학습하기

커뮤니티

구입하기

산과 (new) > 산욕기 관리 2: 산욕기 감염

패혈성 골반 혈전정맥염 (septic pelvic thrombophlebitis)

기본 개념

패혈성 골반 혈전정맥염

  • 정의

    • 정맥염(phlebitis): 정맥의 염증

    • 혈전정맥염(thrombophlebitis): 혈전증을 동반하는 정맥염

    • 패혈성 혈전정맥염(septic thrombophlebitis): 감염 상황에서 생긴 혈전정맥염

    • 패혈성 골반 혈전정맥염 (septic pelvic thrombophlebitis): 감염 상황에서 생긴 골반의 혈전정맥염

  • 기전: 산후 골반 감염 상태에서는 아래와 같이 virchow’s triad를 충족시켜 혈전증으로 이어질 위험성이 증가하게 된다.

    1. endothelial damage: 감염에 의한 정맥의 염증

    2. venous stasis: 임신에 의해 유발된 ovarian vein dilatation

    3. hypercoagulability: 임신 중에는 hypercoagulable하다.

  • 역학: 과거에는 산후 감염으로 흔하게 발생하였으나 수술 전 예방적 항생제의 사용으로 빈도가 크게 줄었다.

  • 경과

    • 가장 흔하게 ovarian vein에 발생하며, 진행하면 IVC나 renal vein까지도 혈전이 발생할 수 있다.

    • septic embolization (패혈성 색전증)으로 진행할 수도 있다.

  • 증상: 항생제 투여 후에도 5일 이상 발열이 지속됨 & 아랫배 복통

  • 검사실 소견: 백혈구 증가, CRP 상승, 소변검사 정상

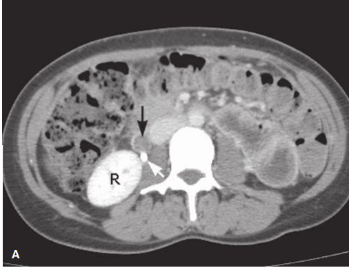
  • 진단 : CT 상 thrombus 확인

    • 검정색 화살표: low density의 thrombus로 채워진 확장된 ovarian vein

    • 흰색 화살표: 확장된 ureter내의 조영제

  • 치료

    • 광범위 정맥 항생제

    • 항응고치료 (헤파린)


[1] Williams Obstetrics, 26e. pg. 657-658

[2] Uptodate : Septic pelvic thrombophlebitis

[3] Septic Pelvic Thrombophlebitis: Diagnosis and Management, pathophysiology

연습문제 4문제

0/4 완료

0개의 글


글 작성

** 제목만 보더라도 어떤 내용인지 알 수 있도록 완성된 문장으로 작성해주세요.
예시) 초음파 (X) → 초음파 사진에서 PDA 소견을 어떻게 알 수 있나요? (O)