학습하기

커뮤니티

구입하기

소화기(위장관) (new) > 염증성 장 질환 (IBD) 및 기타 결장염

크론병 (Crohn's disease)

기본 개념

크론병 (Crohn's disease)

  • 정의: 구강부터 항문까지의 전 위장관을 침범하며 장관전층을 침범하는 (transmural involvement) 염증성 장질환

  • 호발연령: double peak → 10-30대 & 60-70대

  • 임상양상

    • 만성설사, 우하복부 복통, 배변시 통증 완화

    • 전신증상: 미열, 피로감, 식욕부진

    • 침범부위별 증상

      • 회장-대장염 (Ileocolitis): 가장 흔함 (40-55%). 우하복부 통증, 설사, 체중 감소. 급성 충수염과 유사하게 발현 가능

      • 소장염 (Jejunoileitis): 흡수장애 (지방변, 영양결핍, 비타민 B12 결핍), 광범위한 염증 시 심각한 영양실조 초래

      • 대장염 (Colitis): 설사, 혈변 (UC보다 덜 흔함), 복통

      • 항문 주위 질환: 약 1/3에서 발생. 치열(fissure), 누공(fistula), 농양(abscess) 등. 대장 침범 시 더 흔함

      • 상부위장관 침범: 식도, 위, 십이지장. 오심, 구토, 상복부 통증

    • 장외 증상 (Extraintestinal Manifestations)

      • 피부: 결절성 홍반(Erythema nodosum), 괴저성 농피증(Pyoderma gangrenosum)

      • 관절: 말초 관절염 (활동성과 연관), 강직성 척추염 (활동성과 무관)

      • : 포도막염, 공막염

      • 간/담도: 원발성 경화성 담관염 (PSC, UC에서 더 흔함), 담석 (담즙산 흡수장애로)

      • 기타: 신장 결석 (수산염), 혈전색전증

  • 특징

    • 항문 침범 → anal fistula, anal abscess 호발

      ** 항문주위 농양 혹은 치루가 발생한 환자에서는 반드시 크론병에 대한 평가를 시행

    • 직장은 보존 (rectal sparing)

    • Skip lesion → 연속적이지 않은 병변

    • 위장관 전층을 침범하는 궤양 (transmural ulceration) → cobblestone appearance

    • 아프타성 궤양, 종주성 궤양 (longitudinal ulcer)이 mesenteric border 발생

    • noncaseating granuloma


  • 진단: 임상양상 + 영상/내시경/조직학적 소견을 종합하여 진단 (감염성 장염 배제 필수)


  • 검사실검사

    • 혈액검사: CRP, ESR증가, Hb 감소, 백혈구증가, 알부민 감소

    • 대변 lactoferrin: 장 염증 진단에 매우 민감하고 특이적인 검사

      대변 calprotectin: 조직학적 염증반응을 반영, 재발 예측 평가에 용이

      → fecal lactoferrin 과 calprotectin은 IBD와 다른 질환 (IBS 등)의 감별에 유용

    • ASCA (+) 60-70%

    • 말단 회장의 흡수장애 → 빈혈, 저알부민혈증, 저칼슘혈증, 저마그네슘혈증 등


  • 중증도: 주요 증상(복통,혈변,합병증 등)을 종합하여 평가 → CDAI 또는 HBI 를 사용

    Harvey-Bradshaw Index (HBI) : 하루 중 증상 평가

    5-7점: mild activity

    8-16점: moderate activity

    17점~: severe activity


    ** CDAI 평가에는 포함되어있지만 HBI에는 포함되지 않은 항목: Hct, 발열
    ** 국가고시, 임종평 수준에서는 UC severity 평가에 따라 중등도를 평가해도 무방


  • 내시경검사

    • 대장내시경: 일차 검사로 권고, 말단회장부를 포함한 전체 대장 관찰, 이상 병변 생검

    • 에스결장내시경: 일차 검사로 권고되지 않음. 중증의 증상으로 천공의 위험이 있거나 적절한 장 정결에 불가능한 경우 시행

    • 캡슐내시경/MR enterography: 새롭게 크론병이 진단된 경우 반드시 소장에 대한 평가 시행

    • 식도위내시경: UGI 병변이 의심될 경우 시행


  • 내시경 소견

    • 종주성 궤양 (Longitudinal ulcer): 4-5cm 이상 길이의 궤양이 장의 주행과 평행한 방향으로 관찰

    • 조약돌 점막 모양 (cobblestone appearance): 궤양들이 사방으로 연결되어 심한 궤양들 사이에 남은 점막들이 과형성 및 부종 변화로 돌출되어 조약돌을 깔아놓은 양상으로 관찰. 매우 특징적인 소견

    • 아프타성 궤양: 크론병 초기에 나타나는 특징으로, 베체트장염/장결핵 등 다른 질환과의 감별 필요

    **소장 캡슐내시경 소견: ulceration, luminal narrowing


  • 병변의 양상

    • 염증형 (non structuring, non penetrating)

    • 협착형 (fibrostenotic obstructing pattern)

      • 질병 초기: Bowel wall edema, spasm으로 인해 간헐적인 폐색증상 및 식후 통증 발생
        → 금식, 위감압 및 내과적 치료로 증상 호전

      • 질병 후기 (수년): 지속되는 염증으로 인해 위장관의 섬유화 및 협착이 진행
        → 보존적 치료로 증상이 호전되지 않으며 수술의 적응증에 해당

    • 누공형 (penetrating fistulous pattern)

      • 중증 염증으로 인해 장벽이 얇아지고 미세천공 또는 주변 장기로의 누공 (fistula) 발생


[1] Harrsion 22e, pg.2551-2571

[2] 크론병 치료 가이드라인 개정판

[3] Korean clinical practice guidelines on biologics for moderate to severe Crohn’s disease

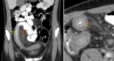
크론병의 영상 소견

  • 대장조영술

    • String sign (segmental luminal narrowing): 소장 또는 대장의 내강이 좁아진 분절이 확인되는 소견. 급성 및 만성 단계에서 모두 보일 수 있음

  • CT

    • 주로 말단 회장부를 침범하는 segmental 병변

    • 장벽 두께 증가 및 점막하 부종으로 인한 target sign (yellow arrow)

    • Comb sign: 장 주위의 fibrofatty proliferation으로 인해 mesenteric vessel이 확장되고 넓게 퍼진 소견 (orange arrow)

크론병의 치료

해리슨 22판의 주요 변경 사항

» 새로운 생물학적 제제 및 소분자 약물 추가:

  • JAK 억제제(JAK inhibitors): Upadacitinib이 크론병과 궤양성 대장염 모두에서 중요한 치료 옵션으로 명시

  • Anti-IL-23 제제: Risankizumab이 크론병 치료제로 새롭게 언급

» 치료 전략의 변화

  • "Treat-to-Target" 개념 강조: 단순히 증상을 조절하는 것을 넘어, 대변 칼프로텍틴 정상화내시경적 점막 치유를 치료 목표로 설정

  • 생물학적 제제의 조기 사용 (Early intervention): 중등증-중증 환자에서 예후가 나쁠 것으로 예상될 경우, 스테로이드나 면역조절제보다 생물학적 제제를 조기에 사용하는 'Top-down' 접근법의 유용성이 부각

» 진단 및 모니터링

  • 대변 칼프로텍틴(Fecal Calprotectin)의 임상적 유용성 강조: 질병 활성도를 비침습적으로 평가하고, 치료 반응을 모니터링하며, 재발을 예측하는 데 있어 칼프로텍틴의 역할이 더욱 중요하게 기술

  • 약물치료



    1) 관해 유도 치료

    • 경도~중등도

      • 회장 및 우측 대장 병변: budesonide (TOC)

      • 경구 steroid

      • 생물학적 제제/면역조절제: 조기 사용 고려

      **ASA 제제 (sulfasalazine)은 효과가 제한적, 해리슨 22판에서 초치료 제외됨

    • 중등도~중증 치료

      • 경구/IV steroid

      • 반응 없을 경우 → 생물학적 제제 ± 면역조절제

      • 고위험군*의 경우 초치료로 생물학적 제제를 사용할 수 있음

        *30세 미만, 광범위한 병변, 항문주위, 대장의 깊은 궤양, stricturing/penetrating behavior

        Anti-TNF 제제: Infliximab, Adalimumab, Certolizumab. 1차 선택 약제

        Anti-integrin 제제: Vedolizumab (장 선택적)

        Anti-IL-12/23 제제: Ustekinumab

    • Fistulizing crohn’s disease : 배농 및 항생제 (ciprofloxacin, metronidazole) → 질병조절 (Anti-TNF 가 가장 효과적)


    2) 유지 치료

    • 생물학적 제제 단독 또는 면역조절제와 병용

    • 면역조절제

      • Thiopurines (6-MP, AZA) : 스테로이드 의존성 IBD의 관해 유지

        ** TMPT, NUDT15 genotyping 필요

      • MTX: 활동기 크론병의 관해 유도, 유지 효과


    3) 식이요법

    • 장관영양을 통한 고칼로리 식단 (low fat, low carb, high protein)

    • 장관영양이 불가능할 경우 bowel rest, TPN(완전 비경구 영양)



[크론병 수술 적응증]

  • 소장

    • 난치성 협착과 폐쇄, 약물치료 실패

    • 조절되지 않는 대량 출혈, 불응성 누공, 배농 후 재발한 농양

  • 결장, 직장

    • 내과치료에 불응인 항문주위 질환

    • 불응성 누공, 대장폐색

    • 대장 이형성증 또는 대장암

  • 수술 방법

    • Segmental bowel resection: 절제범위는 가능한 최소로 절제 (재발 많으므로)

    • 회장낭 기능부전 확률 높으므로 IPAA는 금기


[1] Harrsion 22e, pg.2551-2571

크론병의 합병증

  • Acute Ileitis (급성 회장염) : 말단 회장의 부종이 발생하고, 붉은 빛을 띠며 (beefy red), mesentery thickening, 주위 림프절 비대가 발생 → 수술은 시행하지 않음
    **급성 충수염으로 오인하여 수술을 시작하고 정상 충수돌기를 확인한 경우, 충수돌기와 맹장 주위의 급성 염증이 없다면 추후 오인 소지를 방지하기 위해 negative appendectomy를 시행

  • 장 협착 (stricturing disease)

  • Penetrating disease (장 누공 및 농양)

    • 3 cm 미만의 농양이면서 [생물학적제제 시작하지 않음 or 관련 누공 발생] → 항생제 치료

    • 위 조건을 만족하지 않는 농양 → 피부경유/수술적 배액

    • free perforation: 수술

    • 누공: 방광, 질, 피부와 연결된 경우 수술적 교정 필요

연습문제 10문제

0/10 완료

3개의 글


by

삼파장

·

2026년 5월 3일

왜 차이가 나죠. 궁금합니다


by

:)

·

2025년 11월 30일

크론병에서는 고칼로리 식단이 아니라 EEN or TPN이 권장되지 않나요?


by

뽀잉이뽀식

·

2024년 7월 8일

Any Section Can be Affected. ASCA

👍 4

😮 1


글 작성

** 제목만 보더라도 어떤 내용인지 알 수 있도록 완성된 문장으로 작성해주세요.
예시) 초음파 (X) → 초음파 사진에서 PDA 소견을 어떻게 알 수 있나요? (O)