학습하기

커뮤니티

구입하기

산과 (new) > 임신 중 동반질환

임신 중 바이러스 감염질환 - TORCH에 속하는 바이러스들

기본 개념

TORCH

  • 정의: 태아가 산모를 통해 전염될 경우 심각한 선천적 결함이나 중증 태아 상태를 초래할 수 있는 감염을 지칭하는 약어.

    • Toxoplasmosis

    • Others (syphilis, zika virus, varicella-zoster virus)

    • Rubella

    • Cytomegalovirus (CMV)

    • Herpes simplex virus (HSV)

풍진 (Rubella)

  • 선천성 풍진 증후군(Congenital Rubella Syndrome): 임신 중, 특히 임신 초기에 풍진에 감염되면 태아에게 심각한 합병증을 일으킬 수 있기 때문에 임신 중 풍진 감염은 심각한 문제로 간주된다.

    • 정의: 태아가 임산부의 풍진 바이러스에 전염됨으로써 발생하는 여러 선천적 결함

      • 선천적 결함: 백내장, 소안구증, 맥락망막염, 난청, 소두증, 심장기형, 폐혈관협착 등

    • 위험 시기: 임신 20주 이내 감염시 발생할 위험이 높다고 알려져 있다. 임신 20주 이후의 감염에선 선천성 감염으로 이어지는 경우가 드물다.

  • 스크리닝: 풍진 감염에 대한 혈청학적 스크리닝은 첫 산전진찰시/이후 풍진에 노출된 직후 시행할 것을 권고한다.

    • IgM (-), IgG (+) : 면역력 있음

    • IgM(-), IgG (-) : 면역력 없음 → 3,4주 후 항체 검사 재검

      • 재검 결과 항체 양성(IgM + 또는 IgG +)이면 seroconversion된 것이므로 급성 감염을 시사
        ** seroconversion: 감염 또는 백신에 응답해서 항체가 출현하는 것.

      • 재검 결과 항체 음성이면 6주 후 항체 검사 재검

    • IgM (+), IgG(-) / IgM (+), IgG (+) : 급성 감염 또는 IgM 위양성

      • 5-10일 후 항체 검사 재검 및 IgG 결합능 검사 (avidity test)

        • 재검시 IgG titer 증가 / IgG 결합능 낮음 → 급성 감염을 시사

        • 재검시 IgG titer 증가하지 않음, IgG 결합능 높음 → IgM 위양성 (과거 감염/백신접종)


[1] CDC Manual for the surveillance of vaccine-preventable disease : chapter 22, (figure 2)

거대세포바이러스(CMV)

[선천성 CMV 감염]

  • 정의: 아기가 자궁에서 CMV 감염에 걸린 경우

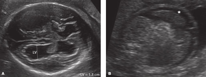
  • 태아 임상 양상: 뇌실 주위 석회화, 뇌실 확장, 복수, 고에코 위장관, 흉수, 소두증, 태아 성장 제한, 간비장비대 등이 나타날 수 있다.

    • A : 뇌실확장(LV = lateral ventricle), 뇌실 주위 석회화 / B : 복부 단면, 복수(*)와 고에코 위장관 소견

  • 신생아 합병증: 감각신경성 난청(선천성 CMV 감염은 비유전성 청력소실의 주원인), 소두증, 간질/ 마비 등의 신경학적 결손, 정신운동 지연, 맥락망막염, 황달, 용혈성 빈혈, 혈소판 감소성 자반, 간비장비대


[산전 진단]

① 스크리닝
: 모든 산모에게 routine하게 혈청학적 스크리닝을 시행하는 것은 권고하지 않고, 산모가 감염이 의심되는 증상을 보이거나, 초음파 소견에서 선천성 감염을 의심할만한 소견이 있는 경우 시행한다.

  • 혈청학적 검사(serologic testing)

    • Avidity(결합력): 초기 감염과 과거 감염을 구분하기 위해 IgG 항체와 바이러스 간의 결합 강도를 측정한다.

      • CMV는 감염 직후 낮은 결합력을 가지며, 이후 높은 결합력으로 상승한다.

      • 낮은 IgG 결합력: 최근 3개월 내의 감염을 의미

      • 높은 IgG 결합력: 최근 3개월 내의 감염을 배제

      ** IgM (+), high avidity인 경우: 검사를 임신 3개월 이상 지난 뒤 했다면 임신 중 첫 감염을 배제할 수는 없으므로, 위에 제시한 도식과 같이 해석하게 된다.

    • 선천 감염의 위험: 임산부의 임신 중 첫 감염(primary infection)일 경우 선천 감염의 위험이 높아진다. 잠복감염(latent infection)이나 재활성(recurrent) 감염의 경우 비교적 선천 감염의 위험이 낮다.


② 확진 검사
: 초음파 소견이나, 혈청학적 검사 결과 상 선천성 감염을 시사한다면 진단적 양수천자가 권고된다.

  • 양수천자를 시행하고, CMV PCR 또는 배양을 시행하여 확진할 수 있다.

  • 임신 21주 이후 시행하는 것이 sensitivity가 가장 높다.


[치료]

  • 면역력이 정상인 CMV 감염 임산부(latent/primary/recurrent 무관): 대증치료 (valacyclovir 투여에 관한 연구들이 진행중)

  • 선천성 CMV 감염이 확인된 신생아 (소변 또는 침 CMV PCR 양성)

    • 유증상 신생아(Symptomatic infection): ganciclovir, valganciclovir

      • 감각신경성 난청만 있다면 치료 or 추적관찰 (감각신경성 난청만 있는 경우에는 치료에 대한 연구가 부족)

    • 무증상 신생아(Asymptomatic infection): 추적관찰


[1] Williams Obstetrics, 26e. pg. 1182-1185

[2] Treatment of congenital cytomegalovirus infection, Clinical and Experimental Pediatrics 2023,DOI: https://doi.org/10.3345/cep.2022.01032

[3] UpToDate - Congenital cytomegalovirus (cCMV) infection: Clinical features and diagnosis, Clinical Manifestations

수두-대상포진 바이러스(VZV)

0. VZV 감염의 영향

  • 모체 감염: VZV 폐렴이 발생할 수 있다.

  • 태아 감염: 선천성 수두 증후군(Congenital varicella syndrome, CVS)

    • 정의: 태아가 임산부의 VZV 바이러스에 전염됨으로써 발생하는 여러 선천적 결함

    • 원인

      • 임신 중 20주 이전에 수두 감염이 발생하는 경우 (20주 이후에는 CVS 발생이 드물다)

      • 임신 중 대상포진은 수두와 달리 선천성기형의 위험은 거의 없다.

    • 신생아 합병증: 맥락망막염, 수신증, 사지기형, 대뇌피질위축, 성장지연, 반흔성 피부병변 등

  • 신생아 감염: 분만 전후시기에 산모가 감염된 경우, 신생아의 수두 감염 위험이 높아진다.(모체

    로부터 전달되는수동면역이 완성되지 못하기 때문.)

    • 신생아가 수두에 감염되면 심한 피부병변, 폐렴, 간부전, 뇌염 및 응고장애 등의 전신파종성 감염이 나타날수 있고, 약 30%의 사망률을 보인다


1. 노출 후 예방

  • 임산부: 면역이 없는 임산부가 수두/대상포진 환자에게 노출된 경우 적절한 노출 후 예방이 필요하다.

    • 과거 수두에 걸린적 없거나, 수두 백신 접종력이 없는 인반수 → 혈청학적 검사 시행

    • 혈청학적 검사 소견

      • IgG (+) : 면역성이 있으므로 추가 조치 필요하지 않음

      • IgG (-) : 면역이 없는 상태로, 노출 후 72~96시간 이내로 VZIG (수두면역글로불린) 투여

  • 신생아에게 VZIG 투여가 필요한 경우

    • 분만 전 5일부터 분만 후 2일 이내 수두에 걸린 산모로부터 출생한 신생아


2. 치료

  • 임신 중 수두 감염: 경구 아시클로버, 대증치료 (폐렴/중증 합병증 발생시 IV제제투여)

    ** 수두 감염이 확인되면 가슴 엑스선 사진을 촬영하여 폐렴 여부 확인이 필요, 태아 이상을 더 자주, 면밀히 평가.

  • 임신 중 대상포진: 아시클로버 PO / 중증합병증(herpetic neuralgia,zoster ophthalmicus 등) 발생시 IV 제제 투여

[1] Williams Obstetrics, 26e. pg. 1185-1186

[2] Management of herpes zoster (shingles) during pregnancy, Journal of Obstetrics and Gynaecology Volume 38, 2018 - Issue 7

단순포진바이러스 (Herpes simplex virus)

  • 임상양상: 입술이나 생식기 주변 점막에 물집과 얕은 궤양 형태로 나타남

  • 임신 중 치료 : acyclovir / valacyclovir

  • 분만 방법 결정

    • 생식기에 활동성 병변이 있는 경우: 제왕절개 적응증

    • 생식기에 활동성 병변이 없는 경우: 질식 분만
      (생식기가 아닌 부위에 병변이 있다면 폐쇄 드레싱을 시행한 후 질식분만을 시행)


[1] Williams Obstetrics, 26e. pg. 1214

연습문제 15문제

0/15 완료

2개의 글


by

Colin

·

2024년 5월 28일

임신 시 HSV 감염시 처치

24년도 국가고시에 출제된 바 있는 만큼, 임신 중 / 분만 시기에 HSV에 감염되었을 경우, 분만 방법과 처치 방법 관련 개념 추가가 필요할 것 같습니다.


by

Colin

·

2024년 5월 25일

풍진 검사 결과 해석 관련 문제가 21년도 국가고시에 출제된 바 있는데, 당시에는 IgM(+), IgG(+)인 환자에서 3주 후 추적검사로 avidity 검사까지 진행해 recent infection / past infection을 감별해 내는 문제로 출제되었습니다.

따라서 IgM(+)이라고 무조건 인공유산을 고려하는 것은 아니고,

IgG+, IgM+ 일 ...


글 작성

** 제목만 보더라도 어떤 내용인지 알 수 있도록 완성된 문장으로 작성해주세요.
예시) 초음파 (X) → 초음파 사진에서 PDA 소견을 어떻게 알 수 있나요? (O)