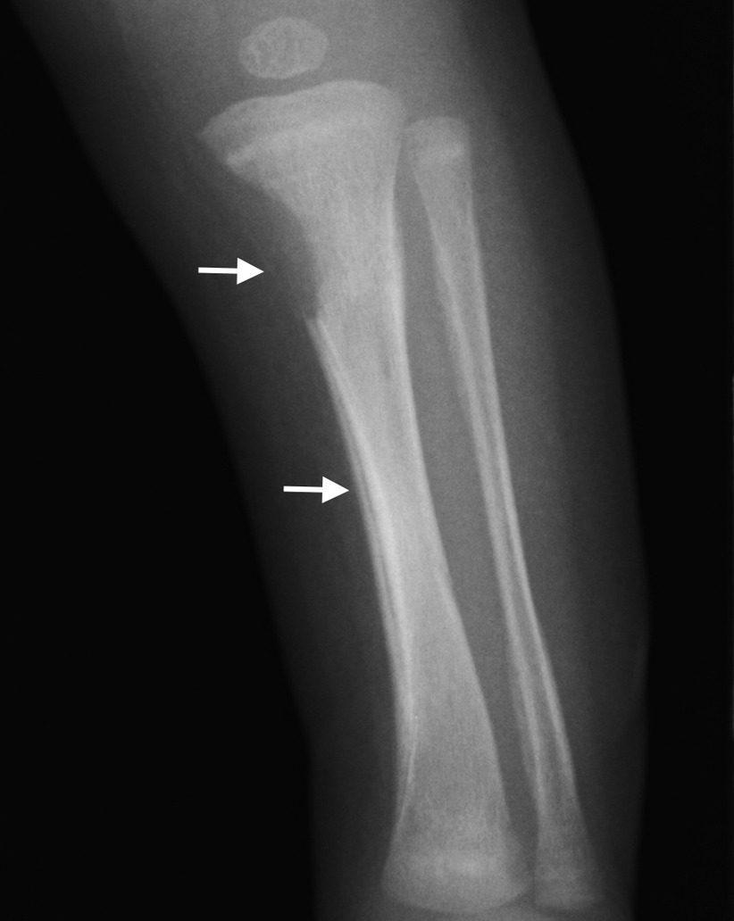
      • 골연골염 (Osteochondritis): 손목,팔꿈치, 발목, 무릎에 발생. 통증으로 인한 활동 제한 (Parrot 가성마비).

      • 골막염 (Periostitis): X-ray에서 골막 반응 관찰.

      • Wimberger 징후: 상부 경골(tibia)의 골간단 내측부 파괴.

    • 전신 증상: 발열, 빈혈, 간비종대/황달/간수치 상승 등

  • 후기 선천성 매독 (Late, >2세)

    • Hutchinson 삼주징 (Hutchinson's triad): 사이질 각막염, Hutchinson 치아, 제8뇌신경 손상(청력소실).

    • 치아 이상: Hutchinson 치아 (상내측 영구치 앞니가 톱니/못 모양으로 변화), 오디모양 어금니 (mulberry molars).

    • 눈 이상: 사이질 각막염 (Interstitial keratitis).

    • 코 이상: 안장코 (Saddle nose).

    • 기타: 이마뼈돌출 (Olympian brow), Clutton 관절 (양측성 무릎 관절의 무통성 synovitis) 등

  • 진단 및 검사

    • 현미경 검사: 피부, 점막 등 검체의 암시야 현미경/형광 현미경 검사

    • 매독혈청검사


  • 치료

    • 임산부의 VDRL/RPR 양성, TP-PA/FTA-ABS 음성: 영아에 대한 검사/치료 불필요

    • 임산부의 VDRL/RPR 양성이고 TP-PTA/FTA-ABS 양성 → 영아의 VDRL/RPR 음성, 진찰결과 정상:

      • 임산부가 치료받지 않았거나, 치료받고 3주이내 분만하였거나, 재감염이나 재발의 근거가 있는 경우(4배이상 역가증가): Benzathine penicilin G IM 1회

    • 임산부의 VDRL/RPR 양성이고 TP-PTA/FTA-ABS 양성 → 영아의 VDRL/RPR 양성이나 역가가 임산부의 4배가 안되고, 진찰 소견 정상

      • 임산부가 임신전에 치료를 받은 경우 검사나 치료 불필요

      • 임산부가 분만 4주 이전에 페니실린 치료를 받은 경우: Benzathine penicilin G IM 1회

      • 임산부가 치료받지 않았거나, 치료받고 4주 이내 분만하였거나, 비페니실린계 약물로 치료받았거나, 재발이나 재감염의 증거가 있는 경우

        → CBC, PLT, CSF protein/VDRL 정량검사, long bone Xray 검사

        → 정상일 경우 Benzathine penicilin G IM 1회
        → 비정상일 경우 aqueous penicillin G 투여

    • 임산부의 VDRL/RPR 양성이고 TP-PTA/FTA-ABS 양성 → 영아의 VDRL/RPR 양성, 역가가 임산부의 4배이상이거나, 진찰 소견 비정상
      → CBC, PLT, CSF protein/VDRL 정량검사, long bone Xray 검사
      → 비정상 확인시 aqueous penicillin G 투여

렙토스피라증 (Leptospirosis)

  • 원인균: Leptospira 속의 스피로헤타.

  • 특징: 인수공통감염병으로, 오염된 물이나 흙, 감염된 동물 (쥐)의 소변 접촉 (상처, 점막, 결막) 을 통해 전파됨.

  • 임상 양상:

    • 경과: 7-12일 잠복기 후 패혈증기(1기)와 면역기(2기)의 이상성(biphasic) 경과를 보임.

    • 증상: 급성 발열, 오한, 두통, 근육통, 위장관증상, 신부전, 간부전, 심근염, 출혈 등

    • 황달 렙토스피라증 (Weil병, 10%): 황달, 신부전, 출혈 경향을 보임.

    • 비황달 렙토스피라증 (90%): 황달 없이 회복됨.

  • 진단

    • 혈청검사 : 현미경 응집 반응법 (MAT)이 표준 검사법임. 급성기와 회복기 혈청에서 항체가가 4배 이상 증가 시 진단 가능

    • ELISA, PCR 도 사용 가능

  • 치료:

    • 저절로 회복되는 경우가 많음

    • Penicillin G, Ceftriaxone, Doxycycline(8세이상) 을 발병 7일 전에 사용할 경우 병의 경과/중증도 감소

재귀열 (Relapsing Fever), 라임병 (Lyme disease)

[재귀열]

  • 원인균: Borrelia 속의 스피로헤타.

  • 전파: 이(louse-borne)에 의한 유행성 재귀열과, 진드기(tick-borne)에 의한 풍토성 재귀열로 나뉨.

  • 임상 양상: 발열기와 무열기가 주기적으로 반복되는 것이 특징임. 발열, 오한, 두통, 근육통, 관절통 등.

  • 치료: Tetracycline 또는 Doxycycline이 주 치료제임. 치료 시 Jarisch-Herxheimer 반응이 나타날 수 있음

[라임병]

  • 원인균: Borrelia burgdorferi

  • 전파: 참진드기(Ixodes)에 의해 전파되는 인수공통감염병

  • 임상 양상 (3단계):

    • 1단계 (국소 감염): 특징적인 유주성 홍반(Erythema migrans)이 나타남

    • 2단계 (파종성 감염)

      • 수일-수주 후 진드기가 물리지 않은 곳에서 2차 병소가 다발적으로 발생 (2차 유주 홍반은 최초 병소에 비해 작고, 발열, 근육통, 결막염, 림프절 비대 동반)

      • 신경계 증상(뇌수막염, 뇌신경 마비), 포도막염, 심장 증상(방실 전도 장애) 등

    • 3단계 (만성 감염): 만성 관절염, 만성 위축성 말단 피부염

  • 진단: 임상 증상과 혈청학적 검사(IgM, IgG 항체),

  • 치료

    • 초기질환: Doxycycline (9세 이상 소아), Amoxicillin(8세 미만 소아)

    • 수막염, 고도방실차단: ceftriaxone or penicillin

마이코플라스마

  • 특징

    • 세포벽이 없어 β-lactam 계열 항생제에 반응하지 않음

    • 학동기 소아와 젊은 성인의 호흡기 감염의 흔한 원인

  • 임상 양상

    • 호흡기 증상: 인두염, 기관지염, 비정형 폐렴이 가장 흔함. 점진적으로 시작되는 마른 기침이 특징적임.

    • 호흡기 외 증상: 피부 발진(다형 홍반 등), 신경계 증상(뇌수막염, 횡단척수염, GBS, ataxia), 심근염, 관절염, 용혈 빈혈 등 다양한 장기를 침범할 수 있음.

  • 진단: PCR 검사와 혈청학적 검사를 병합하여 판단

    • mycoplasma 특이 IgM은 거짓 양성/거짓 음성률이 높음, 10일-3주 이상 간격을 두고 측정한 IgG 항체가 4배 이상 증가한 경우 진단이 가능

    • cold agglutinin 은 약 50%에서 검출되지만 비특이 항체이며, 1:64 미만의 역가는 다른 바이러스감염시 증가할 수 있음

  • 치료:

    • 주 치료제: Macrolide 계열 (TOC), Doxycycline(8세이상), levofloxacin

    • 치료 기간: 보통 10-14일간 투여

클라미디아 감염

  • 클라미디아 트라코마티스 (Chlamydia trachomatis)

    • 전파: 주로 성 접촉을 통해 전파되며, 출산 시 신생아에게 수직 감염될 수 있음.

    • 질환

      • 트라코마 (Trachoma): 눈에서 눈으로 전파, 파리가 흔한 매개체. 어린 소아기 소포성 결막염, 결막 흉터, 안검 내반, 각막 궤양 발생. 실명에 이를 수 있음.

      • 생식기 감염: 남성에서는 요도염, 부고환염, 여성에서는 자궁경부염, 골반염 등을 유발하며 불임의 원인이 될 수 있음. 여성에서 무증상 감염이 흔함.

      • 신생아 감염: 결막염(생후 5-14일), 폐렴(생후 1-3개월)을 유발

        • 결막염: 결막의 경한 발적~화농분비물 까지 다양, 코인두 감염 동반 흔함. 임균 결막염과 반드시 감별

        • 폐렴: 지속적 기침, 빈호흡이 있으나 열은 없음. 수포음은 들리나 천명이 들리지 않음

          (열, 천명이 없는 것이 RSV와의 감별점, 말초 호산구 증가증 >400/ul이 독특한 소견)

    • 진단: 핵산증폭검사(NAAT)가 가장 민감하고 특이적인 표준 검사법임.

    • 치료: Azithromycin 또는 Erythromycin


  • 클라미디아 폐렴

    • 특징: 지역사회 획득 비정형 폐렴의 주요 원인균 중 하나임 (약 2-19%).

    • 임상 양상: 인두염으로 시작하여 기관지염, 폐렴으로 진행 가능. 기침, 발열, 근육통 등 증상이 다양하며 경증부터 중증까지 나타날 수 있음.

    • 진단: 미세면역형광법(MIF)으로 IgM, IgG 항체가를 측정하거나 PCR 검사를 시행함.

    • 치료: Macrolide

리케차 감염 (Rickettsial infection)

  • 쯔쯔가무시병 (Scrub Typhus)

    • 원인균: Orientia tsutsugamushi

    • 전파: 털진드기 유충(chigger)에 물려서 전파됨

    • 임상 양상: 발열, 두통, 근육통, 발진. 특징적으로 가피(eschar)가 관찰됨. 중증 시 혈관염, 혈관 누출로 인한 합병증 발생 가능

    • 진단: 임상 증상(가피)과 혈청학적 검사를 통해 진단

    • 치료: Doxycycline(TOC)

  • 발진티푸스 (Typhus group)

    • 종류

      • 유행성 발진티푸스: Rickettsia prowazekii가 원인균, 이(louse)에 의해 전파됨.

      • 발진열 (Murine typhus): Rickettsia typhi가 원인균, 쥐벼룩에 의해 전파됨.

    • 임상 양상: 급성 발열, 두통, 전신 발진이 특징임.

    • 치료: Doxycycline 또는 Tetracycline으로 치료



[1] 홍창의 12e, pg 463 - 476

연습문제 19문제

0/19 완료

0개의 글


글 작성

** 제목만 보더라도 어떤 내용인지 알 수 있도록 완성된 문장으로 작성해주세요.
예시) 초음파 (X) → 초음파 사진에서 PDA 소견을 어떻게 알 수 있나요? (O)