학습하기

커뮤니티

구입하기

소화기(간담췌) (new) > 윌슨병

윌슨병

기본 개념

윌슨병

  • 정의: 선천성 구리 대사 장애를 일으키는 상염색체 열성 유전 질환

  • 원인: ATB7B 유전자변이

  • 병태생리

    • ATP7B 단백질은 간세포에서 담즙으로 구리를 배설하고, 뇌의 구리 축적을 방지하는 핵심적인 역할을 수행함.

    • 유전자 변이로 기능이 소실되면 구리가 배설되지 못하고 간, 뇌, 각막, 신장 등에 축적되어 세포 독성을 유발

  • 임상양상

    • 발현 연령: 간증상은 30세 미만, 신경/정신 증상은 10-40대에 주로 발생

    • 간 : 황달, 간비대, 부종, 복수

    • 신경계 : 운동장애, 구음 장애, 근경직, wing-beating tremor, 무도병, 보행이상 등

    • 정신계 : 우울, 불안, 성격변화 등

      → 청소년 및 젊은 성인에서 새로 발생한 전신 증상은 반드시 윌슨병 감별

    • 안과 소견 : Kayser-Fleischer ring (pathognomic sign), sunflower cataract

    • 신장 : Fanconi syndrome

    • 용혈성 빈혈, 골다공증, 구루병, 골절

  • 진단

    • 생화학적 검사

      • 혈청 세룰로플라스민 감소 (20mg/dL): 진단에 가장 중요

      • 혈청 총 구리 감소 (단, 급성 간부전 시에는 간에서 구리가 방출되어 증가할 수 있음)

      • 24시간 소변 구리 배설량 증가 (> 100 µg/24h)

      • 페니실라민 부하 검사: 약물 투여 후 소변 구리 배설이 현저히 증가함

    • 조직 검사

      • 간 생검을 통한 구리 정량: 진단의 Gold Standard

      • 간 조직 내 구리 농도 > 200 µg/g dry weight (정상: 20-50 µg/g)

    • 분자유전학적 검사

      • ATP7B 유전자 돌연변이 확인

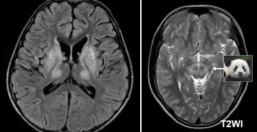
  • 영상 소견

    • T2/FLAIR: GP, thalamus, midbrain 의 High SI


  • 치료 : 평생 치료가 원칙이며, 목표는 체내 구리 축적을 막고 과도한 구리를 제거하는 것

    • 구리 킬레이트 요법 (Chelating Agents)

      • D-penicillamine: 소변을 통한 구리 배설을 촉진

        • 부작용: 신독성, 골수 억제, 피부 발진, 신경 증상 초기 악화 가능

        • 피리독신 (비타민 B6) 결핍을 유발하므로 함께 복용해야 함

      • Trientine: D-penicillamine의 부작용으로 사용이 어려울 때 선택하는 1차 약제

      • Tetrathiomolybdate: 알부민-구리 복합체를 형성하여 구리 독성을 빠르게 중화시킴
        → FDA 승인을 받지 못함

    • 구리 흡수 억제제

      • 아연 (Zinc salts): 주로 무증상 환자의 초기 치료나 킬레이트 치료 후 유지 요법으로 사용

      • 임산부에게 비교적 안전하게 사용 가능

    • 간 이식

      • 급성 간부전으로 발현하거나, 내과적 치료에 반응하지 않는 비대상성 간경변 환자에서 시행


[1] Harrsion 22e, pg. 3338-3340

연습문제 8문제

0/8 완료

1개의 글


by

hyperhypo

·

2025년 12월 11일

트리엔틴 설명에 페니실라민 부작용 있을 때 선택하는 일차약제라고 써 있는데

페니실라민이 우선인건가요? 다른 교재에는 트리엔틴이 일차 약제로 되어 있어서요


글 작성

** 제목만 보더라도 어떤 내용인지 알 수 있도록 완성된 문장으로 작성해주세요.
예시) 초음파 (X) → 초음파 사진에서 PDA 소견을 어떻게 알 수 있나요? (O)