학습하기

커뮤니티

구입하기

소아과 총론 (new) > 소아의 영양 및 대사

비타민 및 미량원소

기본 개념

지용성 비타민 (ADEK)

  • 비타민 A

    • 기능: 시각 유지(로돕신 형성), 상피세포 성장 및 분화, 면역 기능.

    • 결핍증: 야맹증, 안구건조증, 각막연화증, 성장 지연.

    • 과다증: 급성(두통, 구토), 만성(뇌압 상승, 간 손상, 탈모).

  • 비타민 D

    • 기능: 칼슘과 인의 흡수 촉진 및 대사 조절, 뼈 건강 유지.

    • 대사 과정: 피부 (자외선, cholesterol → cholecalciferol) → 간(25-OH-D, 저장형) → 신장(1,25-(OH)2D, 활성형)

    • 결핍증: 구루병(Rickets)


  • 비타민 E

    • 기능: 강력한 항산화제. 세포막 보호, 신경 및 근육 기능 유지.

    • 결핍증: 미숙아에서 용혈성 빈혈, 신경근육병증(ataxia, areflexia).

  • 비타민 K

    • 기능: 혈액응고인자(II, VII, IX, X) 및 Protein C, S 합성.

    • 결핍증: 신생아 출혈성 질환, 혈액응고시간(PT) 연장. 모든 신생아에게 예방적 투여가 필수


[1] 홍창의 12e, pg 76-82

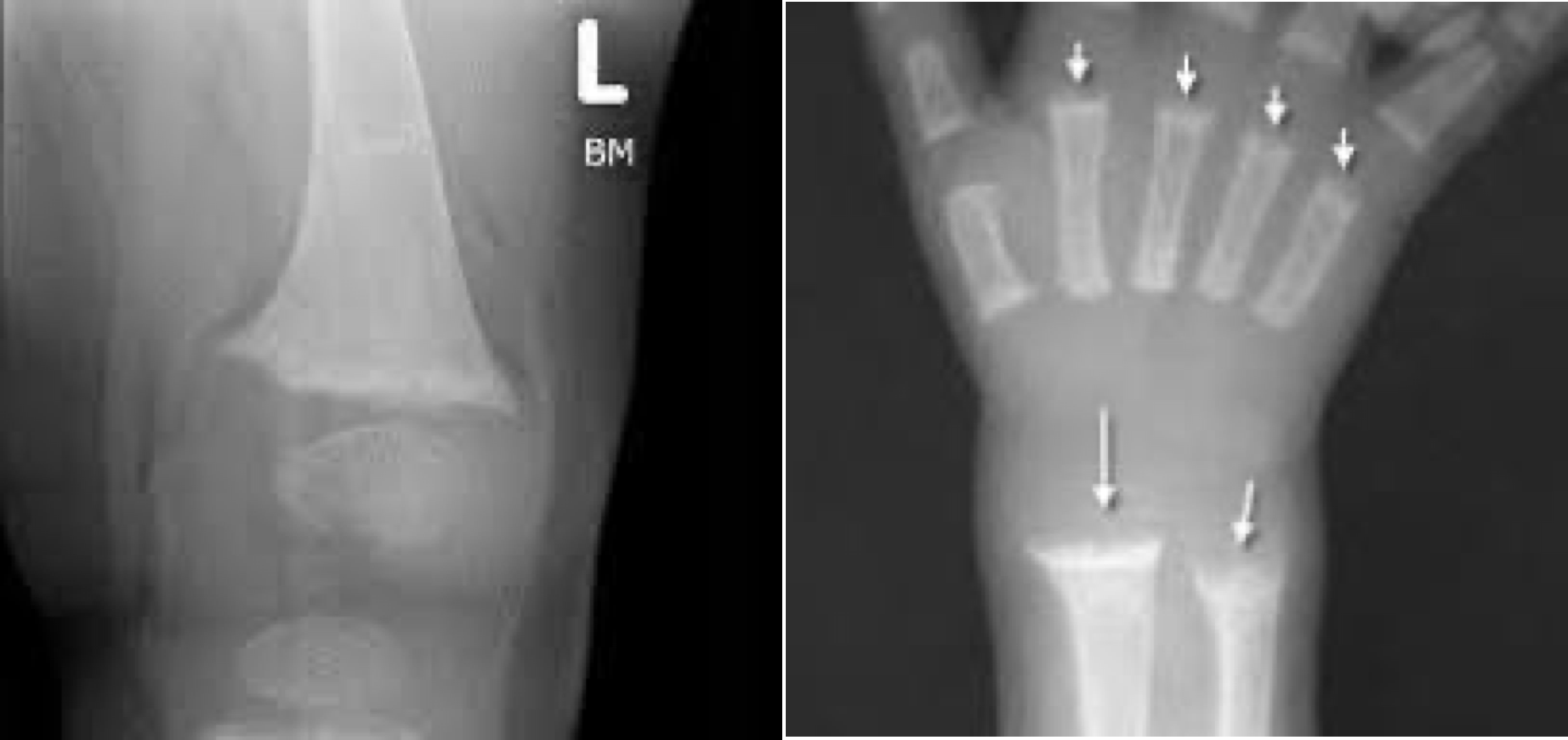
구루병 (Rickets)

  • 임상양상

    • 두개골 연화

    • 구루병 염주 (rachitic rosary)

    • metaphyseal cupping/widening (“champagne glass deformity”)


    • 혈액검사 시 ALP 상승, 25-OH-D 감소, 저인산혈증

  • 분류


    • 비타민 D 결핍성 구루병: 섭취가 부족하고 피부에서 합성이 부족한 영아기에 대부분 발생

      • 비타민 D3 (cholecalciferol) 경구/근육주사

      • 치료시 1주 내에 생화학 검사 정상화, 방사선 소견은 2-4주내에 치유되기 시작하고 수개월 내 정상화

    • 비타민 D 의존성 구루병: Type I (신장 1α-hydroxylase 결핍), Type II (비타민 D 수용체 결함)

      • type 1A: 1a-hydroxylase 유전자의 결함에 의해 발생

        • 구루병 (생후 첫 2년 이내 발병) + high 25 (OH)D3 + low 1,25 (OH)2D3

        • 1,25 (OH)2D3 (calcitriol) 장기치료에 호전, 초기 치료에는 칼슘 충분히 섭취

      • type 1B: 25-hydroxylase 유전자 결함에 의해 발생

        • 구루병 + low 25 (OH)D3 + 정상 1,25 (OH)2D3

        • 고용량 비타민 D2 치료

      • type 2: 비타민 D 수용체 유전자 돌연변이로 인해 말단 장기에서 1,25 OHD에 대한 저항성을 보임

        • 심한 탈모증, 구루병 + 정상 25 OHD + very high 1,25 (OH)2D3

        • 초기 치료: 3-6개월간 고용량 비타민 D 치료 + 경구 칼슘제


수용성 비타민



  • 비타민 B1 (Thiamine): 결핍 시 각기병(beriberi), Wernicke 뇌병증.

  • 비타민 B2 (Riboflavin): 결핍 시 구각염, 설염, 지루성 피부염.

  • 비타민 B3 (Niacin): 결핍 시 펠라그라(Pellagra: 피부염, 설사, 치매).

  • 비타민 B6 (Pyridoxine): 결핍 시 피부염, 빈혈, 신경병증. Isoniazid 복용 시 결핍 위험.

  • 비타민 B9 (Folate): DNA 합성에 관여. 결핍 시 거대적혈모구빈혈, 신경관 결손

  • 비타민 B12 (Cobalamin): DNA 합성, 신경 수초 유지. 결핍 시 거대적혈모구빈혈, 악성빈혈, 신경학적 증상.

  • 비타민 C (Ascorbic acid): 콜라겐 합성, 항산화, 철분 흡수 촉진. 결핍 시 괴혈병(Scurvy)


[1] 홍창의 12e, pg 76-82

미량원소


[1] 홍창의 12e, pg 76-82

연습문제 18문제

0/18 완료

0개의 글


글 작성

** 제목만 보더라도 어떤 내용인지 알 수 있도록 완성된 문장으로 작성해주세요.
예시) 초음파 (X) → 초음파 사진에서 PDA 소견을 어떻게 알 수 있나요? (O)