학습하기

커뮤니티

구입하기

소아과 총론 (new) > 아동학대

아동학대

기본 개념

아동학대

  • 모든 소아 외상 환자에서는 아동 학대를 의심

  • 거짓말 (사람마다 다른 진술, 구체적인 내용이 진술이 반독되면서 달라지는 경우)은 항상 아동학대 가능성을 시사


아동학대 선별도구

  • TEN-4

    • 4살 이하에서 Torso, ear, neck 부위의 멍이 존재할 경우 혹은

    • 4개월 미만에서 멍이 하나라도 있는 경우

  • Sentinel injury

    • 어린 연령에서 뼈가 튀어나온 부위(무릎, 이마)가 아닌 부위의 멍, 입안의 상처, 화상

    • 서로 다른 시기에 발생한 multiple bruising

    • 발달 단계와 맞지 않는 손상

    • 2세 미만 머리 손상이나 장골 골절 환자


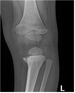
아동 학대를 의심해야하는 골절

  • 매우 드물거나 불가능한 골절

    • 다발성 두개골 골절

    • 다발성 늑골 골절 (shaken baby syndrome)

  • 모양 자체로 의심스러운 골절

    • 걷지 못하는 아이의 팔/다리 나선형 골절

    • 골간단모서리 골절 (metaphyseal corner fracture, “bucket handle”fracture)

  • 오래된 골절, 보호자가 언제 생겼는지 모르는 골절 (가골이 보임)

  • 드문 부위 골절


Shaken baby syndrome (abusive head trauma)

: 영아나 어린 아동이 심하게 흔들리거나, 흔들린 후 head trauma가 발생하는 등 반복적인 가속-감속 손상으로 인해 발생하는 뇌 손상

jkns-2021-0297f1.jpg

TRIAD : SDH (양측성, 다층성,서로 다른 시기 가능) + 장골/늑골 골절 + 망막 출혈 (bilateral diffuse multilayer retinal hemorrhage)


연습문제 5문제

0/5 완료

0개의 글


글 작성

** 제목만 보더라도 어떤 내용인지 알 수 있도록 완성된 문장으로 작성해주세요.
예시) 초음파 (X) → 초음파 사진에서 PDA 소견을 어떻게 알 수 있나요? (O)