학습하기

커뮤니티

구입하기

소화기(간담췌) (new) > 이자 질환

췌장암 (pancreatic ductal adenocarcinoma)

기본 개념

이자암

  • 위험인자 : 흡연, 만성 췌장염, 당뇨, 비만, 유전적 요인 (BRCA2, MLH1, MSH2) 등

  • 임상양상

    • 초기: 무증상이거나 비특이적

    • 주요증상

      • 복통: 심와부의 지속적이고 둔한 통증, 등으로 방사되는 양상 (“boring pain”)

      • 통증없는 황달: 췌두부암의 전형적 증상

      • 지방변, 체중감소, 새로 발생한 당뇨 (특히 50세 이후 체중감소와 동반시 의심)

    • 특이적 증상

      • Courvoisier’s sign: 무통성으로 촉지되는 확장된 담낭

      • trousseau’s syndrome : 이동성 표재성 혈전정맥염

      • 특이 전이 장소: virchow’s node, sister Mary Joseph’s node

  • 진단적 검사

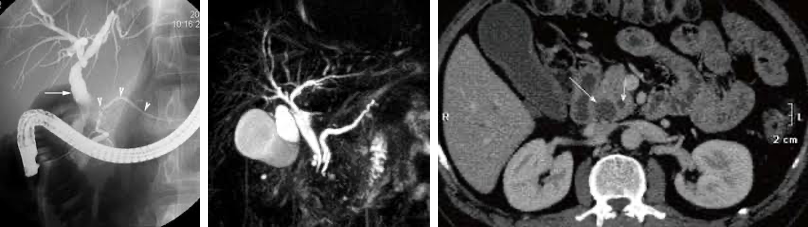
    • 복부 CT (m/i): 종양의 위치, 범위, 혈관 침범 여부를 확인하여 resectability 를 판단

    • 생검 (EUS-guided biopsy), CA 19-9 (진단, 치료반응평가, 재발감시)

    • CT/MRI/MRCP 에서 double duct sign 확인


  • 절제가능여부판단

    • 절제 가능 (Resectable): 주요 동맥과 접촉이 없고, 문맥/상장간막정맥 침범이 180도 미만

      1) CA, HA, SMA: no tumor contact
      2) superior SMV, PV: contact < 180

    • 경계성 절제 가능 (Borderline resectable): 주요혈관과 애매하게 접촉 (아래 기준 참고)

      1) BR-PV
      - SMV/PV: tumor contact ≥180
      ° or bilateral narrowing/occlusion, not exceeding the inferior border of the duodenum
      - SMA, CA, CHA: no tumor contact/invasion

      2) BR-A
      - SMA, CA: tumor contact of <180
      ° without showing deformity/stenosis
      - CHA: tumor contact without showing tumor contact of the PHA and/or CA
      (The involvement of the aorta is categorized as unresectable.)

    • 절제 불가능 (Unresectable)

      • locally advanced: 주요 동맥을 180도 이상 감싸거나, 재건 불가능한 정맥 폐쇄 동반

        - SMV/PV: bilateral narrowing/occlusion, exceeding the inferior border of the duodenum

        - SMA, CA: tumor contact/invasion of 180°

        - CHA: tumor contact/invasion showing tumor contact/invasion of the PHA and/or CA

        - Ao: tumor contact or invasion

      • Metastatic: 원격 전이


    1) celiac artery encasement 2) SMA encasement 3) SMV encasement


  • 치료

    • Resectable : 수술 → 수술 후 보조항암요법 (FOLFIRINOX or gemcitabine 기반 복합요법)

      • pancreatic head/neck/uncinate process : Whipple’s operation, PPPD

      • pancreatic body/tail : distal subtotal pancreatectomy + splenectomy

      • neoadjuvant chemo 후 수술을 고려해볼 수 있음

    • Borderline resectable: 선행보조치료 후 수술 또는 항암치료

    • Locally advanced: 전신 항암화학 요법 ± 방사선 요법

      • 종양 축소 후 절제 가능해지면 수술 시도

    • Unresectable: 항암치료 및 고식적 치료 (담관 스텐트 삽입, Bypass수술, 진통제 등)


**2023년도 KMLE 1교시 56번 문항 : 절제불가능한 췌장암의 치료를 묻는 문제가 출제된 적이 있다. CT소견 상 pancreatic body의 mass가 보이며, sma 를 둘러싸고 있어(encasement) 절제불가능에 해당하고, 상부위장관내시경 소견에서는 담즙이 섞인 액체 저류가 보이는 duodenum 2nd portion이 주어져 십이지장 3rd portion 이하 부위 폐색이 간접적으로 주어졌다. 절제불가능한 췌장암에 해당하므로 위장관폐색을 완화하기 위한 고식적 우회 수술을 답으로 골라야했던 문제이다.


[1] Harrison 22e, pg. 671-676

[2] Sabiston 21e, pg.1551-1563

[3] 2021 한국 췌장암 진료 가이드라인

췌장 수술법 관련

A. 고전적 휘플수술 (standard pancreaticoduodenectomy, Whipple’s)

  • 합병증으로 덤핑증후군 발생

B. 유문부보존 췌두부십이지장 절제술 (pylorus preserving pancreaticoduodenectomy, PPPD)

  • 위의 유문부를 보존해서 기능적인 장점 존재

  • 위하부(전정부, Antrum), 유문부(pylorus), 십이지장 시작되는 구부부분을 보존

연습문제 11문제

0/11 완료

2개의 글


by

삼파장

·

3일 전

궁금합니다


by

가즈아아

·

2024년 11월 12일

Md 23외과 췌장암 사진에 보면 전 침범이 안된걸로 보이거든요.

제가 안목이 없어서 그럴지도 모르지만 개념서 이자암 ct 사진에서 smv,sma랑 크게 차이 없어 보이는데

침범이라 고식적 치료가 답입니다. 판별하는 기준은 없을까요?


글 작성

** 제목만 보더라도 어떤 내용인지 알 수 있도록 완성된 문장으로 작성해주세요.
예시) 초음파 (X) → 초음파 사진에서 PDA 소견을 어떻게 알 수 있나요? (O)