학습하기

커뮤니티

구입하기

외과 (new) > 유방 양성 질환

유방 감염 (Breast infection)

기본 개념

유방 감염 (Breast infection)

유방 감염에는 크게 수유관련 유방감염(lactational infection)과 만성 유륜하 유방염(chronic subareolar infection)이 있다.

  • 수유관련 유방 감염 (lactational infection)

  • 만성 유륜하 유방염 (Chronic subareolar infection)

    • 정의: 비수유기 여성에서 유륜 아래에 있는 유관이 확장(duct ectasia)되면서 감염이 발생

    • 위험 요인: 흡연, 당뇨와 연관

    • 원인: 피부 상재균에 의한 감염이 흔함

    • 증상: 유륜하 통증, 경도의 발적, 만성적 재발

      • 염증이 반복되면서 흉터를 발생시키고 nipple retraction, periareolar skin과 subareolar duct 사이의 chronic fistula를 형성하기도 함

    • 치료: warm soak(온습 찜질), 경구 항생제, 농양 발생시 바늘 흡인 필요, 금연

      • 누공(Fistula) 형성 시: 누공 절제술(Fistulectomy) 또는 유관 절제술


[1] Sabiston, 22e. pg. 835-836

[2] Williams obstetrics, 26e. pg. 659-660

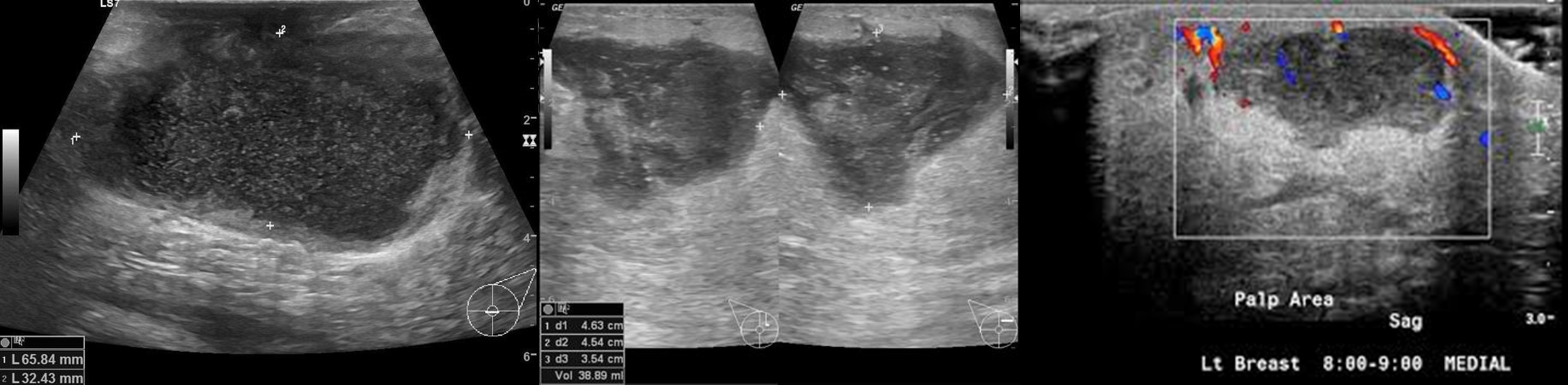
유방 농양 (Breast abscess)

유방 감염이 진행되어 고름 주머니를 형성한 상태로, 배농과 항생제 치료가 필요하다.

  • 초음파 소견

    • hypoechoic mass, internal septation/debris

    • wall thickening, skin thickening

    • increased doppler flow in the walls & surrounding tissue (내부는 vascularity 없음)

  • 치료

    • 항생제, frequent breast emptying

    • 바늘 흡인 (Needle aspiration) - 1차 치료

      • 피부 괴사가 없는 경우 우선 시도 (TOC)

      • 초음파 유도 하(Ultrasound-guided) 시행

      • 완전한 해소를 위해 2~3일 간격으로 반복 시행 가능

    • 절개 배농 (Incision and drainage)

      • 적응증:

        • 바늘 흡인 실패 시

        • 피부 괴사 또는 압박 허혈(pressure ischemia)이 있는 경우

        • 농양이 매우 크거나 다방성(multiloculated)인 경우

      • 배액관 유치 필요


[1] Sabiston, 22e. pg. 835-836

[2] Williams obstetrics, 26e. pg. 659-660

[2] 외과학 3판, pg.862-863

연습문제 9문제

9/9 완료

0개의 글


글 작성

** 제목만 보더라도 어떤 내용인지 알 수 있도록 완성된 문장으로 작성해주세요.
예시) 초음파 (X) → 초음파 사진에서 PDA 소견을 어떻게 알 수 있나요? (O)