학습하기

커뮤니티

구입하기

순환기 > 폐고혈압

폐고혈압의 진단

기본 개념

폐고혈압의 진단

  • 증상 및 징후

    • 호흡곤란, 피로, 심계항진, 어지러움 등

    • 객혈, 실신, 운동 후 복부팽만/구역감

    • 진행된 질환에서는 커진 폐동맥으로 인해 흉통 (관상동맥 압박), 쉰목소리 (RLN압박), wheezing/기침 (기관압박) 등의 증상 발생 가능

    • 우심실부전 증상 (경정맥 확장, 말초 부종, 간비대, 복수)

    • Right sided S3 gallop

    • 진행된 질환에서는 삼첨판역류 (TR), 폐동맥역류 (PR), P2 항진 동반

    • EKG: RAE (p-pulmonale), RVH, RAD, RBBB, RV strain / AFL, AF

  • 진단

    • 선별검사: 심초음파 (+ bubble study with agitated saline)

      • hypertrophied, Dilated RV 소견 (D-Shaped LV)

      • estimated Pulmonary artery systolic pressure (PASP) >35mmHg (TR vmax >2.8m/s)

      • intracardiac shunt, 판막질환, 심장 기능 평가

      ** bubble study with agitated saline이란?

      saline과 air소량을 물리적으로 mix해서 무수히 많은 작은 기포가 포함된 saline 용액을 정맥내로 주입하여 심초음파를 시행 → 심장 내의 right to left shunt를 확인하는데 용이한 검사

    • 확진검사: Right heart catheterization (우심도자술) → mPAP > 20mmHg 시 진단

      ** 정상 수치 8-20mmHg

      ** RHC를 시행하면서 iNO/iloprost 흡입에 대한 혈관 반응성 검사를 시행 (결과에 따른 처치는 다음 단원 참고)

  • 분류 알고리즘

즉, 우심도자술을 통해

1) 평균 폐동맥압(mPAP)을 측정하여 폐고혈압을 확진할 수 있고,

2) 폐동맥압의 증가 수준에 따라 중증도를 판별하며,

3) 폐동맥쐐기압을 측정하여 좌심실부전에 의한 폐고혈압(group II)을 배제할 수 있다.

추가 검사

아래의 다양한 검사를 시행하여 type III, IV, associated PAH를 진단할 수 있으며, 어느 검사에서도 원인질환을 찾을 수 없다면 Idiopathic PAH를 배제적으로 진단하게 된다.

  • Chest CT

    • 폐질환에 의한 폐고혈압 감별 (COPD, ILD)

    • main pulmonary artery 직경 > 25-30mm인 경우 폐고혈압을 시사하는 소견

      (정상에서는 폐동맥의 직경은 상행대동맥 뿌리보다 작아야함)

  • PFT

    • COPD, ILD 등 obstructive/restrictive lung ds 에 의한 폐고혈압 감별

    • 폐질환이 없이 발생한 폐고혈압의 경우 폐확산능(DLCo)가 단독으로 감소한 소견

  • V/Q scanning

    • 만성 혈전색전증을 감별하는데는 CTA보다 민감도가 높아 선별검사법으로 우선 권고됨

  • Serology (ANA, RF, anti-centromere/dsDNA,Ro,U1-RNP 등): 자가면역질환 감별

  • 수면다원검사: obstructive sleep apnea 감별

  • HIV 감염검사

  • BNP, NT-proBNP

    • 중증도 평가, 심부전 평가

  • 6-minute walking test (6분 보행거리)

    • 중증도 평가 (165m미만의 경우 고위험도)


[1] 2022 ESC/ERS Guidelines for the diagnosis and treatment of pulmonary hypertension

추가 개념

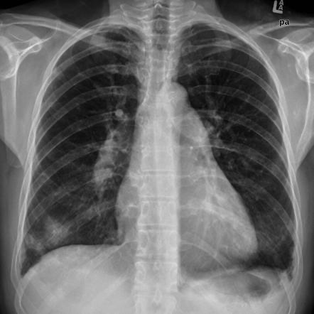
폐고혈압의 Chest Xray 소견

  • Prominent pulmonary artery + central pulmonary vasculature (점선)

  • Elevated LV apex (due to RVH), water bottle shape

  • RA enlargement (화살표)

  • peripheral vascular marking 감소 (vascular pruning)

+ Left heart disease에 의한 폐울혈이 있을 경우 LAE/LVH, pulmonary edema, pleural effusion 동반

+ Lung disease가 있을 경우 diaphragm flattening, hyper lucency, reticular opacity 동반


[1] 2022 ESC/ERS Guidelines for the diagnosis and treatment of pulmonary hypertension

0개의 글


글 작성

** 제목만 보더라도 어떤 내용인지 알 수 있도록 완성된 문장으로 작성해주세요.
예시) 초음파 (X) → 초음파 사진에서 PDA 소견을 어떻게 알 수 있나요? (O)