학습하기

커뮤니티

구입하기

부인과 (new) > 불임

여성인자에 의한 불임

기본 개념

여성 불임 평가 개요

  • 병력청취 및 신체진찰

  • 스크리닝 검사

    • Hb, 혈액형, 자궁 경부암, 풍진항체/매독감염검사(RPR)/클라미디아,임질 NAAT, HBV, (HIV 검사)


[1] Anti-Mullerian Hormone as a Marker of Ovarian Reserve and Function, introduction

난소 예비력 평가

난소 예비력
: 난소에 남아있는 난자의 개수, 질, 이로 인한 생식력을 의미하며, 배란유도제에 의한 반응이 이에 따라 다를 수 있다. FSH, AMH, antral follicle count 등으로 평가할 수 있다.

  • 항뮬러호르몬 (AMH): 월경 주기 언제든 측정 가능, 과배란 반응에 대한 좋은 예측표지자

    • < 1 ng/mL : 난소 예비력 불량, IVF 자극에 대한 반응도 낮을 것으로 예상

    • 정상 : > 3.5~4 ng/dL

  • 동난포개수 (Antral follicle count,AFC) : 난포기 초기 질초음파를 시행하여 측정

    • AFC 개수 < 4 : 난소 예비력 불량, IVF 자극에 대한 반응도 낮을 것으로 예상

  • 월경주기 2-4일 : Basal FSH, Estradiol 농도

    • 비정상 FSH : >10mIU/mL

    • 비정상 estradiol: >60-80 pg/mL


[1] 부인과학 6판. pg. 518-520

[2] Berek & Novak’s Gynecology, pg.2246-2248

배란 여부 평가

  • 소변 LH 검사 (월경주기 14일)

    • 배란 예정일 2-3일 전부터 매일 측정, 아침 첫소변으로 측정하여 배란 확인.

  • 황체기 중기 progesterone 측정 (월경주기 21일)

    • 3ng/mL 이상 측정 시 배란이 되었다고 평가

  • 자궁내막 조직검사

    • 더이상 불임 및 반복유산에 대한 검사로 추천되지 않음


→ 무배란 / 불규칙한 배란을 보이는 환자에서는 FSH, prolactin, TSH 검사가 필요 (무월경 접근 참고)


[1] 부인과학 6판. pg. 520-526

[2] Berek & Novak’s Gynecology, pg.2250-2252

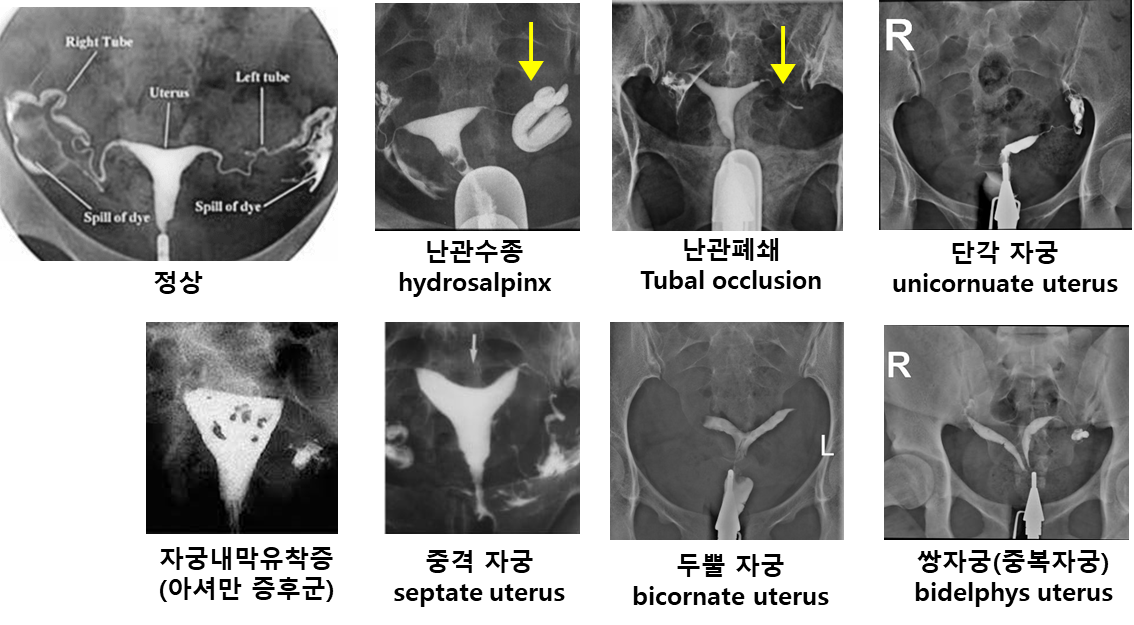
난관 평가

  • 자궁 난관 조영술 (월경 주기 9-12일)

    : 월경이 끝난 직후에 시행, 난관 폐쇄나 비정상 자궁 구조 등을 확인할 수 있음
    (PID가 진단되거나, 이미 난관수종이 있다고 알려진 환자에서는 시행하지 않음)

    • 정상 소견

      • 조영제가 양쪽 나팔관의 말단에서 복강 내로 spill 되며, 정상 자궁 내강이 확인

    • 비정상 소견

      • 난관 폐쇄 : 나팔관 말단에서 조영제의 spill 이 보이지 않고, 난관이 비정상적으로 확장되어 난관 수종을 보이는 경우도 있음

      • 비정상 자궁강 : 자궁내막 유착증, 자궁 내막 근종/폴립, 자궁 기형 등을 확인

  • 클라미디아 항체 검사 (클라미디아 항체의 존재는 과거 감염을 나타낸다. 과거 감염이 있었을 경우, 이로 인해 난관이 손상되었을 수 있다)

    • 양성 시 난관 이상을 시사.

    • HSG가 정상인 원인 불명의 불임 환자에서 결과가 양성이라면 다른 난관 요인을 의심하고 필요시 복강경 검사 시행을 고려

  • 복강경 검사

    • 난관요인 및 복강요인을 평가하는 가장 확실한 방법

    • HSG에서 발견 안된 자궁내막증, 골반/부속기 유착, 원위 난관 폐쇄 등을 확인할 수 있고, 진단과 동시에 치료도 가능함.


[1] 부인과학 6판. pg. 526-528

[2] Berek & Novak’s Gynecology, pg. 2263-2266

자궁 평가

  • 자궁 초음파

  • 자궁난관조영 초음파 (Saline-infusion sonography)

    • 생리식염수를 자궁내에 주입하여 초음파를 확인하는 검사로, 자궁 내강의 병변을 관찰하는 데 유용. 난관의 개통여부는 알기 어려움

    • 선천성 자궁 기형 / 자궁 근종 / 자궁 내 유착 / 자궁 내막 용종 등 평가

  • 자궁 난관 조영술

  • 자궁경

    • 자궁내강의 이상(중격자궁, 점막하 근종, 자궁내 유착, 용종)을 진단, 치료할 수 있음


[1] 부인과학 6판. pg. 528-533

[2] Berek & Novak’s Gynecology, pg. 2266-2270

배란장애에 의한 불임 치료

  • FSH ↓ Estradiol ↓ : 시상하부/뇌하수체 기능부전

    • 원인 감별 및 교정 (스트레스, 체중감소, 과한 운동, low BMI / 뇌질환 등)
      Gonadotropin (hMG,rFSH,hCG)을 사용하여 배란 유도.

  • FSH ↑ Estradiol ↓ : 난소 부전

    FSH>10~15는 심각한 난소 기능 저하를 시사. 난자 공여 및 체외수정 / 입양을 고려.

  • PCOS : FSH, Estradiol 정상, LH:FSH = 2~3:1, 진단기준을 만족하는 경우

    배란유도 (1st line) : Clomiphene citrate, letrozole → 효과 없는 경우 FSH/hMG 투여
    (인슐린 대사 개선 : metformin, inositol 고려)

  • 고프로락틴 무배란 : 고프로락틴혈증에 대한 평가와 치료 시행


[1] 부인과학 6판. pg. 537-550

[2] Berek & Novak’s Gynecology, pg.2253-2261

난관 요인 불임의 치료

  • Proximal Tubal occlusion

    • IVF

    • short segmental occlusion의 경우 tubal cannulation을 시도해볼 수 있음

      • tubal muscle spasm, stromal edema, viscous secretion 등 : 가장 효과가 좋음

      • luminal fibrosis, fibroids, tuberculosis, extensive scarring : cannulation 효과 없음 → IVF

      • 재발하거나 지속적인 폐쇄 → IVF


  • Distal Tubal Occlusion

    • 35세 이상, 난소 예비능 감소, proximal occlusion이 동반된 경우, 골반 유착이 심한 경우, 난관 손상이 심해서 재건이 어려운 경우, 다른 불임 요소가 있는 경우 → IVF

    • Hydrosalpinx의 크기가 3cm을 초과한다면 IVF 전에 salpingectomy를 시행하는 것이 임신에 도움이 됨.
      (Hydrosalpinx가 있는 상태에서 IVF를 진행하는 경우 성공률이 낮음. 양쪽 나팔관에 hydrosalpinx가 있다면 bilateral salpingectomy 를 시행한 후 IVF를 진행)

    • 35세 미만, 경증의 난관 질환, 난관 점막 정상, 골반 유착 없거나 경미한 경우 수술적 교정 고려


[1] Berek & Novak’s Gynecology, pg. 2263-2266

[2] Williams Gynecology, 4e. pg. 460

자궁요인 불임의 치료

  • 중격 자궁(Septate uterus): 자궁경하 중격 제거술

  • 점막하 근종(submucosal myoma): 크기가 작은 경우 (<3cm) 자궁경하 근종절제술

  • 근층내근종/장막하근종 (Intramural/subserosal myoma): 크기가 커서 자궁강을 왜곡하는 경우 불임 치료 전 복강경 절제술이 권고됨

  • 자궁내막폴립: 자궁경하 폴립절제술

  • 자궁내 유착 / 아셔만증후군 : 자궁경하 유착박리술 (Hysteroscopic adhesiolysis)


[1] Berek & Novak’s Gynecology, pg. 2266-2270

연습문제 14문제

0/14 완료

0개의 글


글 작성

** 제목만 보더라도 어떤 내용인지 알 수 있도록 완성된 문장으로 작성해주세요.
예시) 초음파 (X) → 초음파 사진에서 PDA 소견을 어떻게 알 수 있나요? (O)