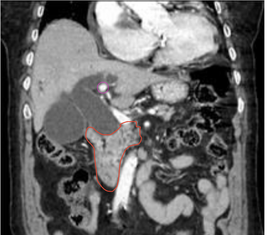
제가 분홍색으로 표시한게 담석이고 빨간색으로 표시한게 이자머리암 맞나요?
by
중꺽마
·
2023년 7월 14일
1개의 의견
Daniel T
·
2023년 7월 17일
빨간색은 periampullary cancer로 관찰됩니다.
보라색은 위치상 담낭, 담관 밖에 있어 담석이 아닐것으로 의심되며 혈관이 잘려보이는것으로 의심됩니다:)
by
중꺽마
·
2023년 7월 14일
Daniel T
·
2023년 7월 17일
빨간색은 periampullary cancer로 관찰됩니다.
보라색은 위치상 담낭, 담관 밖에 있어 담석이 아닐것으로 의심되며 혈관이 잘려보이는것으로 의심됩니다:)